Определение болезни. Причины заболевания
Мелкоклеточный рак лёгкого (Small-cell carcinoma) — это злокачественная опухоль нейроэндокринной природы: она состоит из клеток лёгочной ткани, которые схожи с нервными клетками, но дополнительно участвуют в синтезе гормонов. Основные симптомы заболевания: кашель (чаще с мокротой), одышка, боль в груди, снижение аппетита и веса.

Злокачественное образование в лёгком
Вероятно, название рака «мелкоклеточный» связано со строением опухоли из мелких, плохо очерченных клеток эпителия, которые быстро делятся, что указывает на их высокую агрессивность. Старое название мелкоклеточного рака лёгкого (МРЛ) — «овсяноклеточный».

Различия между клетками разного типа рака
Особенности мелкоклеточного рака лёгкого:
- высокая степень злокачественности и быстрый рост опухоли (среднее время удвоения составляет всего 33 дня) [18], что приводит к раннему развитию метастазов [9];
- крайне редко бывает фаза роста in situ, т. е. опухоль обычно не разрастается по поверхности, а сразу проникает вглубь тканей [14];
- высокая чувствительность к химио- и лучевой терапии [19].
Среди всего населения на долю этой формы рака приходится 20–25 % онкологических заболеваний. МРЛ чаще всего встречается у мужчин, но бывает и у женщин [2].
Факторы риска развития мелкоклеточного рака лёгкого:
- курение (один из главных факторов);
- работа с вредными веществами (мышьяком, бериллием, асбестом, хромом, смолами, никелем и т. д.);
- наследственная предрасположенность, т. е. онкологические заболевания (особенно рак лёгких) у близких кровных родственников;
- радиационное облучение;
- хроническая обструктивная болезнь лёгких (ХОБЛ), туберкулёз [4].
Симптомы мелкоклеточного рака лёгкого
На ранних стадиях в большинстве случаев болезнь не даёт о себе знать. В этот период её в основном выявляют во время диспансеризации (плановом осмотре и обследовании) или скрининга по поводу другого заболевания. Более поздние стадии могут проявляться следующими симптомами:
- Слабостью. Она обычно нарастает по мере прогрессирования заболевания вплоть до того, что человек не может себя обслужить (встать с кровати, умыться и переодеться).
- Значительным снижением веса (на 10–20 кг и более) в течение нескольких месяцев при обычном образе жизни, т. е. без диеты и дополнительной физической нагрузки.
- Одышкой. Её выраженность зависит от объёма поражения лёгкого и от того, насколько сильно сдавлены анатомические структуры средостения (области между лёгкими), в том числе крупные сосуды и трахея [4]. Поначалу она может возникать при быстрой ходьбе или подъёме по лестнице, но постепенно усиливается: приходится чаще останавливаться, чтобы перевести дыхание, а позже и вовсе становится тяжело дышать уже через несколько минут после ходьбы.
- Кашлем. Может быть разным в зависимости от расположения опухоли и её объёма. Например, если опухоль находится в центре лёгкого, кашель чаще бывает сухой. При увеличении объёма поражения может быть с мокрым отделяемым, а также сопровождаться кровохарканьем. Мокрота также может говорить о сочетании рака с бронхолёгочной патологией (хроническим бронхитом или ХОБЛ) [3][15].
- Болью. Она может иметь разную степень интенсивности в зависимости от расположения и размера опухоли. Также боль сильнее, если опухолевый процесс распространяется за пределы лёгкого, прорастает в соседние структуры, а также есть гидроторакс (жидкость в плевральной полости) и ателектаз (спадение лёгкого) [4]. Боли может не быть долгое время или не появиться совсем даже при запущенной стадии заболевания, так как в лёгких нет болевых рецепторов: они расположены в окружающей их оболочке — плевре.
- Кровохарканьем. Оно может проявляться как отхаркиванием мокроты с прожилками крови, так и отхождением кровяных сгустков.
- Другими внешними признаками. При осмотре пациента врач может заметить подкожные венозные сеточки на теле, синюшность, отёк лица и верхнего плечевого пояса из-за сдавления верхней полой вены увеличенными лимфоузлами.
- Изменением тембра голоса (охриплостью). Бывает не у всех пациентов, но иногда это первый симптом, из-за которого обращаются к врачу [3].
Патогенез мелкоклеточного рака лёгкого
Чтобы понять, как развивается рак лёгкого, необходимо знать анатомическое строение этого органа и какие функции он выполняет.
Дыхательная система начинается с трахеи, которая делится на два главных бронха (правый и левый). Далее левый делится на два долевых (верхний и нижний), а правый — на три долевых (верхний, средний и нижний). Долевые бронхи делятся на сегментарные. В конечном итоге происходит образование мелких бронхов (терминальных и альвеолярных бронхиол), которые ведут к альвеолам, где и происходит газообмен.
Строение лёгкого
Рак лёгкого, в том числе мелкоклеточный, развивается под длительным воздействием факторов риска, что нарушает защитные механизмы эпителия дыхательной системы, и канцерогены повреждают ткани респираторного тракта. Повреждённый эпителий отслаивается (это называется десквамация). Из-за длительного негативного влияния канцерогенов нормальный эпителий в конечном итоге перерождается в рак [15].

Процесс превращения нормальной клетки в злокачественную опухоль
Классификация и стадии развития мелкоклеточного рака лёгкого
Для классификации и определения стадий рака лёгкого приняты следующие обозначения:
- Т — распространённость первичной опухоли;
- N — отсутствие или наличие (с указанием размера) метастазов в регионарных лимфатических, т. е. узлах, которые находятся вблизи лёгких;
- М — отсутствие или наличие отдалённых метастазов.
По распространённости опухоли выделяют:
1. Тх — первичная опухоль, которая не определяется при инструментальных методах исследования.
2. Т0 — признаки первичной опухоли отсутствуют.
3. Т1 — опухоль < 3 см, без инвазии (проникновения) в главный бронх:
- Т1а — опухоль < 1 см;
- Т1b — опухоль от 1 до 2 см;
- Т1с — опухоль с максимальным размером от 2 до 3 см.
4. Т2 — опухоль от 3 до 5 см:
- Т2а — опухоль от 3 до 4 см;
- Т2b — опухоль от 4 до 5 см.
Такая опухоль:
- или затрагивает главный бронх либо врастает в висцеральную плевру, которая покрывает поверхность лёгкого;
- или сочетается с ателектазом либо обструктивным пневмонитом (воспалением, вызванным закупоркой бронха), который распространяется до ворот лёгкого.
5. Т3 — опухоль от 5 до 7 см. Такая опухоль:
- или врастает в близлежащие структуры: грудную стенку, диафрагмальный нерв, париетальную плевру, выстилающую внутреннюю поверхность грудной клетки, или париетальный перикард (наружный слой серозной оболочки, окружающей сердце);
- или имеет метастатический очаг (очаги) в той же доле.
6. Т4 — опухоль больше 7 см. Такая опухоль:
- или врастает в сердце, диафрагму, средостение, гортанный нерв, пищевод, трахею, крупные сосуды, позвонок и киль трахеи (перегородку в месте разделения трахеи на бронхи);
- или имеет отдалённый метастаз в другой доле лёгкого на стороне поражения.
По состоянию лимфоузлов выделяют:
- Nх — невозможно оценить регионарные лимфатические узлы.
- N0 — в регионарных лимфатических узлах метастазов нет.
- N1 — метастазы в перибронхиальных лимфатических узлах на стороне поражения и/или в лимфатических узлах ворот лёгкого и внутрилёгочных лимфатических узлах на стороне поражения.
По наличию метастазов выделяют:
- М0 — отдалённых метастазов нет.
- М1b — наличие одного отдалённого метастаза.
- М2 — множественные метастазы [2].
На основании этих данных ставят следующие стадии:
Следует отметить, что наряду с классификацией по TNM существует и морфологическая классификация рака лёгкого, т. е. на основе того, как ткань опухоли выглядит под микроскопом:
- Нейроэндокринные опухоли:
- типичный карциноид (имеет наиболее благоприятный прогноз) [20][21];
- атипичный карциноид;
- крупноклеточный нейроэндокринный рак;
- мелкоклеточный рак [9].
- Немелкоклеточный рак:
- аденокарцинома;
- плоскоклеточный рак;
- крупноклеточный рак.
По распространённости рака также выделяют:
- локализованный процесс (опухоль располагается в одной половине грудной клетки)
- распространённый процесс (есть отдалённые метастазы) [1][3].

Стадии рака лёгких
Осложнения мелкоклеточного рака лёгкого
Осложнения зависят от стадии заболевания и проведённого лечения. В частности на ранних стадиях у пациентов жалобы практически отсутствуют. Со временем, при росте опухоли и появлении метастазов, осложнения начинают проявляться разными симптомами. Они зависят от поражённого органа.
Например, при появлении метастазов в печени могут возникнуть признаки желтухи: окрашивание кожи и видимых слизистых в жёлтый цвет, потемнение мочи, бесцветный кал, увеличение объёма живота из-за асцита (скопления жидкости в брюшной полости) и увеличение печёночных ферментов.
При метастазах в головном мозге выражена неврологическая симптоматика (сильные головные боли, слабость в руках и ногах, асимметрия лица и т. д.).
Наиболее частые осложнения:
1. Дыхательная недостаточность.
Одно из её первых проявлений — одышка в состоянии покоя или при физической нагрузке (ходьбе или подъёме по лестнице). Причиной развития дыхательной недостаточности может быть как сама опухоль, так и осложнения во время лечения.
Опухоль может спровоцировать:
- плевральный выпот (скопление жидкости в пространстве между лёгкими и грудной стенкой);
- закупорку главного бронха;
- опухолевую инфильтрацию лёгких (распространение клеток опухоли в ткань лёгких), сдавление органов средостения;
- выпот в перикарде (скопление жидкости в околосердечной сумке, которая окружает сердце);
- массивный асцит;
- лёгочную эмболию (закупорку артерии лёгкого сгустком крови — тромбом) и т. д.
К одышке может привести также лечение рака, например, развившийся после лучевой терапии лучевой фиброз или химиотерапия.
По степени тяжести дыхательная недостаточность делится на 3 степени:
- Одышка при физической нагрузке.
- Одышка при незначительной физической нагрузке.
- Одышка в покое.
Лечение дыхательной недостаточности будет зависеть от причин, вызвавших одышку [11].
2. Хронический болевой синдром. Это одно из частых осложнений онкологических пациентов.
Причины возникновения боли:
- сама опухоль;
- осложнения опухолевого процесса:
- патологический перелом, т. е. повреждение кости из-за её хрупкости;
- язвы;
- некроз (отмирание ткани) и т. д.
- противоопухолевая терапия:
- послеоперационный период;
- полинейропатия (повреждение периферических нервов, отвечающих за передачу сигналов между спинным и головным мозгом и другими частями тела);
- постлучевые осложнения и т. д.
Интенсивность боли может быть разной степени и оценивается по нескольким шкалам.
Шкала вербальных оценок (ШВО)
- 0 — боли нет;
- 1 — слабая боль;
- 2 — умеренная боль;
- 3 — сильная боль;
- 4 — нестерпимая боль.
Визуально-аналоговая шкала (ВАШ)
Суть этой шкалы заключается в том , что пациенту предлагают отметить на линейке длиной 10 см точку, которая соответствует интенсивности боли. Левая граница линии — «боли нет», правая — «нестерпимая боль».
ВАШ
Основа принципов обезболивающей терапии — ступенчатый подбор анальгетиков:
- 1-я ступень — слабая боль (ВАШ < 40 %). Назначаются нестероидные противовоспалительные средства (НПВС) + адъювантная терапия (лечение после удаления опухоли, например послеоперационная химиотерапия).
- 2-я ступень — умеренная боль (ВАШ 40–70 %). Назначается слабый опиоид (препарат, эффективно снижающий боль) или сильный опиоид в низкой дозе + НПВС + адъювантная терапия.
- 3-я ступень — сильная боль (ВАШ > 70 %) — сильный опиоид + НПВС [10].

ВАШ в процентах
Диагностика мелкоклеточного рака лёгкого
Как и при большинстве злокачественных новообразований, диагностика МРЛ основана на осмотре пациента, инструментальных методах обследования и гистологического заключения (результате анализа образца опухоли).
Врач начинает диагностику со сбора анамнеза (истории жизни и болезни) пациента. Особенно важно узнать, курит ли он. Далее специалист приступает к осмотру и назначает необходимые обследования, чтобы выявить первичный очаг опухоли и наличие или отсутствие метастазов.
Инструментальное обследование
К нему относятся:
- Рентгенография органов грудной клетки. С помощью неё чаще всего выявляются уже запущенные стадии заболевания. Похожее исследование — компьютерная томография (КТ) органов грудной клетки с контрастным усилением (предпочтительно), т. е. с введением специальной жидкости в организм, чтобы уточнить состояние органов, сосудов и самой опухоли.
- УЗИ органов брюшной полости или КТ/магнитно-резонансная томография (МРТ) органов брюшной полости и органов малого таза с контрастным усилением. С помощью них можно определить наличие отдалённых метастазов.
- КТ/МРТ головного мозга с контрастным усилением. Они необходимы, чтобы определить метастазы в головном мозге, а также их расположение, количество и размеры. Частота метастазирования в головной мозг достигает 50 % [3].
- Позитронная эмиссионная томография, совмещённая с рентгеновской компьютерной томографией (ПЭТ-КТ). Она назначается, чтобы выявить опухоль в организме, определить её размеры и расположение, а также наличие или отсутствие метастазов.
- Сцинтиграфия костей. Она выявляет метастазы в костях [3].

Периферический рак правого лёгкого
По инструментальным обследованиям можно лишь заподозрить рак лёгкого. Подтвердить его и определить, что он мелкоклеточный, можно только с помощью гистологического исследования (изучения ткани опухоли под микроскопом) и постановки морфологического диагноза. Для этого используют:
- Бронхоскопическое исследование с проведением EBU (эндобронхиальной ультразвуковой бронхоскопии) и EUS (эндоскопической ультрасонографии), чтобы определить опухоль в лёгких и провести биопсию (забор образца ткани опухоли).
- Тонкоигольную аспирационную биопсию (щадящий метод) регионарных и отдалённых лимфатических узлов, чтобы взять материал для цитологического исследования, т. е. исследования отдельных клеток. Её проводят, если позволяет размер и расположение лимфатического узла.
Бронхоскопия
- Трансторакальную биопсию (забор образца ткани лёгкого через грудную клетку) или лимфатического узла. Такой вид исследования позволяет в 95 % подтвердить диагноз [12].
- Диагностическую торакотомию (операцию с разрезом грудины).
- Торакоцентез, т. е. удаление жидкости из плевральной полости лёгкого, с последующим цитологическим исследованием.

Трансторакальная биопсия лёгкого
Лабораторное обследование
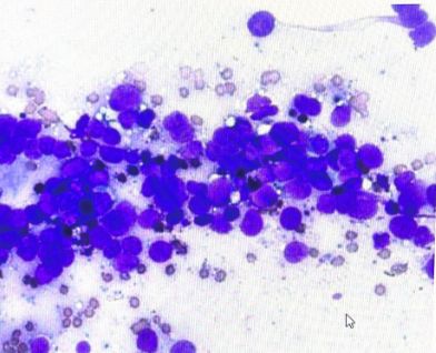
При микроскопическом исследовании мелкоклеточный рак представлен гнёздами, трабекулами (клетки похожи на струны), палисадовидными структурами (клетки выстраиваются в ряд), розетками (скопление клеток вокруг просвета, которое похоже на цветок). Клетки опухоли имеют округлые, овальные или вытянутые ядра и скудную цитоплазму. Их границы размыты.
Отличительной особенностью является:
- некроз ткани [5];
- высокая митотическая активность (быстрое деление клеток) [5];
- краш-феномен — разрушение опухолевых клеток.
При цитологическом исследовании полученного материала отличительной особенностью является расположение клеток по типу «фасеток», т. е. вокруг сосуда, как будто им «тесно» [5].
![Мелкоклеточный рак под микроскопом при цитологическом анализе [5] Мелкоклеточный рак под микроскопом при цитологическом анализе [5]](/media/bolezny/melkokletochnyy-rak-legkogo/melkokletochnyy-rak-pod-mikroskopom-pri-citologicheskom-analize-5_s.jpeg)
Мелкоклеточный рак под микроскопом при цитологическом анализе [5]
Также пациентам показаны общеклинические исследования:
- Общий анализ мочи (ОАМ), общий анализ крови (ОАК), биохимический анализ крови (БАК) и коагулограмма (анализ на свёртываемость). В ОАК можно выявить повышение скорости оседания эритроцитов (СОЭ), снижение уровня гемоглобина и лейкоцитов, а также повышение тромбоцитов. Эти анализы проводят для оценки показателей и учитывают их результаты при назначении лечения.
- Исследование крови на онкомаркеры. Нейронспецифическая энолаза (НСЕ), раковый эмбриональный антиген (РЭА) и CYFRA 21-1 на ранней стадии обычно не информативны, так как могут быть в пределах нормы. Их повышенные показатели указывают на запущенную стадию заболевания. НСЕ обычно назначается при МРЛ для оценки контроля эффективности лечения, а CYFRA 21-1 более информативен при немелкоклеточном раке лёгкого (НМРЛ) [13][15].
Лечение мелкоклеточного рака лёгкого
Современная медицина может предложить пациентам с МРЛ разные виды лечения. В первую очередь тактика зависит от стадии заболевания и общего состояния пациента (оценивается по шкале ECOG), данных гистологического и молекулярно-генетического исследований, которые выявляют нарушения в генах.
Также нельзя забывать о месте проживания пациента, так как практика показывает, что лечение пациентов, проживающих в провинции и мегаполисе, разнится [8].
Шкала ECOG
- ECOG 0 — пациент полностью активен, способен выполнять всё, как и до заболевания (90–100 баллов по шкале Карновского, которую используют для оценки состояния человека);
- ECOG 1 — пациент не способен выполнять тяжёлую, но может выполнять лёгкую или сидячую работу (например, дела по дому или с бумагами, 70–80 баллов по шкале Карновского);
- ECOG 2 — пациент лечится амбулаторно (без госпитализации), способен к самообслуживанию, но не может работать. Более 50 % времени вне сна активно проводит на ногах (50–60 баллов по шкале Карновского);
- ECOG 3 — пациент способен лишь к ограниченному самообслуживанию, проводит в кресле или постели более 50 % времени бодрствования (30–40 баллов по шкале Карновского);
- ECOG 4 — инвалид, совсем не способен обслуживать себя, прикован к креслу или постели (10–20 баллов по шкале Карновского).
- ECOG 5 — смерть.
Рекомендации по лечению
- Основной метод лечения локализованного МРЛ — операция. Она касается опухолей T1N0M0 и T2N0M0 при морфологически подтверждённом N0. Далее рекомендовано 4 курса химиотерапии и профилактическая лучевая терапия (ЛТ) головного мозга.
- При не подтверждённом морфологически N0 (T1–2N0) или T3–4N0M0 и T1–4N1–3M0 и ECOG 0–2 балла показана химиолучевая терапия + профилактическая ЛТ головного мозга.
- При общем состоянии пациента ECOG 3 рекомендовано 4–6 курсов химиотерапии с последующей профилактической ЛТ головного мозга.
- При общем состоянии пациента ECOG 4 проводят симптоматическую терапию.
- Лечение распространённого рака лёгкого без метастазов в головном мозге при общем состоянии пациента ECOG 0–2 или 3–4 балла заключается в паллиативной химиотерапии, т. е. только облегчении симптомов. Если при этом получен полный лечебный ответ, то рекомендовано провести ЛТ на первичную опухоль и регионарные лимфатические узлы.
- При метастазах в головном мозге без неврологической симптоматики рекомендована химиотерапия с последующим облучением головного мозга. Если неврологические симптомы есть — облучение головного мозга с последующей химиотерапией.
Иммунотерапия, её эффективность и возможные осложнения
В лечении солидных опухолей (из плотной тканевой массы, как МРЛ) иммунотерапия считается новым методом, который доказал свою эффективность. Его изучают онкологи всего мира. Учитывая, что за последние 20 лет ни одного препарата для лечения МРЛ не было зарегистрировано, появление иммунотерапии стало новым «витком» в онкологии [7].
Иммунотерапию назначают при распространённой стадии как первую линию лечения МРЛ совместно с химиотерапией.
Было проведено исследование IMpower133, куда были включены 403 пациента, получавших разное лечение. 1-я группа — Этопозид (химиопрепарат) + Карбоплатин (химиопрепарат)+ Атезолизумаб (иммунотерапевтический препарат). 2 группа — Этопозид + Карбоплатин + плацебо. К этой группе относились пациенты с распространённым МРЛ, не получавшие ранее терапию и без метастазов в головной мозг. При промежуточном анализе наблюдалось увеличение как ВБП (выживаемости без прогрессирования), так и ОВ (общей выживаемости). Наблюдения в течение 13,9 месяцев показало, что медиана ОВ в группе Атезолизумаба составила 12,3 месяца, а в группе плацебо — 10,3 месяца. Это значит, половина пациентов жила дольше этих периодов, а половина — меньше.
Также не прогрессировало заболевание через год у 12,6 % пациентов из 1-й группы по сравнению с 5,4 % в группе плацебо. Наиболее частые осложнения комплексного лечения с иммунотерапевтическим препаратом: нейтропения (снижение нейтрофилов в крови) 3–4-й степени — 23 %, анемия (снижение гемоглобина в крови) — 14 % и тромбоцитопения (снижение тромбоцитов в крови) — 10 % [6].
Комбинация Этопозида, Карбоплатина и Атезолизумаба — это новый стандарт первой линии терапии распространённого МРЛ. Такая схема лечения недавно официально разрешена для применения и в России [7].
Основные осложнения лечения МРЛ
Чтобы оценить эффективность лечения и выявить осложнения терапии, следует наблюдаться у врача, чтоб он по мере необходимости вносил коррективы: менял режим получения препаратов, снижал их дозировку, проводил симптоматическую терапию, отменял лечение и т. д. Чаще всего осложнениями при лечении злокачественных новообразований, в частности при проведении химиотерапии, являются:
- тошнота и рвота;
- анемия;
- тромбоцитопения;
- тромбоэмболия.
Тошнота и рвота
Типы тошноты и рвоты:
- острая рвота — развивается в течение 24 часов после химиотерапии, отличается высокой интенсивностью и редко сопровождается тошнотой;
- отсроченная рвота — развивается на 2–5-е сутки после начала химиотерапии и сопровождается тошнотой;
- условно-рефлекторная рвота — условный рефлекс на химиотерапию (т. е. происходит во время химиотерапии);
- рефрактерная рвота — развивается при неэффективности противорвотной терапии на фоне химиотерапии [10].
Критерий эффективности противорвотной терапии — полное отсутствие рвоты и тошноты в течение 24 часов с момента введения противоопухолевых препаратов [10].
Анемия
При анемии концентрация гемоглобина в крови опускается ниже нормы (120 г/л). Осложнение может быть связано как с самой опухолью, так и с лечением. По статистике, анемия у онкологических больных развивается в 40–60 % случаев, а на фоне лечения — в 40–70 % [10]. Она чаще всего сопровождается нарастающей слабостью, недомоганием, быстрой утомляемостью, головокружением, а в некоторых случаях — бледностью кожи. Лечение анемии зависит от степени тяжести и причин её возникновения.
Классификация анемии по стандарту СТСАЕ v.5.0 (оценка тяжести побочных эффектов лечения)
Традиционный метод коррекции сниженного гемоглобина и жизнеугрожающих ситуаций (кровотечения или осложнений при обширных операциях) — заместительные трансфузии эритроцитарной массы. Для лечения анемии на фоне химиотерапии чаще всего используется эритропоэз — стимулирующие препараты. Также при лёгкой степени анемии при снижении уровня железа пациентам показан приём препаратов железа [10].
Тромбоцитопения
Тромбоцитопения — одно из частых осложнений противоопухолевой терапии у онкологических больных.
Основные её причины — химио-, иммуно- и лучевая терапия. Чаще всего тромбоцитопения сопровождается повышенной кровоточивостью, например из дёсен, обширными гематомами при незначительных ушибах и т. д.
Классификация тромбоцитопении по критериям СТСАЕ v.5.0
Основные принципы лечения тромбоцитопении во время противоопухолевой терапии:
- при тяжёлой степени анемии — трансфузии тромбоцитарных сред;
- применение агонистов рецепторов ТПО (тромбопоэтина), т. е. препаратов для увеличения выработки тромбоцитов;
- редукция доз цитостатиков (препаратов, которые замедляют рост клеток), замена препаратов или удлинение интервалов между курсами химиотерапии.
Тромбоэмболические осложнения
Эти осложнения у онкологических пациентов встречаются в 7–10 раз чаще, чем у людей с другими заболеваниями. Тромбоэмболия связана с возникновением тромбов в стенках сосудов, что является жизнеугрожающим состоянием, требующим незамедлительного лечения [10].
Факторы риска тромбоэмболических осложнений:
- операции (открытые и эндоскопические, т. е. через небольшие проколы);
- химио- и лучевая терапия;
- установка катетера;
- возраст пациента старше 40 лет;
- стадии заболевания с поражением лимфатических узлов и отдалёнными метастазами;
- высокие показатели свёртывания (D-димера, фибриногена, фибрин-мономера) и воспаления (С-реактивного белка).
Для лечения тромбоэмболических осложнений применяют антикоагулянтную терапию, уменьшающую свёртываемость крови. К таким препаратам относятся: низкомолекулярные гепарины, Ривароксабан, Апиксабан или Фондапаринукс натрия [10].
Другие осложнения
Также могут возникнуть инфекционные и другие осложнения МРЛ и его лечения:
- Обострение ХОБЛ, хронического бронхита и развитие пневмонии.
- Постлучевые пневмониты (неинфекционное воспаление лёгких), перикардиты (воспаление околосердечной сумки), миелиты (воспаление спинного мозга с его необратимой демиелинизацией, т. е. разрушением защитной оболочки нервов), эзофагиты (воспаление слизистой оболочки пищевода) и повреждения кожи.
- Нейтропения на фоне цитостатической химиотерапии, которая может приводить к развитию бактериальных осложнений (пневмониям, в том числе госпитальным, и сепсису) [15].
- Прогрессирующая потеря зрения из-за выработки антител к потенциалзависимым кальциевым каналам, которые открываются, когда клетка получает сигнал, и впускают кальций [18].
- Паранеопластические синдромы, которые появляются из-за веществ, которые выделяет опухоль. Самые частые из них:
- Синдром гиперсекреции (повышенного выделения) антидиуретического гормона, который отвечает за удержание воды в организме. Из-за этого развивается гипонатриемия (низкий уровень натрия в крови).
- Синдром гиперсекреции предсердного натрийуретического гормона, который заставляет почки выводить натрий и соль из организма. Таким образом также развивается тяжёлая гипонатриемия.
- Эктопический синдром Кушинга, при котором надпочечники производят много кортизола — гормона стресса. Это происходит из-за того, что опухоль выделяет много адренокортикотропного гормона. При этом обычно наблюдается гипокалиемия (низкий уровень калия в крови) и другие электролитные нарушения (дисбаланс соли, натрия, калия и магния) [18][15].
Прогноз. Профилактика
МРЛ отличается от других типов рака тем, что в 80 % случаев его обнаруживают уже с метастазами и только в 20 % — на I–III стадии, когда рак ещё не распространился за пределы лёгких [3].
Из-за высокой степени злокачественности и быстрого роста опухоли прогноз неблагоприятный. Исключение — начальные стадии рака, когда удаётся их выявить и провести радикальное лечение [3].
Смертность на первом году с момента постановки диагноза в среднем составляет 49 % [3]. При лечении МРЛ на ранней стадии (что соответствует Т1–2N0–1) 5-летняя выживаемость — 39 %. Общая 5-летняя выживаемость — от 5 до 10 % [16].
При локализованной форме полная регрессия опухоли происходит у 45–75 % пациентов, а при распространённой — только у 20 % пациентов [13].
Без лечения у МРЛ агрессивное клиническое течение с медианой выживаемости от 2 до 4 месяцев.
Чтобы снизить риск развития МРЛ, следует отказаться от курения [1] и сменить работу, связанную с вдыханием вредных веществ.
Список литературы
Чубенко В. А., Бычков М. Б., Деньгина Н. В., Кузьминов А. Е. и др. Мелкоклеточный рак лёгкого: практические рекомендации, часть 1 // RUSSCO. — 2023. — Т. 13, № 3s2. — C. 66–71.
Брайерли Дж. Д., Господарович М. К., Виттекинд К. TNM классификация злокачественных опухолей. — М.: Логосфера, 2018. — 344 с.
Рак лёгкого / под ред. К. К. Лактионова, В. В. Бредера. — 2-е изд. — М.: Гранат, 2020. — 151 с.
Ассоциация онкологов России. Российское общество клинической онкологии. Злокачественное новообразование бронхов и лёгкого: клинические рекомендации. — М., 2020. — 91 с.
Григорук О. Г., Цой Д. А., Базулина Л. М., Вихлянов И. В. Мелкоклеточный рак лёгкого. Цитологическая диагностика // Злокачественные опухоли. — 2022. — Т. 12, № 1. — С. 36–43.
Меньшиков К. В., Султанбаев А. В., Мусин Ш. И., Меньшикова И. А. и др. Лечение распространённого мелкоклеточного рака лёгкого. Клинический случай и обзор литературы // Современная онкология. — 2021. — Т. 23, № 1. — С. 112–115.
Кузьминов В. Е., Лактионов К. К., Егорова А. В., Бредер В. В. и др. Иммунотерапия мелкоклеточного рака лёгкого // Медицинский совет. — 2019. — № 10. — С. 22–27.
Кокушкин К. А., Костин А. А., Давыдовская М. В., Кобзева Н. В. и др. Клинико-технологический алгоритм лекарственной терапии злокачественных новообразований лёгкого: методические рекомендации. — М.: Перо, 2021. — 140 с.
Костерина Н. Е., Гринберг Л. М. Морфологическая диагностика мелкоклеточного рака лёгкого (обзор литературы) // Патоморфология. — 2011. — Т. 79, № 1. — С. 22–28.
Практические рекомендации. Профилактика и лечение осложнений злокачественных опухолей и противоопухолевой лекарственной терапии // RUSSCO. — 2024. — Т. 14, № 3s2. — 497 с.
Хроническая дыхательная недостаточность / под ред. О. Н. Титовой, Н. А. Кузубовой. — М.: ГЭОТАР-Медиа, 2021. — 200 с.
Дробязгин Е. А., Кудрявцев А. С., Чикинев Ю. В., Жеравин А. А. и др. Трансторакальная пункционная биопсия в диагностике очаговых образований лёгких // Вестник хирургии имени И. И. Грекова. — 2016. — Т. 75, № 5. — С. 32–35.
Бычков М. Б., Дгебуадзе Э. Н., Большакова С. А. Мелкоклеточный рак лёгкого // Практическая онкология. — 2005. — Т. 6, № 4. — С. 213–219.
Костерина Н. Е., Гринберг Л. М., Сенькин Г. С. Вариабельность размеров клеток мелкоклеточного рака лёгкого по данным различных методов морфологического исследования «малых образцов» // Архив патологии. — 2020. — Т. 82, № 4. — С. 27–31.
Григорьевская З. В. Инфекционные осложнения у больных раком лёгкого // Клиницист. — 2011. — № 1. — С. 9–14.
Бахмутский Н. Г., Порханов В. А., Бодня В. Н., Ширяев Р. П. Мелкоклеточный рак лёгкого // Медицинский вестник Юга России. — 2017. — Т. 8, № 4. — С. 6–13.
Королева Е. С., Лосенков И. С., Алифирова В. М., Иванова С. А. и др. Диагностика паранеопластической полинейропатии у больных раком молочной железы и мелкоклеточным раком лёгкого // Журнал неврологии и психиатрии им. С. С. Корсакова. — 2014. — Т. 114, № 4. — С. 93–96.
Костерина Н. Е., Гринберг Л. М. Морфологическая диагностика мелкоклеточного рака лёгкого (обзор литературы) // Уральский медицинский журнал. — 2011. — Т. 79, № 1. — С. 22–28.
Бычков М. Б. Мелкоклеточный рак лёгкого: некоторые итоги и перспективы // III Российская онкологическая конференция. — СПб., 1999.
Трахтенберг А. Х., Колбанов К. И., Франк Г. А., Соколов В. В. и др. Особенности диагностики и лечения карциноидных опухолей лёгких // Атмосфера. Аллергология и пульмонология. — 2009. — № 1. — С. 2–6.
Паршин В. Д., Русаков М. А., Паршин А. В., Зулуфова И. Д. Хирургия карциноидной опухоли лёгких, бронхов и трахеи // Хирургия. Журнал им. Н. И. Пирогова. — 2021. — № 9. — С. 5–11.

