Авторы
Литературный редактор:
Юлия Липовская
Научный редактор:
Сергей Федосов
Вступление
В краевую больницу по направлению из поликлиники обратилась женщина 68 лет с жалобами на постоянную тяжесть в проекции грудной клетки и отрыжку кислым воздухом. Ей рекомендовали пройти полную диагностику, проверить расположение желудка и подтвердить наличие гастроэзофагеального рефлюкса, чтобы выбрать правильную тактику лечения.
Жалобы
Со слов пациентки, боль и дискомфорт в области желудка стали беспокоить всё чаще. При каждом приёме пищи, независимо от продуктов, которые она ела, мучила изжога. После еды всегда хотелось прилечь на правый бок, и только при глубоком дыхании становилось немного легче.
Симптомы обычно усиливались в конце дня в положении лёжа. Приходилось подкладывать подушку под голову, чтобы верхняя часть тела была выше ног. При наклонах вперёд содержимое желудка забрасывалось высоко в пищевод, иногда даже попадало в рот.
Анамнез
Впервые дискомфорт и тяжесть появились около 5 лет назад, но их удавалось контролировать дробным питанием и диетой. Со временем состояние ухудшилось, вплоть до болей на голодный желудок и на фоне соблюдения всех рекомендаций гастроэнтеролога по препаратам и питанию. В итоге пациентка обратилась к хирургу по месту жительства, после чего её направили в краевую больницу.
В молодости у женщины изредка возникала изжога при погрешности в диете, но препараты решали эту проблему.
За последние несколько лет на фоне дискомфорта и расстройства пищевого поведения пациентка резко похудела почти на 10 кг, что усилило проявления болезни.
Обследование
При осмотре никаких отклонений не обнаружилось. При пальпации (прощупывании) в области желудка живот спокойный. Выпячиваний передней брюшной стенки нет. Грудная клетка симметрична, кожа обычной окраски. Сознание ясное, телосложение астеничное (худощавое).
Основываясь на анамнезе (истории жизни и болезни), пациентке предложили сделать гастроскопию, но провести процедуру не удалось по медицинским показаниям: из-за повышенной тревожности, эмоциональной нестабильности и выраженного рвотного рефлекса.
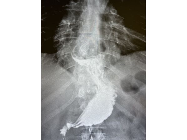
Вместо гастроскопии сделали рентгеноскопическое исследование пищевода, желудка и двенадцатиперстной кишки. По результатам удалось установить, что часть желудка расположена в грудной полости и зафиксирована в заднем средостении (между сердцем и позвоночником). Такое состояние соответствует фиксированной аксиальной кардио-фундальной грыже пищеводного отверстия диафрагмы.
По результатам рентгенографии, пациентке рекомендовали обратиться к хирургу, чтобы обсудить оперативное лечение.
Женщине также провели:
- pH-метрию — установлена гиперацидность желудка (т. е. повышенная кислотность), количество рефлюксов доходило до 28 за сутки;
- лабораторную диагностику — общий анализ крови и мочи, а также биохимические показатели были в пределах нормы.
Диагноз
K44.9 Диафрагмальная грыжа без непроходимости или гангрены.
Лечение
Хирург заключил, что пациентке однозначно требуется оперативное лечение.
В ходе лапароскопии женщине устранили грыжу пищеводного отверстия диафрагмы и наложили антирефлюксную манжету по Ниссену. Операция длилась 1,5 часа.
Сразу после вмешательства пациентка отметила, что изжога и дискомфорт, которые мучили её длительное время, исчезли. Женщину выписали в удовлетворительном состоянии.
Через месяц провели рентгенконтроль: грыжи не было, желудок расположен правильно (в брюшной полости). Гастроэзофагеального рефлюкса в положении Тренделенбурга (лёжа на спине, ступни немного выше головы) и стоя не выявлено.
Заключение
Этот клинический случай показывает, как важно своевременно диагностировать грыжу пищеводного отверстия диафрагмы. Рентгеноскопия при этом позволяет не просто выявить грыжу, но и определить её расположение и размер, что важно учитывать перед оперативным лечением.





