Авторы
Литературный редактор:
Елизавета Отмахова
Научный редактор:
Сергей Федосов
Шеф-редактор:
Маргарита Тихонова
Вступление
20 ноября 2024 года в клинический центр обратился 30-летний мужчина, у которого стал разрушаться правый нижний моляр (зуб 4.6).
Жалобы
Пациент рассказал, что при накусывании зуб начинал болеть, поэтому ему было тяжело жевать твёрдую пищу правой стороной.
Боль усиливалась во время жевания. В спокойном состоянии болевые ощущения сохранялись, но они оставались тупыми и слабовыраженными.
Анамнез
8 лет назад мужчина уже лечил этот зуб. Тогда ему установили пломбу и рекомендовали поставить коронку. Однако пациент данной рекомендацией пренебрёг.
За эти годы моляр значительно разрушился. Наконец, во время одного из приёмов пищи дистальный (задний) корень зуба сломался.
Со слов мужчины, сопутствующих заболеваний и аллергии у него нет.
Обследование
При осмотре индекс разрушения окклюзионной поверхности зуба (ИРОПЗ) правого нижнего моляра составил 1,0, т. е. жевательная поверхность зуба была полностью разрушена.
Также внимание на себя обращал верхний левый зуб мудрости (зуб 2.8): он был смещён в щёчную сторону и поражён кариесом.
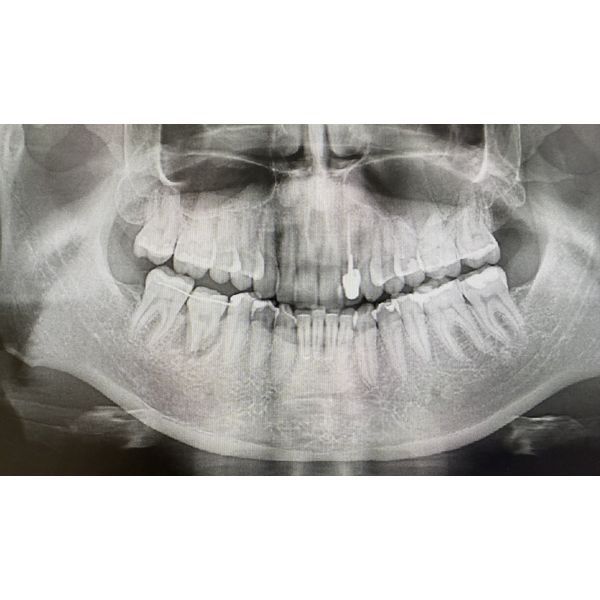
По результатам компьютерной томографии (КТ):
- зуб 4.6: присутствует достаточно выраженная межкорневая костная перегородка толщиной около 5,5 мм, что может служить препятствием для трансплантации зуба, изменений в анатомии костных структур не было;
- зуб 2.8: 4 апекса (вершины корней), каналы зуба широкие, без выраженной кривизны.
Диагноз
Лечение
Было решено провести аутотрансплантацию: на место правого нижнего моляра пересадить зуб 2.8. В ходе процедуры:
- зуб 4.6 разделили на мезиальную и дистальную части с помощью алмазного цилиндрического бора и фрезы Линдемана, чтобы облегчить удаление и сохранить корни;
- сегменты извлекли элеватором и щипцами, после чего можно было увидеть широкую межкорневую перегородку костной ткани невооружённым глазом;
- в пустую лунку вставили модель зуба 2.8 из эпоксидной смолы, распечатанной на 3D-принтере (примерка показала, что зуб не до конца входит в лунку);
- углубили лунку с помощью твердосплавного шаровидного бора для механического наконечника, после чего модель встала на место;
- специальными щипцами удалили зуб 2.8 и установили его на место зуба 4.6, после чего зафиксировали его ортодонтической проволокой-рейтейнером и жидкотекучим композитом;
- провели контрольную рентгенографию.
Операция длилась около 30 минут.
Через 2 недели после лечения пациенту удалили пульпу из корневых каналов пересаженного зуба мудрости, очистили каналы, обработали их и запломбировали гуттаперчей.
Через 1,5 месяца, когда процесс восстановления периодонтальной связки завершился, мужчине изготовили временную коронку из PMMA (специального прочного пластика).
КЛКТ показала, что после аутотрансплантации зуб прижился хорошо, костный рисунок восстановился, процесс резорбции (рассасывания) корня не развился.
Заключение
Этот клинический случай показывает преимущества аутотрансплантации зуба: за короткий срок она позволяет восстановить жевательный ряд без установки импланта. Кроме того, у пациента заживление произошло так быстро, что уже через 2 недели эндодонтист мог провести дальнейшее лечение с помощью коффердама — специальной изоляции зуба, которая минимизирует который минимизирует риск загрязнения и повышает качество пломбирования каналов.











