Определение болезни. Причины заболевания
Пиелит (Pyelitis) — это воспалительное заболевание почки, главным образом — её лоханки. Обычно оно развивается в результате воздействия бактериальной инфекции. В Международной классификации болезней 10-го пересмотра (МКБ-10) пиелит находится в группе болезней N10, которая включает в себя острый интерстициальный нефрит, острый пиелит и острый пиелонефрит.
Сам по себе пиелит встречается крайне редко и быстро трансформируется в пиелонефрит, поэтому отличить их практически невозможно. Разница между ними заключается в том, что пиелит поражает собирательную систему почки, к которой относятся чашечки и лоханки, а пиелонефрит затрагивает как чашечно-лоханочные структуры, так и паренхиму почек, которая также содержит почечные клубочки.

Разница между пиелитом и пиелонефритом
Пиелит встречается как у взрослых, так и у детей.
Причины развития пиелита
Основной причиной развития пиелита являются бактерии. Чаще всего возбудителями инфекций мочевыводящих путей, в том числе и пиелита, выступают кишечная палочка (Escherichia coli) и клебсиелла пневмонии (Klebsiella pneumoniae) [2].
Некоторые исследования также указывают на связь пиелита и Corynebacterium urealyticum — грамположительной бактерии, способной расщеплять мочевину, которая выводится почками [15]. За счёт такого расщепления количество соединений, состоящих из аммиака, увеличивается, что приводит к образованию молекул струвита и фосфата кальция, которые со временем кристаллизуются и оседают на стенке лоханки и чашечек почки. Это приводит не только к воспалению, но и формированию своеобразной «корочки» из кристаллов соли.
Чаще других заболеванию подвержены люди после пересадки почки, установки мочеточникового стента или внутрипузырного катетера, пациенты со сниженным или подавленным иммунитетом и нарушением оттока мочи (например, при гидронефрозе или мочекаменной болезни) [10].
В литературе также описан случай возникновения пиелита после дробления камня с помощью дистанционной ударно-волновой литотрипсии: примерно через 10 часов после сеанса пациентка обратилась в отделение неотложной помощи с лихорадкой и болью в левом боку, после чего ей поставили соответствующий диагноз. Однако такие случаи встречаются крайне редко [7].
Симптомы пиелита
Основными симптомами заболевания являются периодические боли в боку и пояснице на стороне поражения, подъём температуры от 37 до 40 °C и озноб, также возможно учащение мочеиспускания и изменение цвета мочи от тёмно-жёлтого до красного. Боль бывает тупой или распирающей, со временем она может усиливаться.
Расположение боли при пиелите
Однако иногда пиелит вызывает нетипичные симптомы. Например, одна пациентка жаловалась на болезненные ощущения в левой верхней части живота, которые сопровождались некоторым учащением мочеиспускания и тошнотой, при этом болей в боку и изменения мочи у неё не было [6].
Патогенез пиелита
Почечная лоханка — это центральная полая часть почки, в которую сливается вторичная моча из всех нефронов — структурных единиц почки, фильтрующих кровь. Моча, выделившись в малые чашечки, попадает в большие чашечки, оттуда — в лоханку, далее по мочеточнику — в мочевой пузырь.
Строение почки
При неблагоприятных факторах, например при забросе мочи из мочевого пузыря в почку, нарушении отведения мочи по мочеточнику, наличии стентов или катетеров, бактерии вместе с мочой попадают в лоханку и вызывают её воспаление, т. е. развивается пиелит [12]. После того как продукты жизнедеятельности бактерий и вещества, связанные с иммунным ответом организма на инфекцию, проникают в паренхиму почки и её межклеточное пространство, формируется пиелонефрит.
Воспаление паренхимы приводит к отёку почки, который сдавливает кровеносные сосуды, из-за чего объём крови, поступающий в почку, уменьшается. В результате клетки органа недополучают питательные вещества и не могут работать, как раньше, поэтому почка не способна полностью очистить кровь от продуктов обмена веществ. В анализе крови этот процесс проявляется повышением уровня креатинина и мочевины.
Классификация и стадии развития пиелита
Единой классификации пиелита не существует, но в литературе есть описания отдельных форм болезни: эмфизематозного, инкрустирующего и кистозного пиелита.
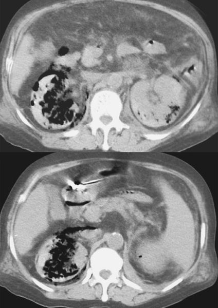
Характерной чертой эмфизематозного пиелита является скопление газа в тканях лоханки и чашечках. В большинстве случаев возбудителем заболевания выступает кишечная палочка. Хотя учёные ещё не до конца поняли, как в этом случае формируется газ, принято считать, что бактерия вызывает кислотную ферментацию глюкозы, в процессе которой образуются углекислый газ, водород, азот и др. [4][22][23] Чаще всего эмфизематозный пиелит диагностируют у ослабленных пациентов с длительным неконтролируемым или декомпенсированным сахарным диабетом, осложнённым патологией почек и нарушением оттока мочи.
В зависимости от распространённости газа, выделяют 5 типов болезни:
- I класс — газ находится исключительно в чашечно-лоханочной системе (непосредственно эмфизематозный пиелит);
- II класс — газ проникает в паренхиму почки;
- IIIА класс — газ распространился на ткани, окружающие почку;
- IIIВ класс — газ выходит за пределы тканей, окружающей почку, т. е. проникает в мышцы или подкожную клетчатку;
- IV класс — патологический процесс распространяется на обе почки или поражает единственную почку (т. е. вторая отсутствует) [3].
![Скопление газа в паренхиме почки [24] Скопление газа в паренхиме почки [24]](/media/bolezny/pielit/skoplenie-gaza-v-parenhime-pochki-24_s.jpeg?dummy=1754648635425)
Скопление газа в паренхиме почки [24]
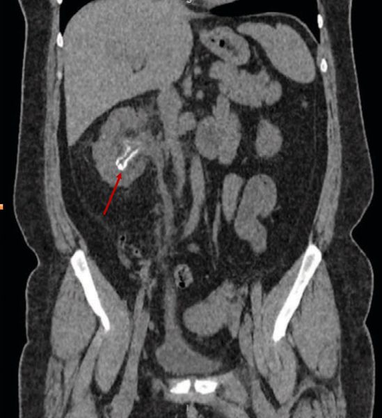
Инкрустирующий пиелит, как правило, развивается в результате воздействия Corynebacterium urealyticum. Как уже было сказано выше, эта бактерия способна расщеплять мочевину, из-за чего на стенках лоханок и чашечек формируется кристаллическая корочка, которую находят во время инструментального обследования [1].
![Инкрустирующий пиелит [1] Инкрустирующий пиелит [1]](/media/bolezny/pielit/inkrustiruyushiy-pielit-1_s.jpeg?dummy=1754648666800)
Инкрустирующий пиелит [1]
Кистозный пиелит — это хроническое заболевание, при котором в почечной лоханке образуются мелкие кисты [9].
Важно отметить, что симптомы разных форм пиелита практически не отличаются.
Осложнения пиелита
К основным осложнениям пиелита относятся:
- пиелонефрит — симптомы пиелонефрита почти не отличаются от симптомов пиелита;
- абсцесс почки с дальнейшим гнойным расплавлением — абсцесс сопровождается более сильной болью и высокой температурой, чем при пиелите;
- абсцесс поясничной мышцы — проявляется болью в пояснице и области ягодичных мышц, из-за чего пациент хромает на ногу с поражённой стороны [5].
Абсцесс почки
Как правило, осложнения развиваются при несвоевременной диагностике и позднем начале лечения. Риск их формирования также повышается у пожилых пациентов, людей со сниженным иммунитетом, неконтролируемым сахарным диабетом или установленным катетером мочеточника.
Диагностика пиелита
При подозрении на пиелит необходимо обратиться к врачу-урологу. Диагностика заболевания основывается на данных анамнеза (истории жизни и болезни) пациента, результатах осмотра, лабораторных и инструментальных методов обследования.
На первичном приёме врач выслушивает жалобы пациента, уточняет, появлялись ли похожие симптомы раньше. Также его интересуют, не проводились ли ранее операции на органах мочевыводящей системы, установлен ли у пациента стент мочеточника или уретральный катетер. Все эти данные помогут быстрее поставить верный диагноз.
Далее врач оценивает пульс, артериальное давление и температуру тела пациента, после чего направляет его на сдачу анализов:
- общий анализ крови — показывает повышенный уровень лейкоцитов, нейтрофилов и скорости оседания эритроцитов (СОЭ);
- общий анализ мочи — выявляет увеличенный уровень лейкоцитов и наличие бактерий;
- бактериологическое исследование мочи — позволяет определить возбудителя инфекции и подобрать эффективную антибактериальную терапию.
Инструментальная диагностика
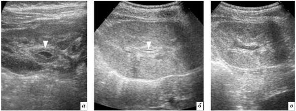
Диагностировать пиелит можно только после проведения компьютерной томографии (КТ) с внутривенным контрастированием, т. е. с введением специального вещества (обычно йодсодержащего) для улучшения видимости органов и тканей. Однако при выполнении этой процедуры организм получает определённую дозу облучения, поэтому предварительно пациенту делают ультразвуковое исследование (УЗИ). С его помощью можно увидеть размер почки, пузырьки воздуха и нарушение оттока мочи. Если УЗИ подтверждают подозрения врача о наличии пиелита, пациента направляют на КТ.
![Как выглядит пиелит на УЗИ [8] Как выглядит пиелит на УЗИ [8]](/media/bolezny/pielit/kak-vyglyadit-pielit-na-uzi-8_s.jpeg?dummy=1754648729305)
Как выглядит пиелит на УЗИ [8]
Компьютерная томография позволяет детально рассмотреть паренхиму почки, обнаружить различные осложнения (например, нагноения или воздух в окружающей клетчатке), а также чётко визуализировать окружающие ткани. Однако КТ с внутривенным контрастированием имеет некоторые противопоказания: если у пациента есть аллергическая реакция на йод-содержащие препараты или уровень креатинина в его крови превышает 150 мкмоль/л, проведение такой процедуры считается опасной для здоровья, поэтому перед исследованием необходимо проконсультироваться с врачом.
Дифференциальная диагностика
Чтобы уточнить диагноз, необходимо исключить другие болезни с похожей симптоматикой. К ним относится острый пиелонефрит, мочекаменная болезнь, гидронефроз и паранефрит. Правильный диагноз может поставить только врач после тщательного обследования, поэтому ни в коем случае нельзя заниматься самодиагностикой.
Лечение пиелита
Лечение проводят в условиях урологического отделения стационара, чтобы медицинский персонал мог контролировать состояние пациента с помощью анализов крови и УЗИ. Основные цели лечения пиелита:
- дренирование — восстановление оттока мочи из почки;
- эрадикация — полное уничтожение инфекционного агента;
- ликвидация инкрустации — удаление солевых отложений со стенок чашечно-лоханочной системы, если они есть.
Выбор метода дренирования зависит от многих факторов [20]. Чаще всего используют мочеточниковый стент или катетер (в отличие от катетера у стента нет выхода для внешнего сбора мочи, т. е. он начинается и заканчивается в мочевыводящих путях). В некоторых случаях возможна установка двойных J-образных стентов [17].
Мочеточниковый стент
Срок, при котором стент может находиться в мочеточнике, устанавливают индивидуально, поэтому важно регулярно наблюдаться у уролога, чтобы в случае необходимости вовремя его заменить или удалить. Слишком долгое нахождение стента в организме может привести к образованию камней в почке и мочеточнике, что требует дополнительных вмешательств [18].
Если нет возможности провести катетеризацию или стентирование, назначают нефростомию: пациенту устанавливают нефростому — трубку, которая соединяет полость лоханки с внешней средой [14]. Как правило, она сохраняется до полного восстановления проходимости мочи через лоханку. Также через неё могут вводить лекарственные вещества [16].
Нефростомия
При установке нефростомы необходимо ежедневно обрабатывать кожу вокруг неё и контролировать количество отделяемой мочи. После удаления трубки рана затягивается самостоятельно в течение 7–10 дней. Важно отметить, что нефростомия — это хирургическая процедура, которую проводят под местной анестезией или наркозом, поэтому к ней прибегают лишь в исключительных случаях.
Для эрадикации используют антибактериальные препараты с учётом результатов бактериологического исследования мочи [16]. Продолжительность антибиотикотерапии определяет лечащий врач. Даже если пациент чувствует себя лучше, очень важно довести курс до конца, не пропуская ни одного приёма, чтобы полностью уничтожить патогенные микроорганизмы. В ином случае выжившие бактерии могут адаптироваться и стать устойчивыми к препарату.
Чтобы удалить инкрустацию, в полость лоханки вводят щелочные растворы (хемолиз), также назначают питьевые растворы [11]. В некоторых случаях применяют специальные препараты, например L-метионин, которые закисляют мочу и помогают расщепить инкрустирующий налёт. Как правило, такая терапия длится несколько месяцев. Чтобы следить за её эффективностью, врач периодически делает пациенту УЗИ или обзорную урографию (рентгеновский снимок почек) [15][16].
При наличии сопутствующих заболеваний (например, сахарного диабета или болезней сердечно-сосудистой системы) также может понадобиться наблюдение других профильных специалистов (эндокринолога и кардиолога).
Прогноз. Профилактика
Прогноз зависит от многих причин: формы болезни, наличия других заболеваний, возраста пациента, своевременности начала лечения и правильно подобранной антибактериальной терапии.
При благоприятном течении болезни (в том числе инкрустирующей формы) своевременная терапия помогает уничтожить инфекционный агент и восстановить отток мочи. Неблагоприятным исходом считается распространение процесса на паренхиму почки с развитием острого пиелонефрита и абсцесса. В этих случаях пациенту требуется операция и иногда — удаление почки. Если такие осложнения поражают пересаженную почку, её также необходимо удалить, чтобы не развились более грозные состояния, так как ко всему прочему организм ослаблен после пересадки.
Профилактика пиелита
Чтобы не допустить развития пиелита, как и других болезней почек, необходимо придерживаться следующих правил:
- пить достаточное количество воды (примерно 30–50 мл жидкости на 1 кг веса);
- заниматься физической активностью;
- контролировать уровень кальция и мочевой кислоты в крови;
- избегать переохлаждений;
- ежегодно делать УЗИ почек;
- не откладывать осмотр у врача-уролога при появлении подозрительных симптомов;
- своевременное лечить другие болезни почек, например мочекаменную болезнь [21].
Особо внимательными должны быть люди, которые находятся в группе риска. К ним относятся пациенты:
- с пересаженной или единственной почкой;
- диагностированной ранее мочекаменной болезнью и любыми другими заболеваниями, которые сопровождаются нарушением обмена веществ (например, с сахарным диабетом);
- отягощённым семейным анамнезом, когда кто-то в семье уже болел пиелитом;
- потребляющие мало жидкости и ведущие малоподвижный образ жизни.
Таким людям рекомендуется раз в полгода делать УЗИ, сдавать общий анализ мочи и обследоваться у уролога.
Список литературы
Мамаев И. Е., Ахмедов К. К., Сушкова Ю. В., Котов С. В. Инкрустирующий пиелит // Экспериментальная и клиническая урология. — 2022. — № 2. — С. 66–73.
Кузнецова М. В., Гизатуллина Ю. С., Демаков В. А. Уропатогенные штаммы Esherichia coli: биологические свойства и колонизационная активность // Вестник Пермского федерального исследовательского центра. — 2019. — № 1. — С. 14–22.
Новинский А. А., Зинухов А. Ф. Эмфизематозный пиелонефрит: эпидемиология, современные подходы к диагностике и лечению // Экспериментальная и клиническая урология. — 2020. — № 5. — С. 100–105.
Huang J., Tseng C. Emphysematous Pyelonephritis: Clinicoradiological Classification, Management, Prognosis, and Pathogenesis // Arch Intern Med. — 2000. — № 6. — Р. 797–805.ссылка
Mathew N., Pullockara J. K. An Uncommon Complication of Emphysematous Cystitis and Pyelitis // Saudi J Kidney Dis Transpl. — 2023. — № 3. — Р. 275–278.ссылка
Singh M., Barrera Adame O., Alaie M. Case Report of an Atypical Abdominal Pain Found to be a Rare Corynebacterium Emphysematous Pyelitis // Cureus. — 2022. — № 3. — Р. e23579.ссылка
Seker K., Arikan Y., Cetin Seker Y. et al. An Unexpected Complication After Extracorporeal Shock Wave Lithotripsy: Emphysematous Pyelitis // Cureus. – 2020. — № 5. — Р. e8307.ссылка
Ольхова Е. Б. Ультразвуковая диагностика редких вариантов острой инфекции мочевыводящих путей у детей // Вестник рентгенологии и радиологии. — 2012. — № 6. — С. 13–18.
Arai Y., Soga H., Konishi T., Tomoyoshi T. A case of pyelitis cystica diagnosed with utilization of ureterofiberscope // Nihon Hinyokika Gakkai Zasshi. — 1998. — № 4. — Р. 499–502.ссылка
Sigogne M., Culty T., Meria P., Demiselle J. Encrusted pyelitis in a kidney allograft // Kidney Int. — 2020. — № 1. — Р. 217. ссылка
Rodríguez-Cadenas S., López-Martínez L. I., Gallego Sánchez J. A. Encrusted pyelitis in a male with bricker urinary derivation and ureteral catheter // Arch Esp Urol. — 2021. — № 6. — Р. 619–622. ссылка
Румянцев А. Ш., Гончарова Н. С. Этиология и патогенез пиелонефрита // Нефрология. — 2000. — № 3. — С. 40–52.
Sun M., Wei X., Xiang X. еt al. Emphysematous pyelonephritis caused by Raoultella ornithinolytica: a case report // BMC Nephrol. — 2024. — № 1. — Р. 382.ссылка
Maiti A., Saha D., Das A. Emphysematous Pyelitis: An Entity Distinct from Emphysematous Pyelonephritis // Am J Med Sci. — 2017. — № 5. — Р. 505.ссылка
Rusmir A. V., Paunescu I. A., Martis S. et al. Encrusted Uretero-Pyelitis Caused by Corynebacterium urealyticum: Case Report and Literature Review // Diagnostics (Basel). — 2022. — № 9. — Р. 2239. ссылка
Saljoghi R., Lipsker A., Caillet K. et al. Encrusted Uretero-pyelitis: Case Report // Urol Case Rep. — 2016. — Vol. 7. — Р. 58–60. ссылка
Tan C C K Ho G. H., Bahadzor B., Praveen S., Goh E. H., Syahril A. S., Zulkifli M. Z. Bilateral emphysematous pyelitis: a rare encounter in urology // Clin Ter. — 2013. — № 4. — Р. 319–321. ссылка
Zanaty F., Elkholy A., Gamal A. A dual neglected double J stent: a rare case report // Afr J Urol. — 2022. — Vol. 28.
Kua Ch., Abdul Aziz Y. Air in the kidney: between emphysematous pyelitis and pyelonephritis // Biomed Imaging Interv J. — 2008. — № 4. — Р. e24. ссылка
Shoshany O., Erlich T., Golan S. et al. Ureteric stent versus percutaneous nephrostomy for acute ureteral obstruction - clinical outcome and quality of life: a bi-center prospective study // BMC Urol. — 2019. — № 1. — Р. 79. ссылка
Fontenelle L. F., Sarti T. D. Kidney Stones: Treatment and Prevention // Am Fam Physician. — 2019. — № 8. — Р. 490–496. ссылка
Huang J., Tseng C. Emphysematous Pyelonephritis: Clinicoradiological Classification, Management, Prognosis, and Pathogenesis // Arch Intern Med. — 2000. — № 6. — Р. 797–805. ссылка
Huang J. J., Chen K. W., Ruaan M. K. Mixed Acid Fermentation of Glucose as a Mechanism of Emphysematous Urinary Tract Infection // J Urol. — 1991. — № 1. — Р. 148–151. ссылка
Насибов Р. Эмфизематозный пиелонефрит // Medach. — 2019.

