Авторы
Литературный редактор:
Елизавета Отмахова
Научный редактор:
Сергей Федосов
Шеф-редактор:
Маргарита Тихонова
Вступление
В «Елизаветинскую больницу» в Санкт-Петербурге обратилась 72-летняя женщина, которую регулярно рвало после еды.
Жалобы
Пациентку также беспокоила боль в верхних отделах живота, чувство удушья и «кома в горле», отрыжка кислым и общая слабость. Из-за частой рвоты она сильно похудела.
Боль усиливалась после приёма любого количества пищи. Обезболивающие и противорвотные препараты не приносили облегчения. Болезненные ощущения полностью проходили только после рвоты.
Анамнез
Первые симптомы появились примерно 2 года назад. Так как женщина живёт в Нидерландах, первичный осмотр она прошла там. По результатам обследования, у пациентки выявили грыжу пищеводного отверстия диафрагмы (ГПОД) III степени (значительная часть желудка сместилось через пищеводное отверстие диафрагмы в грудную полость).
Женщине рекомендовали пройти хирургическое лечение, но голландские врачи отказались её оперировать из-за выраженного дефицита веса, пока её ИМТ не поднимется до 20 кг/м2. Однако без устранения ГПОД пациентка не могла набрать вес.
Так как женщина имеет двойное гражданство (нидерландское и российское), она решила сделать операцию в России.
Других болезней пациентка не отмечала.
Ни у кого из её близких родственников не было проблем с желудочно-кишечным трактом (ЖКТ).
Обследование
На приёме женщина находилась в среднетяжёлом состоянии, была сильно истощена. Рост — 150 см, вес — 40 кг, ИМТ — 17,8 кг/м2 (дефицит массы тела).
При прощупывании живот мягкий, умеренно болезненный в верхней части. Симптомов перитонита не было.
Клинический и биохимический анализ крови не обнаружил отклонений от нормы.
Фиброгастродуоденоскопия ФГДС показала деформацию желудка и луковицы 12-перстной кишки, которые были расположены выше ножек диафрагмы. В их просвете находилось большое количество пищевых масс, из-за чего луковица была растянута. Также наблюдались эндоскопические признаки фиксированной комбинированной ГПОД, при которой смещённые органы не могли свободно переместиться обратно в брюшную полость.
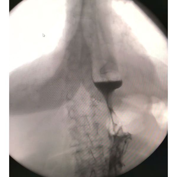
Рентгеноскопия пищевода и желудка с контрастированием выявила:
- сильное увеличение и растяжение желудка (внутри определялось большое количество остаточного содержимого);
- замедленное передвижение контрастного вещества из желудка в 12-перстную кишку (снимок, сделанный через 2 часа, показал, что часть контрастного вещества всё ещё оставалась в желудке);
- обратный заброс желудочного содержимого в пищевод.
Диагноз
Гастроэзофагеальная рефлюксная болезнь (ГЭРБ). Гигантская грыжа пищеводного отверстия диафрагмы. Рефлюкс-эзофагит. Субкомпенсированная кишечная непроходимость. Дефицит массы тела.
Лечение
Пациентка прошла интенсивный курс предоперационной подготовки, после чего ей провели лапароскопию, в ходе которой:
- удалили грыжу;
- восстановили правильную позицию пищевода и желудка;
- создали антирефлюксную манжету по Тупе (для укрепления нижнего пищеводного сфинктера обернули верхнюю часть желудка вокруг пищевода на 270°);
- восстановили пищеводное отверстие диафрагмы и укрепили его с помощью сетчатого эндопротеза.
Послеоперационный период протекал без осложнений. На следующий день после операции женщина начала питаться жидкой пищей. Постепенно рацион расширялся, также пациентке разрешили двигаться.
Через неделю ей сняли швы и провели контрольную рентгеноскопию:
- контраст свободно поступал в желудок при любом положении тела;
- скорость дальнейшего продвижения контраста в 12-перстную кишку соответствовала норме;
- пищеводно-желудочный переход находился под диафрагмой;
- кардиальный (верхний) отдел желудка не выходил в грудную полость.
На следующий день женщину выписали из больницы для дальнейшего наблюдения по месту жительства.
На осмотре спустя 2 недели её самочувствие значительно улучшилось: исчезла боль и тошнота, появился аппетит. За это время пациентка набрала 3 кг. Ей рекомендовали продолжать принимать спазмолитики и прокинетики.
Через месяц вес женщины увеличился на 7 кг, чувство слабости её больше не беспокоило. Спустя 2 года ИМТ повысилось до 28 кг/м2 (вес — 63 кг).
Сейчас пациентка ведёт активный образ жизни: занимается скандинавской ходьбой и поёт в хоре.
Заключение
Этот клинический случай показывает, что лапароскопические операции с использованием сетчатых эндопротезов приносят отличный результат при лечении гигантской ГПОД. Однако провести такую операцию можно только при хорошем материально-техническом оснащении клиники и высоком профессионализме оперирующего хирурга и всей операционной бригады.





