Определение болезни. Причины заболевания
Киста кармана Ратке (Rathke's cleft cyst) — это доброкачественное образование в проекции седловидного углубления в основании черепа, известного как турецкое седло.
Карман назван в честь немецкого эмбриолога Мартина Ратке, впервые описавшего эту структуру.
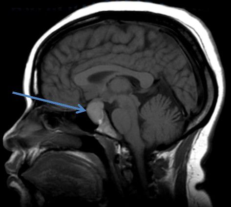
![Киста кармана Ратке [24] Киста кармана Ратке [24]](/media/bolezny/kista-karmana-ratke/kista-karmana-ratke-24_s_vH2sLue.jpeg)
Киста кармана Ратке [24]
В большинстве случаев такие кисты никак не проявляются и не требуют лечения. Однако в некоторых ситуациях, обычно при увеличении размеров (как правило, более 3 мм), они могут вызвать различные симптомы и осложнения. В таких случаях рекомендуется обратиться к нейрохирургу для дообследования, а при необходимости и для специального лечения.
Распространённость
Кисты кармана Ратке встречаются у 13–22 % людей. Но, поскольку чаще всего заболевание протекает без симптомов, к нейрохирургу такие пациенты приходят редко. Среди всех внутричерепных образований, с которыми люди обращаются к врачу, доля этой кисты составляет меньше 1 % [1][2]. С возрастом её размеры обычно увеличиваются, поэтому чаще она диагностируется у взрослых, чем у детей.
Наиболее часто киста становится случайной находкой при рутинном обследовании с применением магнитно-резонансной (МРТ) или компьютерной томографии (КТ) головного мозга. Поводом для диагностики могут стать самые разнообразные жалобы, порой даже не связанные с кистой [3].
Причины кисты кармана Ратке
Карман Ратке — это часть глоточной мембраны, которая формируется на 4-й неделе эмбрионального развития и даёт начало передней доле гипофиза. Остаток кармана в процессе эмбриогенеза формирует полость, так называемую расщелину Ратке, стенки которой склеиваются, а затем исчезают. Считается, что незаращение этого кармана с последующим расширением и образованием полости как раз и есть причина формирования кисты.
Из-за чего карман Ратке не исчезает, до конца не выяснено. Считается, что на это могут влиять генетические факторы, а также различные внешние воздействия на развивающийся эмбрион. К ним относятся инфекционные заболевания беременной женщины (такие как краснуха, цитомегаловирус, токсоплазмоз), приём некоторых лекарств (антибиотиков, противоэпилептических и гормональных препаратов) и проведение лучевой терапии.
Симптомы кисты кармана Ратке
Как было сказано выше, человек зачастую не знает о наличии у него кисты, поскольку в большинстве случаев это состояние никак не проявляется, не вызывает жалоб и обнаруживается случайно при рутинной КТ или МРТ. Тем не менее, в некоторых случаях, особенно при увеличении размеров кисты, могут возникать различные симптомы.
К проявлениям кисты кармана Ратке относятся:
- Головная боль. Нередко является первой и основной жалобой и может быть связана с давлением увеличившейся кисты на окружающие структуры мозга. Головные боли могут быть как хроническими, постепенно нарастающими с увеличением кисты, так и острыми, внезапными, связанными с её разрывом. В первом случае боли неспецифичны, т. е. похожи на боль при многих других заболеваниях. При разрыве же боль очень интенсивная и быстро развивается [4].
- Нарушение зрения. Из-за близости к зрительным структурам (зрительным нервам, их перекрёсту, так называемой хиазме) большие кисты могут сдавить их, что сопровождается снижением остроты зрения, двоением в глазах и потерей периферического зрения [5].
- Гормональные изменения. Киста находится в непосредственной близости от гипофиза и может влиять на его работу, вызывая различные гормональные нарушения, например гипопитуитаризм — состояние, при котором гипофиз вырабатывает недостаточно гормонов [6][7][8]. В зависимости от вида гормона, уровень которого снижен, могут беспокоить различные симптомы: нарушение менструального цикла у женщин, проблемы с грудным вскармливанием, алопеция у мужчин, уменьшение либидо, снижение мышечной массы, потеря веса, анемия, уменьшение устойчивости к холоду, запоры. Нарушение работы гипофиза встречается у 69 % больных с кистой кармана Ратке, у которых есть симптомы [22].
- Эмоциональные и психические нарушения. В некоторых случаях возникают беспричинные перепады настроения, депрессия или изменения в поведении (чрезмерная агрессия, неадекватное сексуальное поведение и другие действия). Эти симптомы могут быть связаны как с давлением кисты на окружающие части головного мозга, так и с гормональными изменениями [9].
- Утомляемость, слабость и общее недомогание. Эти симптомы также могут быть связаны с гормональными нарушениями.
Все вышеперечисленные симптомы не специфичны, т. е. их наличие не всегда указывает именно на кисту кармана Ратке, так как они могут сопровождать и другие заболевания. Тем не менее при появлении подобных симптомов рекомендуется обратиться к врачу для проведения тщательного обследования. В первую очередь следует посетить терапевта для исключения более распространённых заболеваний, которые сопровождаются схожими симптомами.
Патогенез кисты кармана Ратке
Карман Ратке — это временная структура, из которой развивается гипофиз, важная железа эндокринной системы. В норме, после того как гипофиз сформировался, полость кармана Ратке подвергается обратному развитию и исчезает.

Гипофиз
Но при некоторых условиях этот процесс может нарушиться, причём на любом этапе развития кармана Ратке. В результате остаточная ткань превращается в кисту, заполненную смесью муцина и серозной жидкости, что определяет её консистенцию и внешний вид на изображениях, полученных при томографии [1][3].
Стенка кисты обычно образована однослойной эпителиальной выстилкой, представленной столбчатыми и бокаловидными клетками, нередко реснитчатыми, которые и вырабатывают жидкость, заполняющую кисту. Довольно-таки часто в её полости содержится плотная ткань белесоватого цвета из отшелушенных остатков эпителиальных клеток [23].
Иногда киста может быть полностью бессимптомной и не увеличиваться на протяжении многих лет. В других случаях она может медленно, постепенно расти, приводя в итоге к клиническим проявлениям. Стремительное увеличение кисты встречается крайне редко, но если такое произойдёт, то может потребоваться неотложная операция [10].
Также киста кармана Ратке может увеличиваться при повторных травмах головы и воспалении слизистой клиновидной пазухи (сфеноидите) [11].

Киста кармана Ратке и её влияние на окружающие структуры
Классификация и стадии развития кисты кармана Ратке
Классификация основана на размере кисты, её содержимом и влиянии на окружающие ткани.
В зависимости от размера выделяют:
- Малые кисты — меньше 1 см в диаметре. Они часто не вызывают симптомов, обнаруживаются случайно при проведении МРТ или КТ по другим поводам. Редко приводят к осложнениям и обычно не требуют лечения — только регулярного наблюдения [12].
- Крупные кисты — больше 1 см в диаметре. Могут давить на окружающие структуры, включая гипофиз и зрительный перекрёст. Как правило, проявляются головными болями, зрительными и гормональными нарушениями. Самая большая киста кармана Ратке, описанная в литературе, достигала 5 см [13].
По содержимому кисты бывают:
- Серозными — содержат прозрачную жидкость. Эти кисты обычно более стабильны и реже увеличиваются.
- Муцинозными — с более густой, слизистой жидкостью. Считается, что они чаще растут и сопровождаются симптомами, связанными с давлением на окружающие ткани.
По влиянию на окружающие ткани:
- Неинвазивные кисты — не оказывают давления на соседние структуры и обычно бессимптомны. Требуют только наблюдения и регулярных обследований.
- Инвазивные кисты — могут сдавливать близлежащие структуры головного мозга, вызывая различные симптомы. В таких случаях может понадобиться специальное лечение, включая операцию.
Стадии развития заболевания:
- Начальная стадия — киста малого размера и не вызывает симптомов. Обычно диагностируется случайно.
- Прогрессирующая — киста увеличивается, появляются первые симптомы, такие как головная боль или гормональные нарушения.
- Симптоматическая — киста достигает размеров, при которых начинает сильнее сдавливать окружающие структуры, приводя к более значимым клиническим проявлениям и требуя специального лечения.
Классификация и понимание стадий развития кисты кармана Ратке важны для оценки рисков, определения стратегии лечения и информирования пациентов о возможных исходах заболевания.
Осложнения кисты кармана Ратке
Осложнения зависят от размера и расположения кисты, а также от её влияния на окружающие ткани и структуры головного мозга. Несмотря на то что многие кисты остаются бессимптомными, при увеличении кисты или её разрыве могут возникать серьёзные проблемы [14].
К основным осложнениям кисты кармана Ратке относят:
- Сдавление зрительных структур. Большие кисты могут оказывать давление на зрительный перекрёст, что приводит к нарушению зрения. В крайне запущенных случаях это может проявляться полной утратой зрения — слепотой [5].
- Гормональные нарушения. Киста может нарушать работу гипофиза, приводя, например, к недостаточной выработке гормонов. Среди таких нарушений можно выделить несахарный диабет, дефицит соматотропного гормона (гормона роста) и адренокортикотропного гормона (АКТГ). В некоторых случаях кисты кармана Ратке могут приводить к повышению уровня пролактина, что может нарушать менструальный цикл [6][7][8].
- Гидроцефалия. В редких случаях киста может блокировать циркуляцию спинномозговой жидкости, что приводит к нарушению её оттока из желудочков мозга. Гидроцефалия сопровождается повышением внутричерепного давления, сильными головными болями, а также другими неврологическими симптомами. Быстрое прогрессирование гидроцефалии опасно для жизни и требует неотложной операции по отведению ликвора из желудочков головного мозга.
- Разрыв кисты. Очень редко она может разорваться, что приводит к выходу её содержимого в субарахноидальное пространство, окружающее головной мозг. Это может стать причиной воспаления мозговых оболочек, так называемого асептического (неинфекционного) менингита, что проявляется интенсивными приступообразными головными болями, тошнотой, многократной рвотой, повышением температуры тела, избыточной чувствительностью к яркому свету и громким звукам [15][16].

Субарахноидальное пространство
- Апоплексия гипофиза. Это острое состояние, к которому может привести внезапное кровоизлияние либо инфаркт гипофиза из-за нарушения кровоснабжения. Как правило, проявляется потерей сознания, головной болью, зрительными и гормональными нарушениями [17].
Таким образом, несмотря на то что киста кармана Ратке — это доброкачественное и неагрессивное образование, важно осознавать риск возможных осложнений и проходить регулярные обследования, чтобы своевременно их выявить. После обнаружения кисты нужно ежегодно посещать нейрохирурга и постепенно увеличивать интервал между осмотрами по решению врача. Также регулярное обследование включает МРТ головного мозга, оценку зрения с исследованием полей и лабораторные анализы для контроля гормонального статуса [13].
Диагностика кисты кармана Ратке
Диагностика кисты требует комплексного подхода, включающего несколько этапов обследований. Это связано с тем, что симптомы могут быть схожи с проявлениями других заболеваний головного мозга. Поэтому, чтобы подобрать правильную стратегию лечения, крайне важна точная диагностика.
Она включает такие методы, как:
- Магнитно-резонансная томография (МРТ). Это основной способ диагностики кист кармана Ратке. МРТ позволяет получить изображения структур головного мозга в высоком разрешении и хорошо рассмотреть кисту, определить её размеры, форму, наличие содержимого и влияние на окружающие ткани. Этот метод наиболее информативен, а также безопасен, так как при получении изображений не используется рентгеновское излучение [18]. Кисты кармана Ратке располагаются обычно по средней линии, их полость однокамерная, без перемычек, с однородным МР-сигналом. В 65–75 % при МРТ внутри кист обнаруживаются узелки с характерными сигналами [23].
- Компьютерная томография (КТ). Хотя МРТ и более предпочтительный метод лучевой диагностики, иногда может потребоваться КТ. Например, её проводят, если есть кальцинаты или нужно отличить кисту от артериальной аневризмы. КТ также помогает выявить другие изменения в костях основания черепа, находящихся в непосредственной близости с кистой. При больших размерах она может сдавливать и разрушать эти кости, таким образом меняя местную анатомию, что может повлиять на ход операции.
- Офтальмологическое обследование. При нарушении зрения рекомендуется посетить офтальмолога — пройти осмотр глазного дна и проверить остроту с исследованием полей зрения [5].
- Гормональные тесты. Поскольку киста находится в непосредственной близости с гипофизом, давление, оказываемое на него, может нарушить его работу. Поэтому нужно сдать анализы крови на гормоны, вырабатываемые передней долей гипофиза (аденогипофизом): гормон роста (соматотропин, СТГ), тиреотропный гормон (ТТГ), адренокортикотропный гормон (АКТГ), фолликулостимулирующий гормон (ФСГ), лютеинизирующий гормон (ЛГ) и пролактин. Изменение уровней этих гормонов поможет выявить нарушения в работе гипофиза и определить необходимость в соответствующем лечении.
- Люмбальная пункция. В редких случаях при подозрении на разрыв кисты и проникновении её содержимого в субарахноидальное пространство может потребоваться проведение пункции. Микроскопическое исследование ликвора позволяет исследовать состав спинномозговой жидкости и исключить менингит [16].
Люмбальная пункция
Ранняя диагностика очень важна, так как позволяет своевременно начать лечение и предотвратить развитие возможных осложнений. Особенно это касается случаев, когда киста оказывает давление на важные структуры мозга или нарушает выработку гормонов гипофиза.
Лечение кисты кармана Ратке
По результатам обследований врач может назначить специальное лечение, а при его неэффективности предложить операцию. Решение о ней принимается индивидуально с учётом общего состояния здоровья пациента и связанных с операцией рисков [19].
Основные стратегии при кисте кармана Ратке:
- Наблюдение. Если киста размером меньше 1 см и не вызывает симптомов, то показано наблюдение с регулярным проведением МРТ. Этот подход позволяет контролировать рост кисты и своевременно определить необходимость более активного вмешательства [12][13][19].
- Медикаментозное лечение. Могут применяться препараты, которые облегчают головную боль, корректируют гормональные нарушения и снижают внутричерепное давление [4][8].
- Хирургическое вмешательство. Операция может быть рекомендована при больших кистах, вызывающих симптомы или оказывающих давление на окружающие структуры, включая гипофиз и зрительный перекрёст. Сейчас стандартом хирургического лечения является трансназальное транссфеноидальное эндоскопическое удаление опухоли — операция через полость носа и клиновидную пазуху с использованием эндоскопа [20]. Этот метод менее травматичный по сравнению с традиционной открытой операцией, которая проводится с разрезом на волосистой части кожи головы и трепанацией черепа. В обоих случаях операция выполняется под общей анестезией.

Эндоскоп
- Стереотаксическая радиохирургия. Проводится при повышенном риске осложнений, связанных с наркозом либо с самим хирургическим вмешательством. Этот метод подразумевает сфокусированное облучение кисты, что приводит к уменьшению её размеров и, как следствие, устранению давления на гипофиз и зрительный перекрёст [21].
- Психологическая поддержка. Это важная часть лечения, особенно в случаях, когда киста или связанные с ней симптомы снижают качество жизни (например, человек страдает от хронических головных болей, гормональных и эмоциональных нарушений, что может привести к проблемам на работе и в личной жизни). Консультации с психологом или психотерапевтом помогают справиться с эмоциями и понять своё состояние, чтобы грамотно подойти к принятию решений, касающихся лечения. Например, если предстоит операция, у части пациентов это может вызвать резко негативные эмоции, а психотерапия помогает с ними справиться.
Выбор метода лечения зависит от множества факторов, включая размеры кисты и её воздействие на окружающие ткани, общее состояние здоровья, наличие сопутствующих заболеваний и индивидуальные предпочтения пациента. Обычно врач обсуждает с ним все доступные варианты лечения и подбирает наиболее подходящий план действий.
Прогноз. Профилактика
Прогноз в большинстве случаев благоприятный, особенно когда заболевание выявляется на ранней стадии и проводится регулярное наблюдение, а при необходимости — лечение [13]. Точный прогноз зависит от ряда факторов, включая размер кисты, её влияние на окружающие структуры и работу мозга, а также наличие симптомов.
Когда киста мала и не вызывает симптомов, прогноз обычно очень хороший. Такие кисты часто не требуют активного лечения, нужно только контролировать их состояние [19].
Если киста вызывает симптомы из-за своего размера или расположения, прогноз зависит от успешности терапии. Хирургическое вмешательство и другие методы лечения могут устранить жалобы, беспокоящие пациента, и вернуть прежнее качество жизни [12].
В редких случаях, когда киста приводит к осложнениям, таким как гидроцефалия или гормональные нарушения, прогноз зависит от своевременности и эффективности лечения этих состояний. Такие осложнения требуют более активной и иногда длительной терапии [13][20].
Специфической профилактики кисты кармана Ратке не существует, поскольку это врождённая аномалия. Но можно выделить общие меры, направленные на предупреждение и раннее выявление заболеваний головного мозга:
- Регулярные медицинские обследования. Особенно необходимы людям с симптомами, указывающими на возможные проблемы с мозгом, зрительным аппаратом (снижение остроты зрения, дефекты полей зрения, двоение в глазах) или гипофизом (нарушения менструального цикла, повышенная утомляемость, снижение мышечной массы тела, потеря веса и т. д.).
- Здоровый образ жизни. Включает сбалансированное питание и регулярные физические упражнения, что обеспечивает общее здоровье мозга и может косвенно влиять на состояние кисты, снижая риск её роста.
- Профилактика травматизма, особенно повреждения головы.
- Отказ от использования запрещённых во время беременности лекарств и предупреждение инфекционных заболеваний.
В заключение стоит сказать, что пациентам с кистой кармана Ратке следует внимательно относиться к своему здоровью и придерживаться рекомендаций врача относительно регулярного наблюдения и лечения. Такой подход поможет минимизировать риски осложнений и обеспечить наилучший прогноз.
Список литературы
Montaser A. S., Catalino M. P., Laws E. R. Professor Rathke’s gift to neurosurgery: the cyst, its diagnosis, surgical management, and outcomes // Pituitary. — 2021. — № 5. — Р. 787–796. ссылка
Zada G. Rathke cleft cysts: a review of clinical and surgical management // Neurosurg Focus. — 2011. — № 1. ссылка
Trifanescu R., Ansorge O., Wass J. A. H. et al. Rathke’s cleft cysts // Clin Endocrinol (Oxf). — 2012. — № 2. — Р. 151–160. ссылка
Nishioka H., Haraoka J., Izawa H., Ikeda Y. Headaches associated with Rathke’s cleft cyst // Headache. — 2006. — № 10. — Р. 1580–1586. ссылка
Jeon H., Suh H. B., Chung W., Choi H.-Y. Ophthalmic Manifestations of Rathke’s Cleft Cyst and Its Association to Radiological Characteristics // Curr Eye Res. — 2021. — № 8. — Р. 1227–1231. ссылка
Erşahin Y. Rathke’s cleft cyst presenting with diabetes insipidus // Clin Neurol Neurosurg. — 2001. — № 4. — Р. 262–263. ссылка
Hirayama Y., Kudo T., Kasai N. Acute Adrenal Insufficiency Associated with Rathke’s Cleft Cyst // Intern Med. — 2016. — № 6. — Р. 639–642. ссылка
Воротникова С. Ю., Дзеранова Л. К., Пигарова Е. А. и др. Эндокринные нарушения при наличии кисты кармана Ратке: представление клинического случая // Ожирение и метаболизм. — 2016. — № 4. — С. 45–48.
Lillig M., Reyes S. H. Rathke’s Cleft Cyst and Psychiatric Symptoms in an Adolescent // Prim care companion CNS Disord. — 2023. — № 5. ссылка
Barkhoudarian G., Palejwala S. K., Ansari S. et al. Rathke’ s cleft cysts: a 6-year experience of surgery vs. observation with comparative volumetric analysis // Pituitary. — 2019. — № 4. — Р. 362–371. ссылка
Nader R., Frenkiel S., Frcs C. et al. Rathke’ s cleft cyst presenting as sphenoid sinusitis // Otolaryngol Head Neck Surg. — 2001. — № 2. — Р. 174–179. ссылка
Truong L. U. F., Bazin C., Gomis P. et al. Surgery versus conservative care for Rathke’s cleft cyst // Neurochirurgie. — 2021. — № 2. — Р. 104–111. ссылка
Petersson M., Berinder K., Eden Engström B. et al. Natural history and surgical outcome of Rathke’s cleft cysts — а study from the Swedish Pituitary Registry // Clin Endocrinol (Oxf). — 2022. — № 1. — Р. 54–61. ссылка
Yang C. X., Feng M., Liu X. H. et al. Symptomatic Rathke’s Cleft Cyst with Rapid Enlargement Masquerading as Rathke’s Cleft Cyst Apoplexy // Chin Med J (Engl). — 2016. — № 16. — Р. 2009–2010. ссылка
Mrelashvili A., Braksick S. A., Murphy L. L. et al. Chemical meningitis: a rare presentation of Rathke’s cleft cyst // J Clin Neurosci Off J Neurosurg Soc Australas. — 2014. — № 4. — Р. 692–694. ссылка
Koutourousiou M., Seretis A. Aseptic meningitis after transsphenoidal management of Rathke’s cleft cyst: case report and review of the literature // Neurol Sci. — 2011. — № 2. — Р. 323–326. ссылка
Shatri J. Rathke’s Cleft Cyst or Pituitary Apoplexy : a case report and literature review // Open Access Maced J Med Sci. — 2018. — № 3. — Р. 544–547. ссылка
Saeki N., Sunami K., Sugaya Y., Yamaura A. MRI findings and clinical manifestations in Rathke’s cleft cyst // Acta Neurochir (Wien). — 1999. — № 10. — Р. 1055–1061. ссылка
Chong G. Y. C., Tan K. C. B., Lau E. Y. F. et al. A study on clinical outcomes of Rathke’s cleft cyst in patients managed conservatively // Pituitary. — 2022. — № 2. — Р. 258–266. ссылка
Mendelson Z. S., Husain Q., Kanumuri V. V. et al. Endoscopic transsphenoidal surgery of Rathke’s cleft cyst // J Clin Neurosci. — 2015. — № 1. — Р. 149–154. ссылка
Manzoni A., Leocata F., Picano M. et al. Stereotactic Radiosurgery with Gamma Knife in Recurrent Rathke’s Cleft Cyst: Case Report and Literature Analysis // Neurol India. — 2022. — № 3. — Р. 1260–1262. ссылка
D'Souza D., Campos A., Yap J. et al. Rathke cleft cyst // Radiopaedia. — 2024.
Byun W. M., Kim O. L., Kim D. MR imaging findings of Rathke's cleft cysts: significance of intracystic nodules // AJNR Am J Neuroradiol. — 2000. — № 3. — Р. 485–488. ссылка
Suprasellar Mass — Rathke Cleft Cyst // Radiologypics. — 2014.

