Авторы
Литературный редактор:
Елизавета Отмахова
Научный редактор:
Сергей Федосов
Шеф-редактор:
Маргарита Тихонова
Вступление
1 марта 2023 года в клинику обратилась 62-летняя женщина.
Жалобы
Пациентка рассказала, что в положении стоя у неё появлялась боль в пояснице. Болевые ощущения усиливались уже через 50 метров ходьбы. Также её беспокоила слабость в ногах.
Ей становилось легче, когда она лежала или на что-то опиралась. Боль в ногах уменьшалась при наклоне вперёд.
Анамнез
Впервые дискомфорт появился 3 года назад. Всё это время дистанция, которую женщина могла пройти без остановок, постепенно сокращалась. В последние полгода также усилилась боль в пояснице и ногах.
Пациентка начала консервативное лечение 3 месяца назад, однако оно не дало результатов.
Женщина росла и развивалась соответственно возрасту.
Обследование
При осмотре отмечалось снижение поверхностной чувствительности и угнетение сухожильных рефлексов в ногах Ситуация усугублялась после прохождения 50 метров.
Прощупывание мышц, расположенных вдоль позвоночника, вызывало боль. Также женщина жаловалась на усиление болевого синдрома при разгибании поясницы.
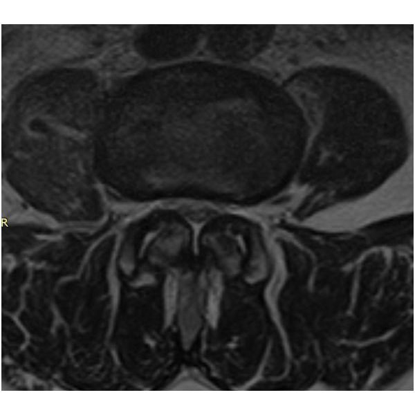
По результатам функционального рентгенологического исследования поясничного отдела позвоночника, у пациентки отмечалась нестабильность на уровне сегмента L3–L4: при наклоне туловища позвонок L3 смещался вперёд на 3 мм, угол раскрытия составил 10°.
МРТ поясничного отдела позвоночника подтвердило диагноз.
Диагноз
Остеохондроз поясничного отдела позвоночника, дегенеративный спондилолистез (смещение) L3, спондилоартроз 3–4-й (тяжёлой) степени, функциональная несостоятельность позвоночника, нестабильность сегмента и дегенеративный стеноз позвоночного канала на уровне L3–L4 (по классификации Schizas — степень С), нейрогенная перемежающаяся хромота, люмбалгия.
Лечение
Учитывая неэффективность консервативного лечения в течение 3 месяцев, отрицательную динамику в неврологическом статусе, а также наличие патоморфологического субстрата на уровне L3–L4, пациентке провели малоинвазивное хирургическое вмешательство XLIF (прямой боковой спондилодез) с непрямой декомпрессией корешков спинномозговых нервов на уровне L3–L4: ей удалили старый диск и на его место установили большой широкий имплант, который позволил расширить межпозвонковое отверстие и устранить сдавление корешка.
Продолжительность хирургического вмешательства составила 45 минут, кровопотеря — 25 мл.
Уже на следующий день после операции женщина могла передвигаться. Ей рекомендовали носить поясничный полужёсткий корсет в течение 3 месяцев, после чего прийти на контрольный осмотр и сделать МСКТ.
Спустя 3 месяца на контрольном осмотре пациентка пожаловалась на умеренную боль в пояснице, которая не требовала приёма анальгетиков, боли в ногах не было. За это время дистанция, которую она могла пройти без остановки, увеличилась до 500 м.
На контрольных снимках определялся цельный костный мост между позвонками L3–L4, т. е. цель операции была достигнута. Женщине разрешили больше не носить поясничный корсет, а также назначили ЛФК, физиолечение и массаж.
Заключение
Этот клинический случай показывает возможности XLIF как декомпрессивно-стабилизирующей операции, которая не требует дополнительных хирургических вмешательств в виде прямой декомпрессии и транспедикулярной фиксации сегмента. Т. е. во время манипуляции не понадобилось разрезать мышцы, ставить винты и стержни, вычищать всё вокруг нервов, достаточно было просто поставить имплант через небольшой разрез сбоку.





