Авторы
Литературный редактор:
Елизавета Отмахова
Научный редактор:
Сергей Федосов
Шеф-редактор:
Маргарита Тихонова
Вступление
Родители привели в стоматологическую клинику в Екатеринбурге 5-летнюю девочку. За 4 часа до обращения малышка получила травму.
Жалобы
У ребёнка начали шататься верхние передние зубы. Два правых зуба выпали из лунки, прикрепились к десне и при смыкании упирались в нижние зубы, вызывая сильную боль, поэтому девочка не могла закрыть рот. Пациентка также не могла проглатывать слюну, принимать пищу и пить.
Ввиду того, что девочка несколько часов испытывала боль, плакала и даже не могла попить, с ней было трудно установить контакт.
Анамнез
Со слов родителей, дочка упала и ударилась об бетонную лестницу.
Физическое развитие девочки соответствовало возрасту. У детского стоматолога наблюдалась регулярно, проходила профилактические мероприятия. Ранее ей зубы не лечили и не удаляли.
Обследование
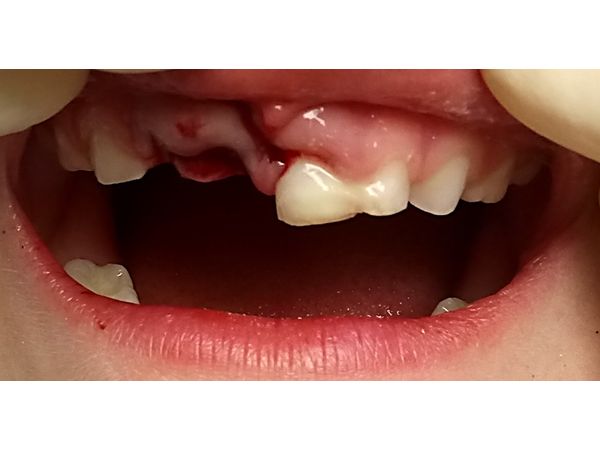
При осмотре лицо симметричное. Кожа нормального цвета. На подбородке остались царапины. Верхняя губа отекла, прощупывание вызывало боль. Рот могла открыть полностью, но закрыть не получалось из-за смыкания правых резцов снизу и сверху. Верхние правые резцы (зубы 51 и 52) располагались вне лунок, были прикреплены к десне. Подвижность III степени (шатались во все стороны). Лунки заполнены сгустками крови. Левый верхний центральный резец (зуб 61) двигался влево-вправо и вперёд-назад. Простукивание резко болезненное.
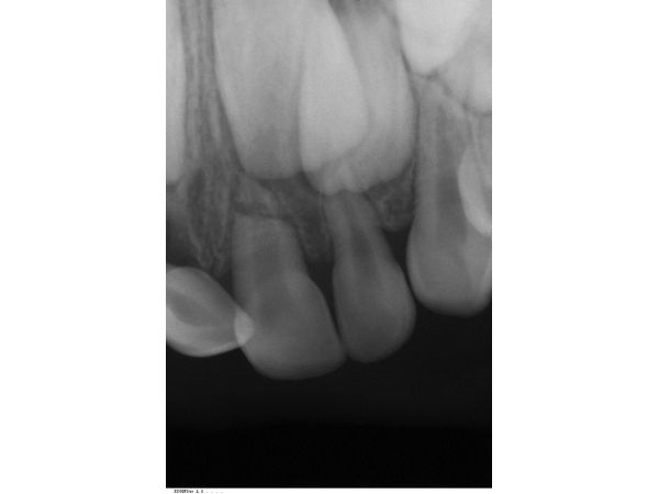
По результатам прицельной рентгенограммы, в лунках правых верхних резцов корней не было. Она также показала перелом в верхушечной трети корня левого центрального резца.
Диагноз
Перелом корня зуба 61, полный вывих (экзартикуляция) зубов 51 и 52.
Лечение
После того как удалось установить контакт с ребёнком, ей сделали анестезию и удалили зубы 51 и 52. На зубы 61 и 62 установили композитную шину. Обработали царапину антисептиком и нанесли кератопластическую мазь.
Родителям рассказали, что девочке нельзя откусывать твёрдую пищу передними зубами в течение месяца и объяснили, как обрабатывать антисептиком слизистую оболочку верхней губы. Она также должна была соблюдать тщательную гигиену полости рта.
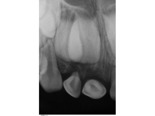
Через четыре недели пациентке удалили шину и провели рентгенологический контроль: воспаления в области корня зуба 61 не было.
От профилактического протезирования у врача-ортодонта родители пациентки отказались.
Спустя год ситуация стабильная: отломившийся кусочек корня 61 зуба разрушился.
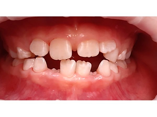
Через два года после травмы, когда девочке исполнилось 7 лет, 61 зуб сменился на постоянный. Постоянный левый центральный резец (зуб 21) и верхние правые резцы (зубы 11 и 12) также прорезались в срок. Они росли в правильном положении, без видимых патологических изменений.
Заключение
Этот клинический случай показывает, что на благоприятный исход после травмы влияют несколько важных факторов:
- своевременное обращение к врачу — чем меньше времени прошло после травмы, тем выше вероятность сохранить зуб;
- близкое прохождение линии перелома — чем ближе линия перелома к верхушке корня зуба, тем выше вероятность его сохранить;
- шинирование при нефизиологической подвижности.
Важный момент при ведении травм, в том числе при переломах, — это длительный период диспансерного наблюдения с периодическими повторениями рентгенологических снимков. Это помогает своевременно выявить и предупредить возможные осложнения.










