Авторы
Литературный редактор:
Диана Медведева
Научный редактор:
Сергей Федосов
Шеф-редактор:
Маргарита Тихонова
Вступление
В стоматологический центр «Prime Smile» обратилась 48-летняя пациентка без зуба в верхней челюсти сбоку.
Жалобы
Женщина рассказала, что ранее уже консультировалась в клинике своего города. Однако там ей отказали в имплантации.
Из-за долгого отсутствия зуба у пациентки сильно уменьшилась (атрофировалась) костная ткань. Поэтому установить зубной имплант и зафиксировать его в челюсти было невозможно.
Анамнез
Зуба нет больше 5 лет. Женщина откладывала лечение из-за личных обстоятельств.
Для проведения костной пластики (остеопластики) и установки зубного импланта противопоказаний не обнаружено.
Обследование
На осмотре у пациентки выявили отсутствие зуба в жевательном отделе верхней челюсти справа и уменьшенный объём десны в этой области.
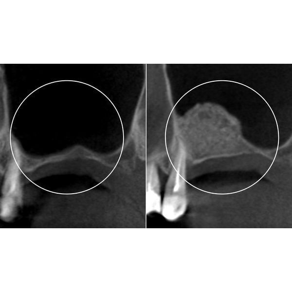
Женщине провели 3D-диагностику, чтобы оценить состояние твёрдых тканей в месте будущей имплантации.
Диагноз
Частичная адентия в жевательном отделе верхней челюсти.
Лечение
До установки импланта нужно было провести остеопластику, а именно синус-лифтинг. Из-за долгого отсутствия зуба и атрофии кости выбран открытый тип процедуры, который позволяет быстро и надёжно восполнить костную ткань.
Во время синус-лифтинга пациентке под анестезией разрезали десну, просверлили отверстие в боковой стенке гайморовой пазухи и ввели в это «окошко» специальный материал для восстановления объёма костной ткани. Открытый синус-лифтинг предполагает отсроченную установку имплантов, поэтому после операции женщине наложили швы и отпустили её домой.
После открытого синус-лифтинга обычно кость восстанавливается в среднем за 3–6 месяцев. В данном случае костный материал успешно прижился за полгода. Весь этот период пациентка наблюдалась у врача для контроля состояния.
Благодаря выбранному лечению у женщины хорошо прижилась недостающая костная ткань, необходимая для дальнейшей имплантации. Это позволило успешно установить зубной имплант уже через шесть месяцев после синус-лифтинга, а циркониевую коронку — ещё через полгода.
Пациентка регулярно посещает плановые осмотры для контроля ситуации. После проведённой терапии никаких осложнений не наблюдается.
Заключение
Этот случай показывает, как важно своевременно проводить имплантацию утерянных зубов. Если вовремя не установить импланты, растёт риск уменьшения костной ткани, особенно на верхней челюсти, где кость тонкая и пористая. Это ведёт к тому, что провести имплантацию без наращивания костного материала будет невозможно.
Благодаря тщательной диагностике врач может правильно подобрать метод лечения с учётом индивидуальных особенностей, что влияет на успешность операции. В большинстве случаев открытый синус-лифтинг применяют, когда кость уже сильно атрофирована, из-за чего значительно увеличивается общий срок реабилитации.



