Авторы
Литературный редактор:
Елизавета Отмахова
Научный редактор:
Сергей Федосов
Шеф-редактор:
Маргарита Тихонова
Вступление
В стоматологическую клинику обратился мужчина, у которого болели 2 нижних зуба рядом с правым клыком (зубы 4.4 и 4.5).
Жалобы
Пациент обратил внимание, что между десной и коронкой зуба 4.4 возникло расстояние, его корень оголился и появился острый край, в зубе сформировалось углубление. Когда в него попадала пища, мужчина чувствовал ноющую боль. Болезненные ощущения усиливались при чистке зубов в области дефекта, в связи с чем пациенту было сложно поддерживать хорошую гигиену полости рта на должном уровне.
Постепенно десна также стала болезненной и отёчной.
Боль часто усиливалась при вдыхании холодного воздуха, приёме холодной и горячей пищи. Десна раздражалась от любых жидкостей.
Анамнез
Мужчина отметил повышение чувствительности около года назад. С каждым месяцем симптомы усугублялись. Помимо болезненных ощущений, пациента беспокоил неэстетичный вид: изменение цвета в области углубления и оголение корней зубов.
У родственников таких проблем не было.
Обследование
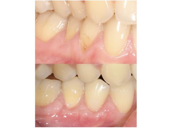
При осмотре полости рта на щёчной поверхности коронковой части зуба определялось клиновидное углубление, идущее по направлению к пульпе (нерву). Корень оголился на 3 мм. Слизистая оболочка, окружающая зубы 4.4 и 4.5, покраснела и отекла. Десна кровоточила при зондировании. Воздействие температурных раздражителей сопровождалось резкой болью.
КТ показала полость в пришеечной части зуба 4.4, не доходящей до пульпы.
Диагноз
Рецессия десны. Клиновидный дефект зуба 4.4.
Лечение
Под анестезией пациенту закрыли клиновидный дефект пломбировочным материалом. Затем провели операцию по устранению рецессии:
- сделали инфильтрационную анестезию и сформировали слизистый карман в области двух зубов (по туннельной методике);
- забрали кусочек слизистой с твёрдого неба в области боковых зубов, длина соизмерима с протяжённостью двух зубов, ширина — 3 мм, толщина — 2 мм;
- зафиксировали трансплантат нерассасывающимися нитями в области сформированного ранее туннеля;
- остановили кровотечение и приложили холод.
По завершению манипуляции мужчине дали рекомендации, как ухаживать за зубами.
Рана заживала без особенностей. Швы сняли через 2 недели. Спустя ещё неделю удалось оценить результат лечения: рецессия десны была полностью закрыта.
Пациент приходил на осмотр каждую неделю в течение месяца, затем через две недели и ещё спустя месяц.
Мужчина был доволен эстетическим эффектом. Кроме того, он больше не чувствовал боли во время еды и при воздействии температурных раздражителей.
Восстановительный период не вызвал никаких трудностей.
Заключение
Рецессия десны — это полиэтиологичное заболевание. Так, наряду с генетической предрасположенностью важную роль играют местные факторы, например плохая гигиена полости рта, особенности строения слизистой оболочки или перегрузка зубов (некорректно поставленные пломбы, отсутствие зубов, вредные привычки).
Чтобы стабилизировать, а ещё лучше предотвратить такую ситуацию, необходимо устранить местные провоцирующие факторы. Этому способствует своевременное лечение, рациональное протезирование, устранение коротких уздечек и тяжей.
Если же болезнь уже получила развитие, важно сразу же провести операцию по закрытию рецессии. В противном случае она увеличится, что может грозить потерей зуба.


