Авторы
Литературный редактор:
Елизавета Отмахова
Научный редактор:
Сергей Федосов
Шеф-редактор:
Маргарита Тихонова
Вступление
В клинику обратился молодой человек 1995 года рождения, у которого сильно болела поясница.
Жалобы
Пронизывающая кинжальная боль не позволяла пациенту сгибать и разгибать спину, поэтому утром он умывался с колен. В положении лёжа болезненный синдром разливался и приобретал пульсирующий тянущий характер. Когда парень долго сидел за компьютером, появлялось ощущение «разрыва» мышц.
Боль усиливалась при сгибании и разгибании поясницы в обе стороны. При этом нагрузка вдоль позвоночника не сопровождалась дискомфортом. Один раз пациент принял нестероидный противовоспалительный препарат (НПВП) и анальгетик, но это не принесло выраженного эффекта.
С утра после сна парню становилось лучше, но в течение дня боль постепенно нарастала, и к вечеру её интенсивность достигала 7–8 баллов из 10 по визуально-аналоговой шкале. Во время приступа пациенту приходилось становиться на колени или наклоняться вперёд с опорой на руки, чтобы притупить боль.
Анамнез
Впервые симптомы появились около 10 лет назад, когда парень стал подрабатывал грузчиком. Он неправильно распределял вес и поднимал тяжести спиной. За последние 2–3 года обострения происходили примерно 3–4 раза в год, особенно весной и осенью. Пациент связывал это с сезонными работами на даче. Последнее обострение ассоциировал со статичной физической нагрузкой после рождения ребёнка.
У парня есть высшее образование. Работает программистом: сидит перед компьютером по 8–10 часов подряд на неудобном кресле.
Заболеваний соединительной ткани не было. Никто из семьи не жаловался на подобные симптомы.
Обследование
При осмотре пациент находился в ясном сознании. Память, внимание и эмоциональная сфера без особенностей. Зрачки правильной округлой формы, фотореакции достаточные, движения глазных яблок в полном объёме, нистагма не было, зрение в норме. Лицо симметрично, язык по средней линии, фонация и глотание не нарушены. Парезов и параличей не было.
Из-за боли в пояснице парень не мог нормально двигаться. Поясничный лордоз сглажен (спина в пояснице ровная). Мышцы в поясничной области напряжены. Прощупывание спины вдоль позвоночника и верхней части ягодицы вызывало боль. Простукивание нижней части поясницы также сопровождалось болезненными ощущениями.
Координация в норме, в позе Ромберга (со сдвинутыми вместе стопами, закрытыми глазами и вытянутыми прямо перед собой руками) устойчив. Чувствительность не нарушена. Рефлексы живые, равномерные и симметричные. Признаков менингита не было. Стул и моча в норме.
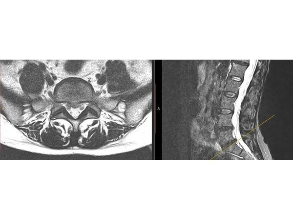
По результатам МРТ:
- две медианно-парамедианные экструзии — смещение дисков L4–L5 и L5–S1 к центру и вбок до 3,5 мм без вовлечения дурального мешка, окружающего спинной мозг;
- артроз фасеточных суставов в этих сегментах I–II степени — начальная стадия разрушения в местах сочленения суставных отростков.
Показатели общего и биохимического анализа крови, а также исследования на ревматоидный фактор в пределах нормы.
Диагноз
Люмбалгия, обусловленная остеохондрозом пояснично-крестцового отдела позвоночника. Умеренно выраженный болевой синдром и статико-динамические нарушения.
Лечение
Пациенту назначили:
- физиотерапию — по 6 сеансов магнито-, лазеро- и интерференцтерапии с ручной настройкой всех параметров, направленных на усиление лимфодренажного эффекта, устранение патологического мышечного спазма и отёка мягких тканей;
- PRP-терапию (инъекции аутологичной плазмы, обогащённой тромбоцитами и усиленной активной формой кислорода (озона) с помощью медицинского прибора Medozons Beauty) — 3 процедуры по 2–2,5 мл каждые 10 дней вводить в четыре точки мышц спины в районе поражения.
Терапия длилась месяц. Парню также дали рекомендации по организации рабочего места.
Уже после первого сеанса физиотерапии боль уменьшилась. Спустя ещё 5 сеансов болевой синдром и скованность движений полностью прошли. Пациент вернулся на работу. Чтобы закрепить эффект, курс физиотерапевтических процедур продлили до 10 сеансов.
Всего ему ввели 6 пробирок аутоплазмы с помощью системы Plasmolifting.
Учитывая наличие застарелого процесса в виде двух грыж, парню удалось полностью восстановиться за достаточно короткий срок. Далее он прошёл реабилитацию у врача лечебной физкультуры и мануального терапевта: ему подобрали упражнения, направленные на восстановление биомеханики движения, устранение неравномерного тонуса мышц и функциональных блоков, мешающих восстановлению правильных паттернов движения.
Сейчас пациент живёт полноценной жизнью без боли и скованности движений.
Заключение
Этот клинический случай описывает ситуацию быстрого устранения стойкого болевого синдрома без лекарственной терапии. В целом медикаментозное лечение и PRP-терапия почти одинаково эффективны. Выбор метода зависит от симптомов и опыта лечащего врача.


