Определение болезни. Причины заболевания
Синдром Ретта (Rett syndrome) — это генетическое заболевание, которое проявляется снижением интеллекта, стереотипными движениями рук (например, омывающими), замедленным ростом головы, эпилепсией, нарушением поведения и походки. Пациенты с синдромом Ретта не могут себя обслуживать, им требуется постоянный уход. При должной симптоматическом лечении некоторые люди с этим заболеванием живут достаточно долго.
![Ребёнок с синдромом Ретта [23] Ребёнок с синдромом Ретта [23]](/media/bolezny/sindrom-retta/rebyonok-s-sindromom-retta-23_s.jpeg)
Ребёнок с синдромом Ретта [23]
Синдром назван в честь педиатра и невролога Андреаса Ретта, наблюдавшего за умственно отсталыми девочками с необычными движениями по типу «мытья рук» [1].
Распространённость синдрома Ретта
Заболевание встречается у одного из 10–20 тыс. новорождённых, однако этот показатель выше в семьях с близкородственными браками [2][22]. Синдром Ретта вызывает большинство случаев умственной отсталости среди девочек [3]. Болезнь может скрываться за расстройством аутистического спектра (РАС), эпилепсией и задержкой психоречевого развития, что затрудняет своевременную и верную постановку диагноза.
Благодаря развитию генетических исследований и возможностей диагностики синдром Ретта стало легче отличить от других заболеваний со схожими проявлениями. Это повысило уровень осведомлённости о болезни и послужило причиной создания таких организаций, как Международная ассоциация синдрома Ретта, Международный фонд синдрома Ретта (IRSF), Фонд исследования синдрома Ретта, Единый информационный ресурс по заболеваниям, связанным с мутациями MECP2 на Х-хромосоме, Ассоциация содействия больным синдромом Ретта, благотворительный фонд "Ретткие жизни" и др. [4][5]
Причины синдрома Ретта
Болезнь более чем в 90 % случаев связана со спонтанной поломкой в гене МЕСР2, которая приводит к нарушению синтеза белка, влияющего на развитие головного мозга [3][22]. Этот ген находится в Х-хромосоме. В женском геноме две такие хромосомы, поэтому здоровая хромосома частично смягчает мутацию во второй. Мужской геном состоит из X- и Y-хромосомы, поэтому поломка гена в полной мере влияет на развитие плода, из-за чего мальчики чаще погибают ещё в утробе [2].
Изучить вероятность передачи синдрома Ретта по наследству сложно, так как при классическом течении заболевания люди не вступают в браки из-за тяжёлого состояния. Однако учёными выявлены случаи, когда часть материнских клеток содержит поломанную ДНК. Поэтому, если в семье есть ребёнок с таким диагнозом, при планировании новой беременности желательно провести генетическое обследование, чтобы предупредить рождение второго малыша с этим синдромом [8].
Специфические факторы, влияющие на возникновение синдрома Ретта, ещё не выявлены. Можно только предполагать, что его появлению способствуют вредные факторы окружающей среды, внутриутробные инфекции и другие общие факторы риска всех врождённых генетических заболеваний [26]. Однако известно, что возраст родителей не влияет на развитие синдрома Ретта [25].
Симптомы синдрома Ретта
Для синдрома Ретта характерны следующие проявления:
- потеря приобретённых навыков;
- изменение походки и мышечного тонуса (напряжения);
- признаки расстройства аутистического спектра;
- необычные движения рук;
- эпилептические приступы;
- нарушение дыхания;
- задержка роста головы (микроцефалия).
Микроцефалия
Обычно беременность и роды проходят без осложнений. Первые 6–20 месяцев ребёнок не отличается от своих сверстников, но потом психическое развитие замедляется. Темп роста головы и мозга отстаёт от нормы, а тонус в мышцах снижается [9].
В возрасте 1–3 лет происходит откат в развитии, могут возникнуть беспокойство, нарушение сна и частый беспричинный плач. У ребёнка наблюдаются проявления аутизма: сложности в общении, избегание или стойкость зрительного контакта, отсутствие указательного жеста и речи. Также отмечается скудная мимика и непроизвольное гримасничанье. Малыш не отзывается на имя и не слушается, а его игры и интересы однообразны. Целенаправленные движения рук ухудшаются, ребёнку сложно удерживать предметы и игрушки. Появляются стереотипные движения похожие на мытьё рук: их сжатие, похлопывание и постукивание на уровне тела и головы, реже — сосание и покусывание пальцев. Со временем малыш может перестать ходить, ползать и даже сидеть [10].
У половины детей нарушается дыхание при бодрствовании: останавливается на 1–2 минуты вплоть до обморока и сменяется учащённым. Также могут возникать судорожные приступы. Эти жалобы появляются резко, в течение нескольких недель, что проводит к постановке неверных диагнозов, в том числе энцефалита [10].
В начальной школе отмечается глубокая умственная отсталость, поэтому дети учатся в коррекционных классах. У них проявляются судороги, тремор (дрожь), нарушение мышечного тонуса, координации и моторики. Ребёнок ходит на широко расставленных ногах и покачивается, движения становятся резкими и неточными. Он теряет навык жевать твёрдую пищу и глотать, появляются попёрхивания. При этом сон и эмоциональный контакт могут улучшаться [10].
К 10 годам усиливаются двигательные нарушения. Напряжение в мышцах повышается, суставы деформируются, возникает ограничение в их движениях (контрактура) и сколиоз [10].
Сколиоз
При синдроме Ретта возникают эпилептические приступы различных типов, которые плохо поддаются лечению антиконвульсантами. Чаще всего случаются генерализованные тонико-клонические судорожные приступы, при которых аномальная электрическая активность наблюдается в обоих полушариях мозга. Они сопровождаются потерей сознания, повышением мышечного тонуса и последующим тремором. Также бывают парциальные припадки без потери сознания (при таких припадках эпиактивность возникает только в определённой области мозга). При эпилептических приступах могут происходить внезапные падения. По мере развития болезни эпиприпадки становятся реже.
Половое развитие у людей с синдромом Ретта соответствует норме, но сочетается с отставанием в росте и наборе массы тела.
При атипичном течении заболевание дебютирует раньше и проявляется сразу после рождения. В таких тяжёлых случаях двигательные навыки могут не сформироваться: ребёнок не сидит, не ходит, не ползает и даже не переворачивается. Эпилептические приступы возникают в первые годы жизни. У малыша нет периода нормального психического развития.
Патогенез синдрома Ретта
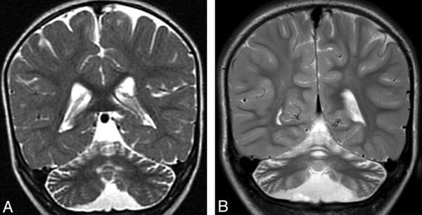
Патогенез заболевания до конца не изучен. В его основе лежит случайная мутация гена MECP2 на Х-хромосоме. Этот участок ДНК отвечает за образование одноимённого белка во многих клетках организма. Больше всего он синтезируется в нервных клетках (нейронах) головного мозга, поэтому белок влияет на их созревание, пластичность и формирование связи между ними.
При синдроме Ретта структура белка нарушается, что приводит к его плохой работе. Страдает рост и развитие головного мозга, а кора больших полушарий и мозжечок атрофируются (уменьшаются) [11]. Истончение коры головного мозга приводит к сбоям в работе центров речи и контроля за поведением и планированием движений, а атрофия мозжечка вызывает проблемы с координацией и тремор.
![Атрофия мозжечка и коры головного мозга [25] Атрофия мозжечка и коры головного мозга [25]](/media/bolezny/sindrom-retta/atrofiya-mozzhechka-i-kory-golovnogo-mozga-25_s_KI5QZBE.jpeg)
Атрофия мозжечка и коры головного мозга [25]
Классификация и стадии развития синдрома Ретта
Синдром Ретта имеет несколько стадий:
- I стадия — «стагнация». Она продолжается несколько месяцев после дебюта заболевания и проявляется задержкой психического развития и нарушением поведения по типу расстройства аутистического спектра. Наблюдается замедление роста головы и снижение мышечного тонуса.
- II стадия — «быстрый регресс». Эта стадия длится от нескольких недель до нескольких месяцев, реже лет. Аутистические черты смягчаются, ребёнок проявляет эмоции в близком окружении, но социальный контакт нарушен. Речь становится невнятной, появляются двигательная неловкость и общая возбудимость. Движения рук не контролируются, мышцы ног атрофируются, походка нарушается, и возникает сколиоз. У малыша обнаруживаются первые признаки нарушения дыхания и формируется микроцефалия.
- III стадия — «псевдостационарная». Третий этап протекает более 10 лет, для него характерны полное отсутствие речи и значительное снижение интеллекта. Ребёнок может понимать простые жесты, меньше навязчиво двигает руками, у него появляется тремор головы, тела и конечностей. У трети пациентов начинаются эпилептические припадки [10]. На этой стадии происходит откат в развитии до уровня годовалого ребёнка.
- IV стадия — «тотальное слабоумие». В данный период исчезает большинство необходимых бытовых навыков, глотание и жевание. Тонус в конечностях значительно повышается. Из-за отсутствия двигательной активности, контрактур суставов, слабости и гипертонуса мышц ребёнок нуждается в постоянном уходе. Но даже при этом пациент может умереть в 10–30 лет [10].
Эти стадии выделяют условно, потому что границы нечёткие и возрастные рамки могут сдвигаться.
Помимо классического течения выделяют атипичные формы синдрома Ретта:
- Zapella — с частично сохранённой речью. Слабоумие менее выражено, физическое развитие не страдает.
- Hanefeld — с ранним началом судорожных припадков, иногда даже до возникновения умственной отсталости.
- Rolando — с преобладанием нарушения моторного развития [6].
Также к атипичным формам синдрома Ретта относят случаи раннего начала проявлений (с рождения или внутриутробно) и его обнаружения у живорождённых мальчиков, так как многие мальчики с этим синдромом погибают в утробе [2].
Все атипичные формы соответствуют критериям синдрома Ретта, но динамика заболевания отклоняется от классического течения. Это затрудняет дифференциальную диагностику с расстройством аутистического спектра и наследственной эпилепсией.
Осложнения синдрома Ретта
Осложнения могут проявляться уже со II стадии заболевания и затрагивать почти все органы. Состояние пациента ухудшают:
- Расстройства дыхания и глотания. Проблемы с дыханием связаны с нарушением нервной регуляции и сколиозом. Они могут привести к обморокам и внезапной смерти. Нарушение глотания вызывает пневмонию, а заглатывание воздуха — вздутие живота. Кроме того, расстройства сна, сопровождающиеся аномалиями дыхания, усугубляют течение эпилепсии и снижение интеллекта [13].
- Сколиоз. Он возникает из-за изменения тонуса и атрофии мышц. При большом искривлении позвоночника появляются хронические боли и обостряется нарушение дыхания. Чтобы облегчить состояние и замедлить прогресс, применяют корсеты и проводят операции [14].
Корсет Шено при сколиозе
- Контрактуры суставов. Из-за повышенного тонуса мышц пациенту приходится прилагать больше усилий, чтобы совершать движения в суставах. По мере прогрессирования болезни сустав деформируется настолько, что движения ограничиваются или их вообще не получается сделать. Для профилактики контрактуры используют массажи, лечебную физкультуру, введение Ботулотоксина, ортезы и другие ортопедические приспособления. Если контрактура уже образовалась, в ряде случаев её оперируют [15].
- Переломы костей. Чаще всего ломаются кости ног, так как минеральная плотность костной ткани очень низкая. У пациентов с синдромом Ретта значительно замедляются созревание скелета и набор костной массы. Это происходит из-за приёма противосудорожных препаратов, контрактуры суставов, низкой физической активности, плохого питания и малого потребления кальция и витамина D [16].
- Эпилептический статус. При этом состоянии возникает долгий эпилептический приступ или непрерывная серия приступов, в результате чего страдают нейроны головного мозга. Такое осложнение может существенно ухудшить состояние или даже привести к смерти [17].
- Нарушение кровоснабжения в руках и ногах. Проблемы регуляции тонуса сосудов приводят к их спазму. Замедляется рост кистей и стоп, они становятся маленькими, холодными и синюшными [2].
- Атрофия мышц. Мышечная масса постепенно уменьшается из-за низкой физической активности, нарушения нервной регуляции и недостатка питательных веществ [2].
- Истощение. Дефицит массы тела возникает связан с нарушениями поведения, избирательностью питания и утратой способности жевать и глотать.
- Запоры и боли в животе. Сбои в работе желудочно-кишечного тракта (ЖКТ) происходят из-за проблем с питанием, снижения двигательной активности и изменений в микрофлоре кишечника [18].
- Пролежни. Они образуются у лежачих пациентов. Для профилактики нужно часто менять положение, следить за состоянием постельного белья и обрабатывать дефекты кожи.
![Пролежни [7] Пролежни [7]](/media/bolezny/sindrom-retta/prolezhni-7_s.jpeg)
Пролежни [7]
Диагностика синдрома Ретта
Обычно родители обращаются к педиатру или детскому неврологу с жалобами на задержку развития. При выявлении признаков аутизма (нарушения коммуникации) и грубой задержки психического развития ребёнка могут направить к психиатру. Если врачи подозревают синдром Ретта, то состояние пациента соотносят со специальными критериями, чтобы подтвердить или опровергнуть диагноз.
Критерии диагностики синдрома Ретта
Основные критерии:
- частичная или полная потеря приобретённых навыков целенаправленной работы руками;
- проблемы с речью или её отсутствие;
- нарушения походки вплоть до неспособности ходить;
- стереотипные движения рук: потирание, сжимание, хлопки, постукивания и облизывание [12].
Дополнительные критерии:
- нарушения дыхания при бодрствовании;
- бруксизм (скрежет зубами) при бодрствовании;
- проблемы со сном;
- изменение мышечного тонуса;
- сосудистые нарушения, при которых синеют руки, ноги или другие части тела;
- сколиоз и/или кифоз (изгиб позвоночника к задней части);
- задержка роста;
- маленькие холодные руки и ноги;
- неуместные всплески смеха/крика;
- сниженная реакция на боль;
- очень стойкий зрительный контакт или его отсутствие.
Кифоз
Критерии, исключающие синдром Ретта:
- повреждение головного мозга в результате травмы (до или после рождения), тяжёлой инфекции или нейрометаболического заболевания (поражения нервной системы из-за нарушения обмена веществ);
- серьёзные нарушения психомоторного развития в первые полгода жизни.
Для диагностирования типичного синдрома Ретта должны выполняться следующие условия:
- период регресса, сменяющийся восстановлением или стабилизацией;
- наличие всех обязательных и отсутствие исключающих критериев;
- возможно присутствие дополнительных критериев (необязательно).
Чтобы поставить атипичную форму синдрома Ретта, должны наблюдаться:
- период регресса, сменяющийся восстановлением или стабилизацией;
- как минимум 2 из 4 обязательных критериев и 5 из 11 дополнительных критериев;
- отсутствие исключающих критериев.
Дополнительные обследования
При подозрении на синдром Ретта проводится генетическое тестирование на мутацию гена MECP2 на Х-хромосоме (Xq28) и на другие предполагаемые генетические мутации.
Работу лёгких и нарушения дыхания исследуют с помощью спирометрии.
Спирометрия
При проведении электроэнцефалограммы (ЭЭГ) у большинства пациентов наблюдается снижение основной активности фоновой записи, что говорит о замедленной активности нейронов. У части людей с синдромом Ретта отмечается эпилептиформная активность, которая характерна для эпилепсии, но не всегда подтверждает её наличие. Видео-ЭЭГ-мониторинг показывает связь судороги с изменениями на ЭЭГ [10].
Для выявления осложнений или дифференциальной диагностики проводят анализы крови, электрокардиографию (ЭКГ), ультразвуковое исследование (УЗИ) органов брюшной полости, рентгенографию костей и магнитно-резонансную томографию (МРТ).
Дифференциальная диагностика
Дифференциальное обследование проводится с расстройством аутистического спектра [19]. При аутизме нет выраженной отрицательной динамики, но есть регресс развития в первые годы жизни. РАС может сопровождаться эпилепсией, однако в таком случае она лучше поддаётся лечению.
Расстройство аутистического спектра чаще встречается у мальчиков, поэтому при диагностике девочкам с признаками аутизма нужно уделять больше внимания, чтобы исключить синдром Ретта. У детей с этим заболеванием после стадии аутистического распада ухудшаются двигательные навыки и появляется атаксия. Затем возникают судорожные приступы, которые не характерны для РАС.
Сочетание эпилепсии, глубокой умственной отсталости, нарушения походки и автоматических движений рук при аутизме требуют тщательного исследования для рассмотрения диагноза синдрома Ретта.
Эпилепсия, плохо поддающаяся терапии, в сочетании с задержкой развития тоже нуждается в исключении синдрома Ретта.
Лечение синдрома Ретта
Лечения, устраняющего первопричину заболевания, ещё не существует. Учёные изучают эффективность и безопасность генной терапии при синдроме Ретта, но в клинической практике она пока не применяется [20]. Пациентам проводят симптоматическое лечение, чтобы замедлить развитие болезни и её переход в тяжёлую стадию, устранить эпиприступы и поддерживать работу внутренних органов.
Симптоматическая терапия включает приём лекарств, физиотерапию и коррекцию отклонений психического развития.
Для смягчения проявлений синдрома Ретта принимают следующие препараты:
- Антиконвульсанты (например, Вальпроевую кислоту, Окскарбазепин, Ламотриджин) — снижают частоту эпиприпадков.
- Ингибиторы протонной помпы и Н2-блокаторы — используют при забросе содержимого желудка в пищевод.
- Слабительные — помогают справиться с запорами.
- Мелатонин — улучшает качество сна.
- Антидепрессанты группы СИОЗС (селективных ингибиторов обратного захвата серотонина) — прописывают при повышенной тревожности (например, Флуоксетин, Сертралин, Проксетин) [21].
- Нейролептик Рисперидон — останавливает самоповреждения из-за неконтролируемых движений рук и перевозбуждения.
- Баклофен и Ботулотоксин — используют при гипертонусе мышц.
- Атропин — помогает при избыточном слюнотечении.
- Поливитамины и витамин D — укрепляют кости и восполняют дефициты.
- Препараты, корректирующие проблемы с дыханием и сердцем. Также при этих нарушениях применяют кислородную терапию и искусственную вентиляцию лёгких (ИВЛ).
В США одобрено первое лекарство для лечения синдрома Ретта — Трофинетид. Его клиническое исследование ещё продолжается. Предполагается, что препарат улучшает пластичность коры головного мозга и передачу нервных импульсов [21]. В России Трофинетид не применяется.
В рамках физиотерапии при синдроме Ретта проводят лечебную физкультуру и массаж, чтобы замедлить прогрессирование двигательных нарушений, снизить тонус мышц и предупредить контрактуры и хрупкость костей.
С пациентом занимаются психолог и дефектолог, для того чтобы снизить темпы развития умственной отсталости [2]. Эти реабилитационные мероприятия включают развитие внимания, памяти, мышления, социальную адаптацию, а также обучение речи, письму, счёту и бытовым навыкам.
Прогноз. Профилактика
Прогноз в первую очередь зависит от формы заболевания и возникших осложнений, но также влияет и качества ухода. Дети с синдромом Ретта иногда доживают до 20–30 лет и погибают из-за истощения, дыхательных расстройств и во время эпистатуса. Лежачий пациент может умереть во время гриппа или другой ОРВИ из-за застойной пневмонии.
Некоторые люди с этим заболеванием могут передвигаться самостоятельно, другие — только на инвалидной коляске [2].
При лёгких формах болезни можно достичь минимальных положительных результатов в развитии.
Исследование генной терапии может дать шанс на продление и улучшение качества жизни людей с синдромом Ретта.
Профилактика синдрома Ретта
Специфических вариантов профилактики нет, но в семьях, где есть ребёнок с синдромом Ретта, матерям проводят пренатальную диагностику, чтобы принять решение о сохранении или прерывании беременности [8].
Список литературы
Rett A. Uber ein eigenartiges hirnatrophisches Syndrom bei Hyperammonämie im Kindersalter [On a unusual brain atrophy syndrome in hyperammonemia in childhood] // Wien Med Wochenschr. — 1966. — № 37. — Р. 723–726.ссылка
Казанцева Л. З., Улас В. Ю. Синдром Ретта у детей // Лечащий врач. — 1998. — № 6. — С. 12–16.
Liyanage V. R., Rastegar M. Rett syndrome and MeCP2 // Neuromolecular Med. — 2014. — № 2. — Р. 231–264. ссылка
Hunter K. Role of the International Rett Syndrome Association // J Child Neurol. — 1988. — № 3. — Р. 87–88.ссылка
Downs J., Pichard D. C., Kaufmann W. E., Horrigan J. P. et al. International workshop: what is needed to ensure outcome measures for Rett syndrome are fit-for-purpose for clinical trials? June 7, 2023, Nashville, USA // Trials. — 2024. — № 1. — Р. 845.ссылка
Волгина С. Я. Атипичные варианты синдрома Ретта // Синдром Ретта. [Электронный ресурс]. Дата обращения: 17.07.2025.
And now for something new (bed sores) // Grace for Rett Syndrome. — 2016.
Armstrong J., Aibar E. , Pineda M., Pérez M. M. et al. Prenatal diagnosis in Rett syndrome // Fetal Diagn Ther. — 2002. — № 4. — Р. 200–204.ссылка
Шнайдер Н. А. Синдром Ретта (часть 1): дефиниция, эпидемиология, этиология, клиника // Вестник КБ № 51. — 2014. — № 1. — С. 18–25.
Мухин К. Ю., Карпова В. И., Безрукова И. С., Большакова Е. С. и др. Синдром Ретта (обзор литературы и описание клинического случая) // Русский журнал детской неврологии. — 2010. — № 2. — С. 43–52.
Kyle S. M., Vashi N., Justice M. J. Rett syndrome: a neurological disorder with metabolic components // Open Biol. — 2018. — № 2. — Р. 170216.ссылка
Neul J. L., Kaufmann W. E., Glaze D. G., Christodoulou J. et al. Rett syndrome: revised diagnostic criteria and nomenclature // Ann Neurol. — 2010. — № 6. — Р. 944–950.ссылка
Ramirez J. M., Karlen-Amarante M., Wang J. J., Huff A. et al. Breathing disturbances in Rett syndrome // Handb Clin Neurol. — 2022. — Vol. 189. — Р. 139–151.ссылка
Huang T. J., Lubicky J. P., Hammerberg K. W. Scoliosis in Rett syndrome // Orthop Rev. — 1994. — № 12. — Р. 931–937.ссылка
Guidera K. J., Borrelli J. Jr., Raney E., Thompson-Rangel T. et al. Orthopaedic manifestations of Rett syndrome // J Pediatr Orthop. — 1991. — № 2. — Р. 204–208.ссылка
Caffarelli C., Al Refaie A., Mondillo C., De Vita M. et al. Bone Fracture in Rett Syndrome: Mechanisms and Prevention Strategies // Children (Basel). — 2023. — № 12. — Р. 1861.ссылка
Всероссийское общество неврологов, Ассоциация нейрохирургов России, Ассоциация специалистов по клинической нейрофизиологии, Союз реабилитологов России. Эпилепсия и эпилептический статус у взрослых и детей: клинические рекомендации. — 2022. — 277 с.
Caputi V., Hill L., Figueiredo M., Popov J. et al. Functional contribution of the intestinal microbiome in autism spectrum disorder, attention deficit hyperactivity disorder, and Rett syndrome: a systematic review of pediatric and adult studies // Front Neurosci. — 2024. — № 18. — Р. 1341656. ссылка
Trevathan E., Naidu S. The clinical recognition and differential diagnosis of Rett syndrome // J Child Neurol. — 1988. — № 3. — Р. 6–16.ссылка
Powers S., Likhite S., Gadalla K. K., Miranda C. J. et al. Novel MECP2 gene therapy is effective in a multicenter study using two mouse models of Rett syndrome and is safe in non-human primates // Mol Ther. — 2023. — № 9. — Р. 2767–2782.ссылка
Percy A. K., Ananth A., Neul J. L. Rett Syndrome: The Emerging Landscape of Treatment Strategies // CNS Drugs. — 2024. — № 11. — Р. 851–867.ссылка
Operto F. F., Mazza R., Pastorino G. M. G., Verrotti A. et al. Epilepsy and genetic in Rett syndrome: A review // Brain Behav. — 2019. — № 5. — Р. e01250.ссылка
About Rett Syndrome // IRSF. [Электронный ресурс]. Дата обращения: 17.07.2025.
Vedolin L., Gonzalez G., Souza C. F., Lourenço C. et al. Inherited cerebellar ataxia in childhood: a pattern-recognition approach using brain MRI // AJNR Am J Neuroradiol. — 2013. — № 5. — Р. 925–934.ссылка
Asuncion R. M. D., Ramani P. K. Rett Syndrome // Treasure Island (FL). — 2025.ссылка
Врождённые заболевания // Всемирная организация здравоохранения. — 2023.

