Авторы
Литературный редактор:
Юлия Липовская
Научный редактор:
Сергей Федосов
Шеф-редактор:
Маргарита Тихонова
Вступление
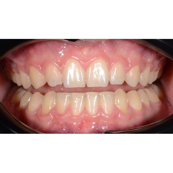
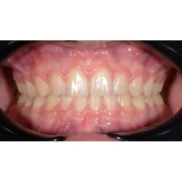
В клинику обратился мужчина 24 лет с жалобами на промежутки между зубами верхней челюсти, скученное положение зубов на нижней челюсти, стираемость зубов и глубокое перекрытие — верхние зубы практически полностью перекрывали нижний вороночный (передний) отдел.
Жалобы
Пациент отметил, что эстетический дефект (промежутки и глубокое перекрытие) вызывал психологический дискомфорт — он стеснялся улыбаться. Также его беспокоило недостаточное смыкание зубов в боковых отделах, что мешало полноценно жевать.
На нижней челюсти усилилась стираемость зубов и начали возникать сколы.
Анамнез
Промежутки между зубами у пациента были с детства. Скученность на нижней челюсти появилась после прорезывания зубов мудрости, из-за чего позже удалили зуб 4.8 (нижний левый моляр), а зубы 1.8 и 2.8 (моляры на верхней челюсти) удалили по терапевтическим показаниям.
Пациент не принимал лекарств на постоянной основе. Хронических заболеваний, которые могли бы влиять на скорость лечения, у него нет.
В силу жизненных обстоятельств мужчины (скорого переезда в другую страну) мы были ограничены в сроках лечения.
Обследование
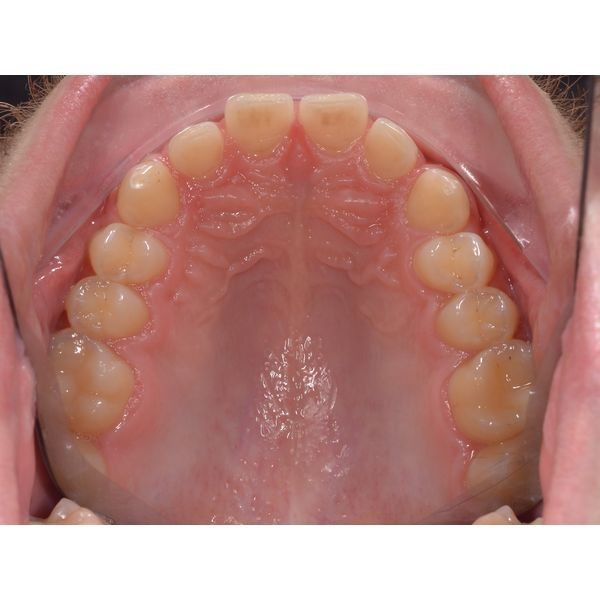
При осмотре наблюдалось:
- глубокое резцовое перекрытие зубов в переднем отделе;
- профицит (избыток) места на верхней челюсти;
- дефицит места на нижней челюсти;
- стираемость зубов.
Также у пациента сохранился зуб мудрости 3.8 (левый нижний). Он рос в сторону зуба 3.7, что повышало риск травматизации этого зуба.
Чтобы поставить диагноз и составить индивидуальный план лечения, провели обследование, которое включало:
- фотопротокол (серию снимков) полости рта и лица;
- конусно-лучевую компьютерную томографию (КЛКТ);
- телерентгенограмму (рентгеновский снимок головы в боковой проекции, по которому оценивают строение лицевого скелета и прикус);
- цифровое интраоральное сканирование зубов (создание 3D-модели челюстей с помощью оптической камеры);
- расчёт контрольно-диагностических моделей.
Диагноз
По результатам диагностики поставили два диагноза:
- глубокий прикус;
- микродентия (уменьшенный размер) зубов верхней челюсти.
Лечение
По результатам обследования мужчине требовалось ортодонтическое лечение: установка брекетов либо элайнеров на верхние и нижние зубы. Пациент выбрал самолигирующую брекет-систему (в ней дуга фиксируется встроенным замком, без отдельных лигатур).
Но сначала мужчине по показаниям рекомендовали удалить оставшийся зуб мудрости. Его убрали до начала ортодонтического лечения. затем установили брекет-систему. Её одновременно зафиксировали и на верхней, и на нижней челюсти.
Для коррекции глубокого прикуса пациенту установили ортодонтические накладки на фронтальные верхние зубы, также он носил эластические тяги в боковых сегментах. Дополнительно на жёстких дугах сделали изгибы для экструзии (выдвижения) боковой группы зубов и интрузии (вдавливания) фронтальных зубов. А для разворота отдельных зубов провели их сепарацию— механически сошлифовали эмаль специальными полосками и борами (не более 0,25 мм с поверхности каждого зуба).
Чтобы отследить перемещение зубов, во время лечения пациенту сделали повторную КЛКТ. Исследование подтвердило положительную динамику.
В итоге лечение прошло без осложнений и в короткие сроки. Оно длилось 1 год 6 месяцев. За это время мужчине изменили глубину перекрытия зубов в переднем отделе, закрыли промежутки на верхней челюсти, создали плотные межзубные контакты в боковых отделах и исправили скученность зубов — достигли стабильной функциональной и эстетической окклюзии (плотного и правильного смыкания зубов).
Чтобы сохранить результат, пациенту установили несъёмные ретейнеры (проволочные конструкции, удерживающие зубы в нужном положении) и изготовили индивидуальную ретенционную капу на верхнюю челюсть. Мужчину проинструктировали по поводу режима ношения и уходу за ретенционными аппаратами.
Заключение
Во взрослом возрасте довольно сложно решиться на исправление прикуса, но клинический случай показывает, что это возможно, и правильное положение зубов нужно не только для эстетики, но и для сохранения зубов и их функциональных возможностей.









