Авторы
Литературный редактор:
Елизавета Отмахова
Научный редактор:
Сергей Федосов
Шеф-редактор:
Маргарита Тихонова
Вступление
В «Елизаветинскую больницу» в Санкт-Петербурге обратилась 74-летняя пациентка, которую беспокоил дискомфорт в верхней части живота и правом подреберье.
Жалобы
Пациентка рассказала, что её мучили периодические боли, чувство тяжести и сдавления. Также она отмечала отрыжку воздухом, горечь во рту и общую слабость. Время от времени её тошнило.
Дискомфорт в правом подреберье усиливался после приёма пищи, при физической нагрузке, наклонах туловища вперёд и длительном стоянии.
Женщине становилось легче, когда она лежала на левом боку, или после приёма спазмолитиков.
Анамнез
Первые симптомы в виде тяжести и дискомфорта в животе появились за несколько дней до обращения. В последние 2 недели ситуация ухудшилась: появилась тянущая боль, метеоризм и ощущение давления в верхней части живота, особенно после приёма пищи, также снизился аппетит.
Постепенно болевой синдром нарастал и начал усиливаться при наклонах вперёд, чуть позже появилась умеренная тошнота. Тогда женщина решила обратиться за медицинской помощью.
Пациентка родилась и проживает в благоприятных бытовых условиях. Не курит, алкогольными напитками не злоупотребляет. Болезней печени и инфекционных заболеваний (гепатита, туберкулёза, паразитоза) не было. Ранее целенаправленного обследования органов брюшной полости не делала.
Среди хронических заболеваний отмечала артериальную гипертензию, ГЭРБ и хронический эзофагит. В прошлом ей удалили желчный пузырь по поводу желчнокаменной болезни, а также ампутировали матку из-за миомы.
Обследование
На приёме женщина находилась в ясном сознании. Телосложение пропорциональное. Кожа чистая, нормального цвета. Температура тела — 36,7 ℃, артериальное давление — 125/80 мм рт. ст., пульс — 78 ударов в минуту.
Живот обычной формы, участвует в дыхании, мягкий. Прощупывание верхней его части и области правого подреберья сопровождалось умеренной болезненностью. Симптомов раздражения брюшины не было. Сокращение желудочно-кишечного тракта оставалось активным.
Печень при простукивании безболезненна, но увеличена: выступала из-под края рёберной дуги на 2–3 см. Консистенция — умеренно плотная.
Результаты клинического и биохимического анализа крови, а также анализа мочи не выявили признаков патологии. Уровень показателей печёночных проб (билирубин, АЛТ и АСТ) также был в пределах нормы.
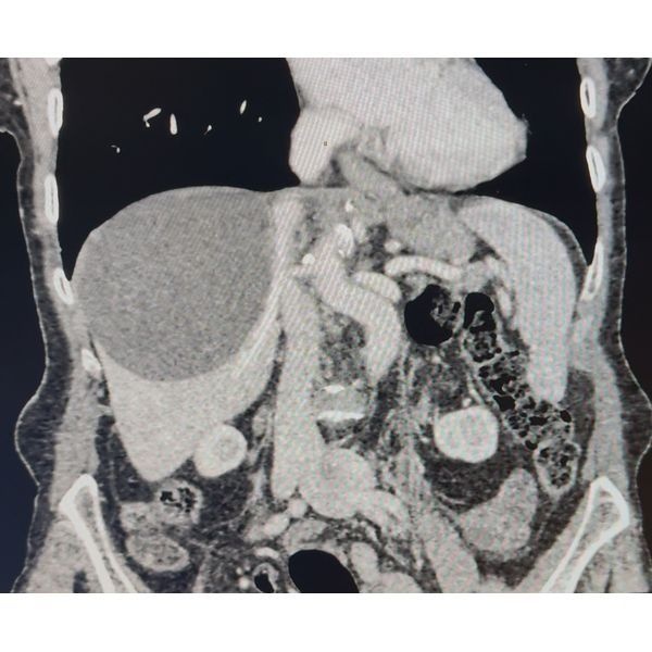
Однако УЗИ органов брюшной полости выявило гигантскую кисту неправильной формы диаметром 98 мм в правой доле печени. Внутри кисты определялось неоднородное подвижное содержимое без кровотока. При этом внутрипечёночные желчные протоки оставались нерасширенными, свободной жидкости в брюшной полости не было.
КТ подтвердила наличие гигантской кисты печени.
После этого женщине провели серологические исследования крови на антитела к основным паразитарным инфекциям, что позволило исключить эхинококковую природу кисты.
Диагноз
Гигантская киста печени.
Лечение
Так как гигантская киста печени может вызвать серьёзные осложнения (например, разрыв, внутрибрюшное кровотечение, инфицирование и сдавление окружающих структур), пациентке назначили операцию, однако перед этим она должна была пройти консервативную терапию.
Как только симптомы уменьшились и её состояние стабилизировалось, женщине провели лапароскопическую фенестрацию: через отверстие в кисте удалили содержимое и иссекли её капсулу.
Операция, длившаяся час, прошла без технических сложностей. Показатели общего анализов крови пациентки оставались стабильными, признаков инфекционных осложнений не было.
Уже на следующий день после операции женщина могла сама питаться и вставать с постели.
УЗИ, проведённое в условиях стационара, показало отсутствие кисты, скопления жидкости или признаков инфицирования. Так как боль больше не появлялась и других жалоб у пациентки не было, спустя неделю её выписали для дальнейшего наблюдения по месту жительства.
Через полгода после операции женщина пришла на плановый амбулаторный осмотр. Она чувствовала себя хорошо. Результаты УЗИ и лабораторных анализов были в пределах нормы.
Заключение
Этот клинический случай показывает, как важно провести комплексную диагностику, чтобы выбрать правильный метод лечения. Например, при обнаружении кисты печени нужно удостовериться, что она вызвана не паразитарным заболеванием (эхинококкозом).
Применение лапароскопической фенестрации в свою очередь позволило добиться благоприятного результата, несмотря на редкость патологии: удалить кисту получилось без значительного повреждения тканей, а пациентка смогла быстрее восстановиться.




