Авторы
Литературный редактор:
Елизавета Отмахова
Научный редактор:
Сергей Федосов
Шеф-редактор:
Маргарита Тихонова
Вступление
25 июля 2022 года в стоматологическую клинику обратился мужчина с жалобой на оголение корня нижнего правого премоляра (зуба 4.4).
Жалобы
Пациента также беспокоила повышенная чувствительность — боль при употреблении холодной, горячей и сладкой пищи. Оголение корня зуба приносило мужчине эстетический дискомфорт, поэтому он не мог полноценно улыбаться.
Боль усиливалась в холодное время года, когда пациент на улице улыбался или разговаривал.
Анамнез
Первые симптомы появились 2 года назад. Мужчина использовал жёсткую щётку и чистил зубы слишком усиленно, что приводило к регулярному повреждению зуба и десневой ткани. Пациент консультировался в других клиниках, где ему предлагали закрыть корень пломбой, но он отказался от этой процедуры.
За несколько недель до обращения мужчина изменил технику чистки зубов и подобрал средства индивидуальной гигиены, что значительно снизило боль при чистке, но чувствительность на холодное, горячее и сладкое сохранилась.
У пациента нет вредных привычек, аллергии и каких-либо симптомов со стороны опорно-двигательного аппарата или желудочно-кишечного тракта. Травм не было, операций не делал. Гипертонией, ВИЧ-инфекцией, гепатитами, сахарным диабетом не болел. На учёте у профильных специалистов не состоял. Принимал витамины группы B и БАДы.
Обследование
При осмотре лицо симметричное, рот открывался широко. Прощупывание близлежащих лимфатических узлов и височно-нижнечелюстного сустава безболезненно.
Прикус ортогнатический (правильный), без патологической стираемости зубов. Слизистая оболочка бледно-розового цвета, умеренно увлажнена, глубина пародонтальных карманов — 1,5–2 мм (в норме).
Язык бледно-розовый, без патологических образований, уздечка прикреплена нормально. Выделения из протоков околоушной слюнной железы прозрачные, без примесей и хлопьев. Глубина преддверия полости рта — 7 мм.
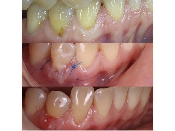
В районе зуба 4.4 отмечалась рецессия десны.
Замеры рецессии установили, что она принадлежит I классу по Миллеру: глубина — 3 мм (мелкая), не выходит за границы прикреплённой десны, биотип (толщина десны) средний, слизистых тяжей в области рецессии не было.
Диагноз
Рецессия десны в области зуба 4.4.
Лечение
Пациенту провели туннельную пластику, в ходе которой сделали на десне надрез ниже области рецессии и поместили туда трансплантат, взятый из нёба. Место забора трансплантата ушили и тампонировали гемостатической губкой. На десну наложили швы, фиксирующие трансплантат, а также подвесной и композитный шов.
Операция длилась час.
Боли после операции не было, но сохранялась незначительная отёчность. Швы сняли через 10 дней.
Чувствительность на холодное, горячее и сладкое исчезла. Мужчина был полностью доволен своим внешним видом. Ему также дали рекомендации по гигиене полости рта и подобрали средства по уходу, которые позволят избежать рецидива.
Заключение
Этот клинический случай показывает, насколько важно при заболевании дёсен своевременно общаться к профильному специалисту — пародонтологу. Ведь если бы пациент согласился на постановку пломб на оголенные корни, это только усугубило патологию: рецессия продолжила расти и в будущем выглядела бы неприемлемо, доставляя ещё больший дискомфорт.


