Авторы
Литературный редактор:
Елизавета Отмахова
Научный редактор:
Сергей Федосов
Шеф-редактор:
Маргарита Тихонова
Вступление
В стоматологическую клинику «Зуб мудрости» в Петрозаводске обратилась 18-летняя девушка с жалобой на неправильный прикус, который, по её мнению, выглядел неэстетично.
Жалобы
Пациентка отметила, что выступающий клык справа иногда повреждал верхнюю губу, а из-за большой скученности некоторые зубы находили друг на друга.
Чтобы скрыть дефект, девушка старалась не улыбаться широко. Ей также было тяжело пережёвывать пищу из-за несмыкания зубов.
Анамнез
Когда пациентка была маленькой, родители не обращались вместе с ней к стоматологу, так как рассчитывали, что со временем зубы сами встанут на место.
У родителей подобных патологий прикуса не было.
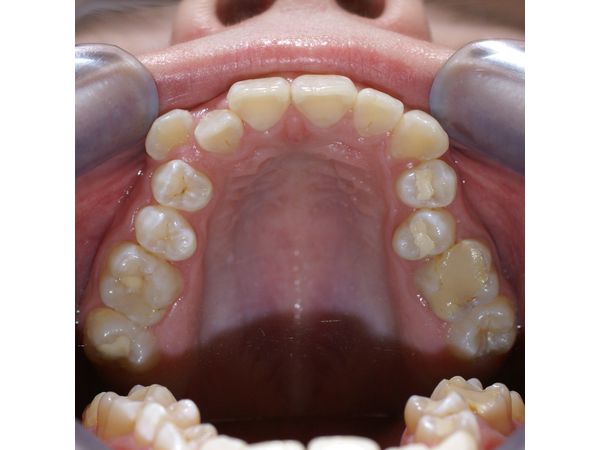
Обследование
После осмотра девушку направили на рентген и записали на диагностический приём.
Пациентке сделали панорамный снимок челюстей (ОПТГ), снимок головы сбоку (ТРГ) и конусно-лучевую компьютерную томографию (КЛКТ) зубочелюстной системы.
На диагностическом приёме девушке составили фотопротокол, сняли оттиски и изготовили модели челюстей с биометрическим измерением.
Диагноз
Лечение
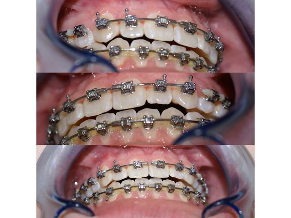
Прикус исправляли с помощью брекет-системы с двумя межкорневыми минивинтами снизу, без расширителей.
Судя по молярам, верхние боковые зубы сместились вперёд, как при II классе прикуса, поэтому было решено расширить зубной ряд и вернуть боковые зубы на место с помощью пружин, которые отталкивали моляры от верхних клыков.
При этом верхние клыки удерживали на месте в передне-заднем направлении и опускали вниз с помощью эластиков, которые крепились к межкорневым минивинтам, установленным за нижними шестыми молярами. Таким образом зубные ряды приближались друг к другу, закрывая прикус.
Также пациентке установили сегментированную дугу, чтобы подтянуть верхние резцы с клыками к нижнему зубному ряду. Дугу при этом зафиксировали, чтобы она не мешала прикусу.
В процессе лечения наблюдение проводили раз в полтора месяца.
На одном из этапов межкорневой минивинт слева потерял стабильность и его извлекли. Заново минивинт не устанавливали, так как достигнутого результата было достаточно.
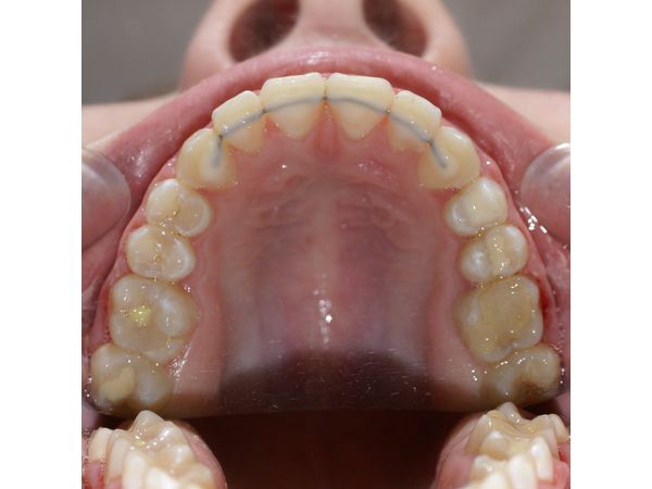
Пациентка была полностью удовлетворена результатом лечения. Ей также установили несъёмные ретейнеры Triple Flex с нёбной и язычной стороны зубов от клыка до клыка и назначили надевать на ночь съёмную капу на верхние зубы в течение полугода после того, как девушке сняли брекет-систему.
Заключение
Нестандартная методика лечения ещё раз доказывает, что в ортодонтии нельзя использовать шаблонный подход. Каждый клинический случай необходимо рассматривать очень внимательно, стараясь не упустить ни одного нюанса, так как каждый из них может стать критическим при достижении желаемого результата.
В этом клиническом случае открытый прикус сопровождался скученностью зубов, при которой просто выровненные зубы открыли бы прикус ещё больше. Также в стандартной ситуации верхний ряд зубов держат на единой дуге, а нижний — на сегментарной, но в этом случае нижний зубной ряд был ближе к норме, поэтому необходимо было разделять только верхний ряд.











