Авторы
Литературный редактор:
Диана Медведева
Шеф-редактор:
Маргарита Тихонова
Вступление
14 мая 2025 года в Елизаветинскую больницу г. Санкт-Петербурга обратилась 78-летняя пациентка с жалобами на болевые ощущения в правом подреберье.
Жалобы
Женщину беспокоила тупая, ноющая боль средней интенсивности. Также она отмечала желтизну кожи и белков глаз (иктеричность склер). Состояние сопровождалось общей слабостью. У пациентки были эпизоды тёмной мочи и светлого кала, а также периодическое повышение температуры тела до 37,5 ℃.
Боль усиливалась после еды и частично уменьшалась при приёме спазмолитиков.
Анамнез
Впервые боли в правом подреберье появились около двух месяцев назад, но женщина не обращала на них внимания и думала, что они пройдут, если соблюдать диету. Однако болезненные ощущения часто возникали снова. Три недели назад пациентка заметила желтизну кожи и белков глаз, а также изменение цвета мочи и кала.
У женщины ранее диагностированы:
- Ишемическая болезнь сердца (ИБС), связанная с гипертонической болезнью.
- Хроническая сердечная недостаточность (ХСН) с сохранённой фракцией выброса (сФВ) 2А стадии, 2-го функционального класса, т. е. сердце не может эффективно перекачивать кровь, что влияет на активность.
- Постоянная фибрилляция предсердий (мерцательная аритмия), т. е. нарушение сердечного ритма.
У матери пациентки была желчнокаменная болезнь (ЖКБ), из-за которой ей удалили желчный пузырь.
Обследование
При осмотре у женщины был влажный язык, желтушная кожа и белки глаз. Живот симметричный, мягкий, не вздут, участвует в дыхании, умеренно болезненный в правом подреберье. Печень не увеличена, есть печеночная тупость, т. е. глухой звук, который в норме бывает при простукивании печени. Желчный пузырь не прощупывается. Симптомов воспаления брюшины и шума плеска, который бывает при нарушении проходимости желудочно-кишечного тракта (ЖКТ), нет. Перистальтика (волнообразные сокращения кишечника) выслушивается. Сфинктер в тонусе, ампула (верхний отдел) прямой кишки пустая. Патологии на высоте указательного пальца не выявлено, кал светлый.
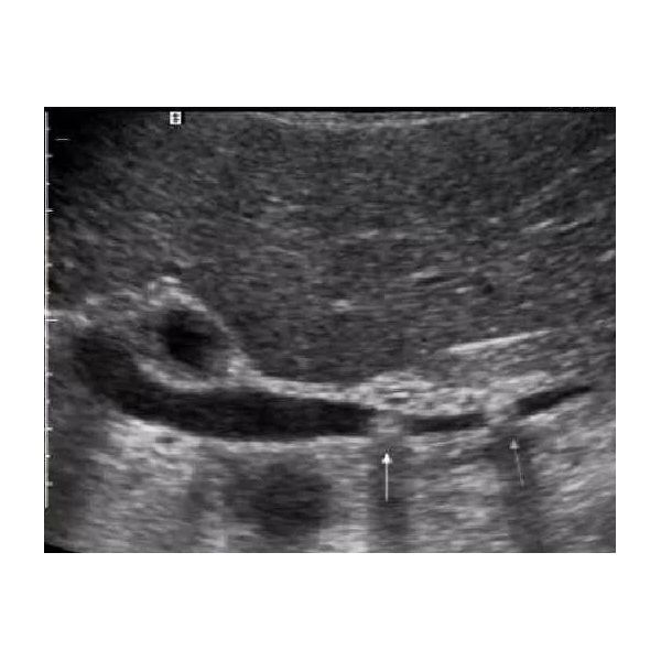
По результатам ультразвукового исследования (УЗИ) органов брюшной полости выявлены:
- уплотнение паренхимы (основной ткани) печени;
- желчнокаменная болезнь;
- увеличение желчного пузыря и конкременты (камни) диаметром 1–2 см;
- диффузные изменения поджелудочной железы (т. е. во всей её структуре);
- отсутствие свободной жидкости в брюшной полости.
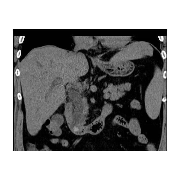
В ходе компьютерной томографии (КТ) обнаружены:
- выраженная билиарная гипертензия (повышенное давление в желчевыводящих путях);
- расширение холедоха, т. е. общего желчного протока (холедохоэктазия);
- признаки наличия двух камней диаметром до 2 см в нижнем отделе холедоха (холедохолитиаз), а также конкременты в желчном пузыре.
Анализ крови показал:
- общий билирубин — 215 мкмоль/л (значительно выше нормы);
- прямой билирубин — 195 мкмоль/л (значительно выше нормы);
- лейкоциты — 9,5х109 г/л (в пределах нормы).
Диагноз
По результатам обследований у женщины диагностировали:
- ЖКБ, обострение хронического калькулёзного холецистита (воспаления стенки желчного пузыря);
- холедохолитиаз;
- механическую желтуху.
Лечение
В связи с осложнениями ЖКБ пациентке провели трёхэтапное лечение.
Первым этапом выполнили эндоскопическую папиллосфинктеротомию. В ходе этой операции женщине через рот ввели в двенадцатиперстную кишку специальный эндоскоп и там надрезали большой дуоденальный сосочек (по которому в норме выходит желчь и панкреатический сок), чтобы восстановить отток желчи и удалить камни. Однако извлечь конкременты из нижнего отдела холедоха не получилось, так как они были слишком большими. Из-за этого для устранения желтухи и профилактики послеоперационного панкреатита в холедох и Вирсунгов (главный панкреатический) проток установили пластиковые стенты.
На фоне консервативной терапии после операции показатели билирубина снизились: общий — 80 мкмоль/л; прямой — 45 мкмоль/л. Амилаза крови (фермент, расщепляющий сложные углеводы) была в норме. Также у пациентки улучшилось общее самочувствие.
Спустя две недели в рамках второго этапа ей удалили стенты, которые установили при первой операции. Затем пациентке через рот в желчный проток ввели эндоскопическую систему SpyGlass — гибкую трубку с камерой, которая позволяет визуализировать желчный и поджелудочный протоки, — чтобы с помощью специального инструмента аккуратно раздробить камни и вытащить их осколки из холедоха.
После операции осложнений не было, клинико-лабораторные показатели пришли в норму.
Через пять дней, когда состояние стабилизировалось, женщине провели третий этап хирургического лечения — лапароскопическую холецистэктомию, в рамках которой через небольшие проколы ей удалили желчный пузырь. Операция прошла без осложнений, поэтому на четвёртый день после хирургического вмешательства пациентку выписали в удовлетворительном состоянии.
Через две недели после операции у женщины прошли боли и нормализовались лабораторные показатели, цвет кожи, мочи и кала. Сейчас пациентка спокойно ест без приёма спазмолитиков.
В результате хирургического лечения женщина полностью избавилась от осложнённой желчнокаменной болезни.
Заключение
Этот случай показывает, что, несмотря на пожилой возраст, осложнения и сопутствующие кардиологические патологии, можно вылечить ЖКБ и вернуться к привычной жизни. Применение современных методов диагностики и малоинвазивных техник операции позволило избежать большой полостной операции с наружным дренированием холедоха для оттока желчи в течение месяца и ускорило восстановление.



