Авторы
Литературный редактор:
Елизавета Отмахова
Научный редактор:
Сергей Федосов
Шеф-редактор:
Маргарита Тихонова
Вступление
3 ноября 2022 в Санкт-Петербурге года бригада скорой помощи доставила 30-летнего мужчину в больницу № 2.
Жалобы
Пациент жаловался на острую боль за грудиной, которая внезапно возникла на фоне стресса. Болезненные ощущения отдавали в левую лопатку и руку. Они сопровождались одышкой, выраженной слабостью и холодным потом.
Мужчина самостоятельно принял обезболивающие препараты, но боль лишь нарастала.
Анамнез
Ранее таких симптомов никогда не было. Когда пациент понял, что ему не становится легче, вызвал скорую помощь. В больницу его доставили через 2,5 часа после начала приступа.
Мужчина работает водителем-экспедитором. У него ненормированный график, работа часто сопряжена со стрессом. Периодически выпивает алкогольные напитки, долгое время курит. Часто отмечает низкое артериальное давление (АД). Ранее никакие обследования не проходил.
Отец пациента умер от инфаркта миокарда в 40 лет.
Обследование
На приёме из-за боли мужчина сидел в полусогнутом положении. Кожа была бледной, покрыта холодным липким потом. Руками и ногами двигал свободно. Ориентировался во времени и пространстве. Шёл на контакт.
АД — 90/60 мм рт. ст., пульс — 90 ударов в минуту. Выслушивание работы клапанов сердца патологии не выявило.
ЭКГ показала нарушение кровоснабжения боковой мышцы сердца (подъём сегмента ST в I, II и AVL ЭКГ-отведениях).
УЗИ сердца обнаружило, что участок боковой сердечной мышцы не сокращался.
По результатам анализов, уровень тропонина выше нормы (50 нг/мл) — признак гибели клеток сердца.
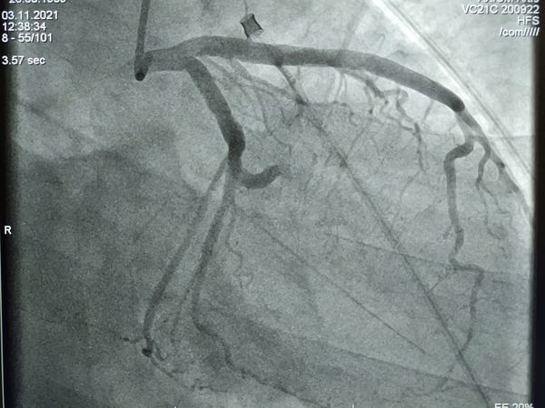
Через 10 минут после поступления в больницу пациенту сделали коронарографию: под местным обезболиванием прокололи артерию, через неё и сосуды сердца провели специальные трубки и с помощью контраста и рентгеновского излучения проверили проходимость артерий сердца. Исследование показало тромбоз (закрытие) огибающей артерии, т. е. кровь по ней не поступала к сердцу.
Диагноз
Острый инфаркт миокарда с подъёмом сегмента ST по боковой стенке (сегмент на кардиограмме, отражающий закрытие артерии сердца и нарушение кровоснабжения мышцы сердца).
Лечение
Пациенту выполнили реканализацию тромба, т. е. прошли через тромб с помощью металлической проволоки, и стентировали поражённый участок артерии (установили туда специальный металлический каркас-трубку). Кровоток по артерии был восстановлен.
На диагностику и проведение операции ушло 40 минут.
Уже на операционном столе боли за грудиной стали уменьшаться, давление поднялось до 120/80 мм рт. ст., нормализовалось дыхание и показатели ЭКГ.
Мужчина провёл в больнице 7 дней. Всё это время врачи контролировали его самочувствие.
На фоне лечения улучшилась работа сердца, снизился уровень тропонина — маркера повреждения мышцы сердца.
Заключение
Этот клинический случай показывает необходимость, как важно следить за своим здоровьем, чтобы не допустить развития серьёзных проблем с сердцем. Для этого следует выполнять некоторые рекомендации:
- соблюдать режим труда, отдыха и питания;
- не злоупотреблять вредными привычками, особенно людям с отягощённым анамнезом;
- периодически проходить диспансерное обследование;
- сразу обращаться за медицинской помощью при возникновении болей за грудиной;
- не заниматься самолечением;
- соблюдать все рекомендации врача.
Эти простые правила позволят избежать или снизить риски возникновения острого инфаркта миокарда, который при тяжёлых случаях может привести к инвалидизации и даже смерти.







