Авторы
Литературный редактор:
Елизавета Отмахова
Научный редактор:
Сергей Федосов
Шеф-редактор:
Маргарита Тихонова
Вступление
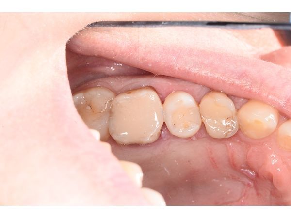
В 2022 году в клинику «Анатомия улыбки» обратилась женщина с трещиной в первом премоляре верхней челюсти слева (зубе 2.4).
Жалобы
Пациентка жаловалась на резкую болезненность при накусывании и жевании. В спокойном состоянии боль проходила, но оставался лёгкий дискомфорт.
Облегчить состояние помогали обезболивающие.
Анамнез
Около 10 лет назад в зубе 2.4 удалили нерв, но защитную ортопедическую конструкцию вовремя не поставили. Из-за этого оставшиеся ткани подвергались чрезмерным нагрузкам и в один момент не выдержали: при накусывании зуб треснул почти посередине.
В целом женщина регулярно посещала стоматолога раз в год.
Обследование
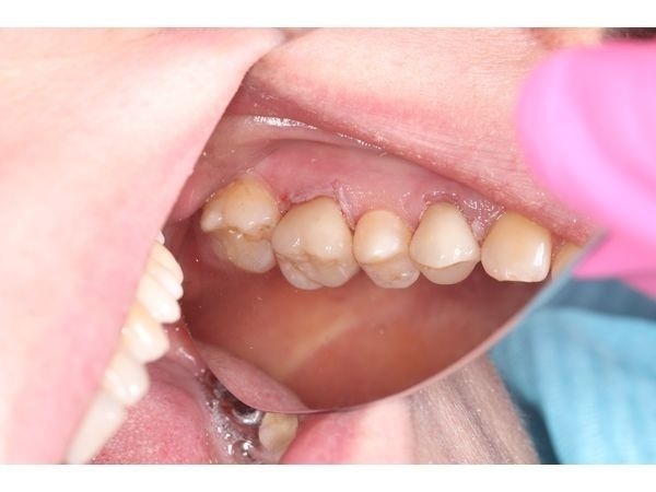
При осмотре на зубе 2.4 отмечалась трещина, уходящая глубоко под десну. Она проходила по нёбной стенке, поэтому любое давление, в том числе простукивание, травмировало кость и десну, отзываясь болью.
Чтобы определить глубину поражения, оценить качество лечения корневых каналов и убедиться в отсутствии воспаления в периапикальных тканях (костном ложе и связке зуба), пациентке сделали рентгенологическое исследование.
Диагноз
S02.5 Перелом зуба.
Лечение
Для начала женщине сняли старую пломбу, очистили полость от кариеса и разрушенных тканей, а также удалили сломанные стенки зуба. Далее пациентке предложили 2 варианта лечения:
- одномоментное удаление и имплантацию с последующим изготовлением коронки через 4 месяца (после полного восстановления и приживления имплантата);
- форсированную турбоэкструзию — «вытягивание» тканей зуба из десны для плотного и герметичного прикрепления коронки.
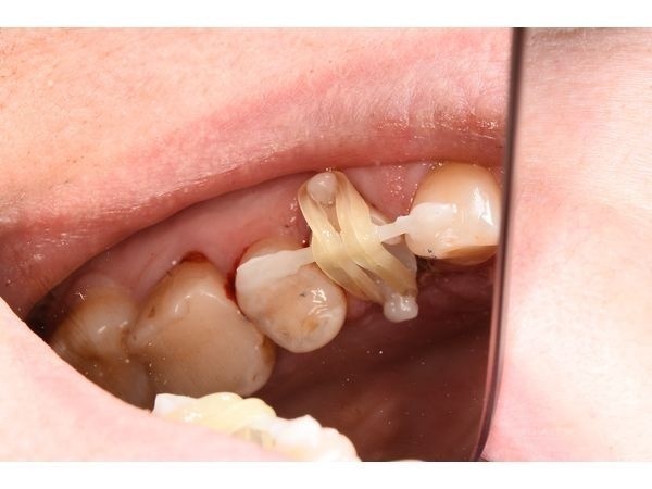
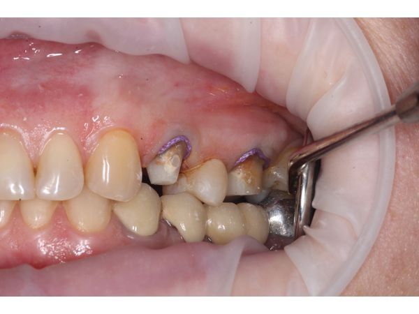
Женщина выбрала второй вариант, поэтому ей изолировали поражённый зуб и прикрепили тяги к соседним зубам с помощью временной балки. Постоянная тяга позволила подтянуть зуб из лунки на 4 мм, тем самым подняв линию перелома на уровень десны. Весь этот процесс проходил под контролем врачей.
Спустя 10 дней пациентка была готова к следующему этапу лечения: так как зуб максимально приблизился к балке, его можно было прикрепить (шинировать) к соседним зубам. Такая фиксация необходима для восстановления кости и формирования связки на новом уровне.
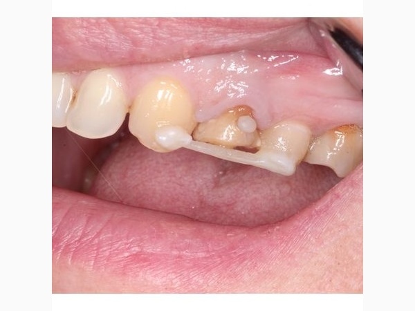
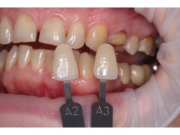
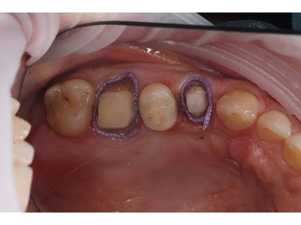
Когда через 2 месяца зуб перестал шататься, шину сняли и обработали зуб под постоянную керамическую коронку. На этом же приёме сняли слепки (отражение тканей рта для зуботехнической лаборатории). Женщине изготовили и установили временную коронку.
На контрольном осмотре через 2 недели у пациентки наблюдалась положительная динамика. Таким образом, от и до восстановления прошло 2,5 месяца и 4 посещения клиники.
Спустя год после экструзии рентген показал полное заживление костных тканей. Зуб полностью стабилен. Новых жалоб у женщины не было.
Заключение
Не секрет, что сейчас в случае «безнадёжных» зубов стоматологи обычно меняют их на имплантаты (аналоги корня зуба), после чего ставят протезы. Однако есть много других способов, позволяющих сохранить зубы.
В этом клиническом случае описан метод экструзии. Это не единственный способ восстановить сильно разрушенные зубы, однако в каждой конкретной ситуации решение принимается индивидуально, основываясь на клинической картине и желаниях пациента.















