Авторы
Литературный редактор:
Юлия Липовская
Научный редактор:
Сергей Федосов
Шеф-редактор:
Маргарита Тихонова
Вступление
В сентябре 2022 года женщина 30 лет пришла в частную клинику Перми, чтобы сделать ультразвуковое исследование (УЗИ) органов малого таза.
Жалобы
Пациентка жаловалась на отсутствие беременности в течение 4 лет.
Партнёр у женщины один, но половая жизнь нерегулярная.
Анамнез
У пациентки первый брак, замужем уже 6 лет (на момент обращения), без контрацепции — 4 года.
Впервые обратилась по поводу бесплодия в 2019 году, обследовалась в женской консультации.
По результатам анализов:
- АМГ 3,5 нг/мл (норма);
- ФСГ 7,67 мМЕ/мл (норма);
- ТТГ 1,7 мкМЕ/мл (норма);
- пролактин 6,72 мкМЕ/мл (норма);
- ЛГ 4,98 мМЕ/мл (норма).
По результатам УЗИ органов малого таза:
- в августе 2019 года обнаружена киста жёлтого тела справа;
- в октябре 2021 года и в марте 2022-го патологии не выявлено.
Оценка проходимости маточных труб не проводилась.
Мужу 34 года, спермограмма без отклонений, MAR-тест отрицателен (норма), кариотип нормальный. Детей нет.
Врач женской консультации направил пациентку на консультацию к репродуктологу с диагнозом «первичное бесплодие неясного генеза».
Менструации у женщины регулярные, необильные, безболезненные. Менструальный цикл длится 27–28 дней, продолжительность кровотечения — 5 дней. Беременностей не было.
Питание регулярное, достаточное по калорийности и разнообразию. Вредных привычек нет.
Из гинекологических заболеваний был бактериальный вагиноз и функциональные кисты яичников. Венерические заболевания отрицает.
Хронических заболеваний нет. Травм и операций не было. Наследственность не отягощена.
Обследование
Осмотр на приёме врача УЗИ не проводится.
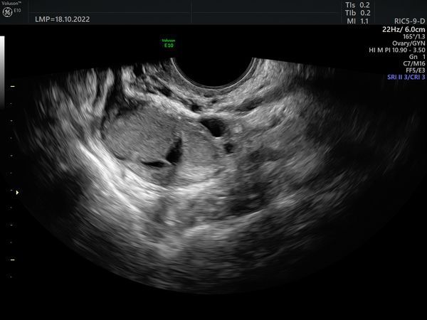
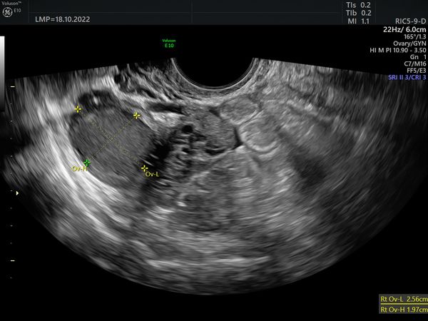
Пациентке сделали УЗИ органов малого таза на аппарате экспертного класса Voluson E 10. Согласно обследованию:
- Матка. Нормальных размеров, правильной формы (видно при 3D-реконструкции). Структура миометрия не изменена.
- Эндометрий. Толщина (9 мм) и структура соответствуют дню менструального цикла. Патологии эндометрия не выявлено.
- Правый яичник. Объём 16,9 см3. Увеличен за счёт двух округлых образований с гладкими контурами. Размер первого 26 × 20 × 25 мм, объём 7 см3. Второго — 14 × 12 × 13 мм и 1,1 см3 соответственно. Содержимое образований по типу «матового стекла», акустическая тень не определяется. При цветовом доплеровском картировании (ЦДК) васкуляризация 1 балл, это значит, что образования аваскулярные (в них нет кровеносных сосудов). Количество фолликулов 8 (норма).
- Левый яичник. Объём 6,58 см3, не увеличен. Количество фолликулов 6 (норма), размер доминантного фолликула 14 мм.
Объёмных образований в малом тазу не определяется.
Диагноз
Эхографические признаки однокамерных образований правого яичника (эндометриомы). O-RADS II (доброкачественный процесс, риск злокачественного новообразования меньше 1 %).
Лечение
С помощью УЗИ отслеживали рост доминантного фолликула. В предположительный день овуляции пациентке посоветовали половую жизнь и дали рекомендации:
- если в следующем цикле будет задержка менструации на 7–10 дней — прийти на УЗИ, чтобы подтвердить беременность;
- если беременность не наступит — обратиться к гинекологу для дальнейшего обследования.
Очередная менструация у пациентки не пришла, она забеременела.
На сроке 12–13 недель женщина по месту жительства прошла комбинированный скрининг 1-го триместра. По УЗИ плод соответствовал менструальному сроку беременности. Пороков развития и ультразвуковых маркеров хромосомных аномалий не было выявлено. Индивидуальный комбинированный риск хромосомных аномалий и акушерских осложнений был низким.
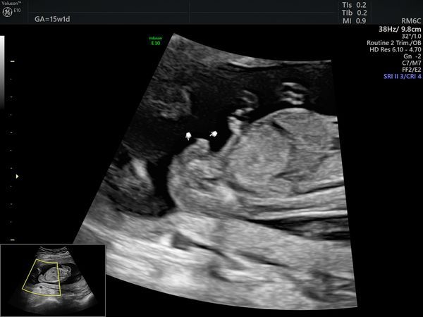
После скрининга пациентка пришла на УЗИ в 15 недель и 1 день. По УЗИ определялся один плод мужского пола, размеры плода пропорциональные, соответствовали менструальному сроку. Вес — 121 г (52 процентиль — норма). Пороков развития на момент исследования не было выявлено.
Плацента была расположена высоко от области внутреннего зева, структура не изменена. Количество околоплодных вод в норме. Длина шейки матки 35 мм (норма).
Заключение
Этот клинический случай показывает, что мониторинг созревания фолликула и определение точной даты овуляции может помочь женщине быстрее забеременеть без какого-либо лечения и вспомогательных репродуктивных технологий.






