Авторы
Литературный редактор:
Диана Медведева
Научный редактор:
Сергей Федосов
Шеф-редактор:
Маргарита Тихонова
Вступление
Пациентка пришла ко мне с настойчивым желанием сохранить свои зубы.
Жалобы
Проблема была серьёзной: два жевательных зуба (моляры) на нижней челюсти шатались, дёсны в этой области были воспалены. Все врачи до меня смотрели и говорили одно: «Удалять и ставить имплантаты». Но я так не умею: если есть хотя бы шанс, буду бороться.
Один из зубов был живой — с сохранённым нервно-сосудистым пучком — такие зубы имеют лучшую сопротивляемость. У второго зуба произошла разгерметизация ранее пломбированных корневых каналов.
Анамнез
Ранее пациентке диагностировали хронический пародонтит в области первых моляров нижней челюсти с обеих сторон. Показалось странным, что поражены именно эти зубы, приём так глубоко.
Анамнез жизни не отягощён. Пациентка вела здоровый образ жизни.
Обследование
При осмотре полости рта: подвижность моляров нижней челюсти, отёк и кровоточивость дёсен в этой области.
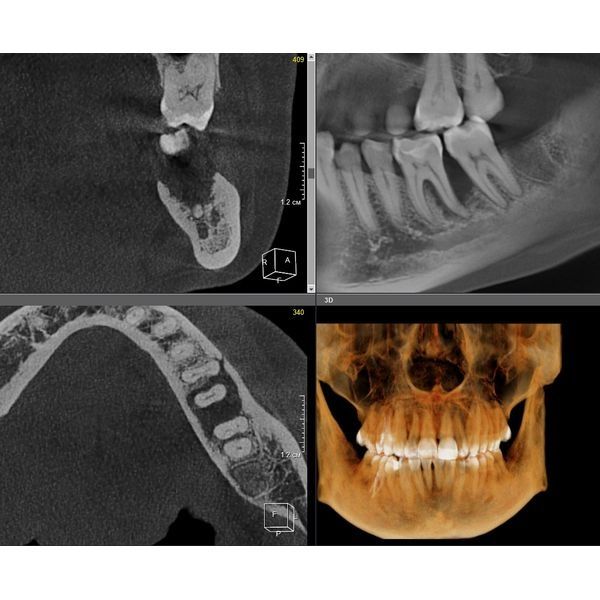
Провели компьютерную томографию — КЛКТ, т. е. 3D-рентген обеих челюстей: выявили неравномерную деструкцию костной ткани в области жевательной группы зубов нижней челюсти до 2/3 длины корня зуба, в области остальных зубов — до 1/3 длины корня.
На пародонтограмме (графическом изображении всех зубов с каждой стороны) визуализировались глубокие пародонтальные карманы в области жевательных зубов нижней челюсти и множественные пародонтальные карманы в области всех зубов верхней челюсти.
Диагноз
К05.31 Хронический генерализованный пародонтит. Абсцессы.
Лечение
Мы начали постепенно помогать, так как объём работы был большой:
- Стоматолог-пародонтолог провёл профессиональную гигиену полости рта и закрытый кюретаж, обучил правильной гигиене.
- Стоматолог-терапевт – пролечил кариес первого моляра справа и восстановил контакт с соседним зубом. На первом моляре слева провёл повторное эндодонтическое лечение: распломбировал корневые каналы, ввёл лекарственный препарат, повторно запломбировал, восстановил коронковую часть зуба на стекловолоконном штифте.
- Стоматолог-ортопед изготовил провизорную (временную) коронку на первый моляр слева (потому нужно двигать зубки).
- Фея-ортодонт улучшил окклюзию зубов (то, как смыкаются зубки верхней и нижней челюсти).
Через две недели пациентка отмечала значительное улучшение самочувствия. Через 1,5 месяца она совсем забыла про абсцессы дёсен в области жевательных зубов нижней челюсти. Через два года от начала ортодонтического лечения, когда зубки не только эстетично, но и функционально расположились в зубном ряду, пациентка стала улыбаться всегда.
В результате комплексного междисциплинарного подхода удалось стабилизировать состояние пародонта и сохранить зубы, ранее рассматривавшиеся как кандидаты на удаление.
После профессиональной гигиены и закрытого кюретажа было достигнуто купирование воспалительного процесса: уменьшились отёк, кровоточивость и глубина пародонтальных карманов. Пациентка была обучена подобранной системе гигиены, что позволило закрепить результат и перевести заболевание в стадию ремиссии.
На терапевтическом этапе устранили локальные причины перегрузки и воспаления. Временная коронка позволила создать условия для коррекции окклюзии.
Ключевым этапом стало ортодонтическое лечение. Оно позволило нормализовать окклюзионные контакты и перераспределить жевательную нагрузку, устранив основной фактор перегрузки в области поражённых моляров.
На момент завершения лечения:
- воспаления пародонта не было;
- ткани стабильны;
- функцию жевания восстановили;
- зубы сохранили и включили в полноценную окклюзию.
Сейчас пациентка находится на этапе поддерживающей терапии и динамического наблюдения.
Заключение
Этот клинический случай показывает, что в стоматологии «невозможно» часто означает «не до конца разобрались в причине».
Несмотря на тяжёлое поражение пародонта и рекомендации к удалению, удалось сохранить зубы. Ключом к этому стало не лечение по шаблону, а поиск первопричины: в данном случае — выраженного окклюзионного дисбаланса и функциональной перегрузки.
Важно понимать: пародонт не разрушается сам по себе. За каждым таким случаем стоит совокупность факторов — воспаление, отсутствие контактов, перегрузка, ошибки в ранее проведённом лечении. И если работать только с одним из них, результат будет временным.
Сила этого случая — в системном подходе. Мы лечили не два зуба, а восстановили функцию всей системы: провели лечение, начиная от гигиены и контроля воспаления до коррекции окклюзии и перераспределения нагрузки. Именно поэтому удалось не просто добиться улучшения, но получить стабильный результат и сохранить зубы, которые считались безнадёжными.
В современной стоматологии решает не объём вмешательства, а точность диагностики и слаженная работа специалистов. Когда в команде есть вера в успех, кажущееся невозможным становится реальностью.






