Определение болезни. Причины заболевания
Болезнь вейперов (Vapers' disease) — это острое или подострое повреждение лёгких, связанное с использованием электронных сигарет и продуктов для вейпинга.
Другое название болезни — EVALI — сокращение от Electronic-cigarette and Vaping use-Associated Lung Injury. Термин был официально принят в 2019 году в США после того, как в этой стране начали фиксировать вспышки этого состояния [1].
В США EVALI является официальным диагнозом со своим кодом, так как врачи там работают по Международной классификации болезней 11-го пересмотра (МКБ-11). Россия не перешла на МКБ-11, поэтому здесь у болезни вейперов нет официального статуса заболевания, хотя случаи EVALI тоже описаны [13].
Электронные сигареты и вейпы относятся к электронным системам доставки никотина (ЭСДН). В этих устройствах специальная спираль нагревает раствор и превращает его в аэрозоль (газ с мелкими частицами жидкости). В отличие от дыма обычных сигарет (газа с мелкими твёрдыми частицами), аэрозоль можно вдохнуть значительно глубже: он доходит до самых альвеол — мельчайших структур лёгких, где происходит газообмен. Альвеолы при этом повреждаются, что может нарушать обмен газов между альвеолярным пространством и кровью и вызывать дыхательную недостаточность [15].
![Аэрозоль при курении вейпа доходит до альвеол [9] Аэрозоль при курении вейпа доходит до альвеол [9]](/media/bolezny/evali/aerozol-pri-kurenii-vyaypa-dohodit-do-alveol-9_s.jpeg?dummy=1776145524205)
Аэрозоль при курении вейпа доходит до альвеол [9]
Особенность вейпов в том, что, в отличие от обычных сигарет, их можно использовать практически постоянно, ведь у пара не такой едкий запах, как у табачного дыма. Поэтому зачастую их используют прямо дома, в квартире или машине.
Причины болезни вейперов
Причиной болезни являются токсичные составляющие и добавки в жидкостях или составах для вейпинга. Главный повреждающий компонент — ацетат витамина E — маслянистое синтетическое соединение, которое используется для загущения нелегальных жидкостей с тетрагидроканнабинолом (ТГК).
Более 90 % подтверждённых случаев EVALI в 2019–2020 годах связаны с использованием картриджей или жидкостей, содержащих ацетат витамина E [2]. Когда этот компонент нагревается, он начинает разлагаться на более мелкие частицы, далее образуется кетен — газ, который действует как раздражитель для слизистой дыхательных путей. Именно он вызывает химический пневмонит (асептическое воспаление лёгочной ткани).
В одном исследовании учёные проверили жидкость, полученную после промывания лёгких у пациентов с болезнью вейперов (такое промывание называется «бронхоальвеолярный лаваж» — БАЛ). По результатам анализа, ацетат витамина Е обнаружили у 48 пациентов из 51, т. е. в 94 % случаев [2].
Кроме ацетата витамина Е и его производных, на лёгкие негативно могут влиять и другие компоненты вейпов:
- базовый никотин (его дозировки в вейпах порой неизвестны);
- ароматизаторы на основе глицерина для приятного запаха;
- тяжёлые металлы, которые высвобождаются при работе нагревательного элемента устройства [8].
Распространённость болезни вейперов
В России официальная статистика по EVALI не ведётся, поскольку это заболевание не включено в МКБ-10. Однако страны, перешедшие на МКБ-11, собирают такую статистику.
От этой болезни пострадало много людей и большая часть — это подростки и молодые взрослые, так как именно они чаще увлекаются вейпингом [1]. В США пик заболеваемости пришёлся на 2019–2020 годы. По данным Центров по контролю и профилактике заболеваний (CDC), на 18 февраля 2020 года по всей стране было зарегистрировано 2807 случаев госпитализаций и 68 смертей [8]. На основе этих данных распространённость EVALI в США составляет примерно 1,4 случая на 100 тыс. населения. Возраст заболевших варьируется от 12 до 64 лет, средний возраст — 24 года. Мужчины составляют 66 %, женщины — 34 % [8].
Симптомы болезни вейперов (EVALI)
Заболевание начинается остро и неожиданно. Реже симптомы появляются постепенно — на протяжении нескольких дней после того, как человек сделал много затяжек электронной сигареты, в том числе на ходу [11][12].
Основные проявления касаются дыхательной системы. Может беспокоить:
- одышка при минимальной нагрузке и иногда в покое;
- сложность или невозможность вдохнуть полной грудью;
- дискомфорт и боль в груди, которая может усиливаться при глубоком вдохе;
- надсадный, иногда даже постоянный, изнуряющий сухой кашель.
Такие симптомы встречаются у 95 % пациентов с подтверждённым диагнозом [12].
При аускультации (выслушивании) лёгких врачу часто удаётся услышать хрипы, например влажные разного калибра [16].
В 77 % случаев возникают расстройства желудочно-кишечного тракта. У человека могут быть тошнота, рвота, жидкий стул и боли в животе разлитого характера (когда болит весь живот). Иногда заболевание начинается с жалоб, похожих на отравление [12]. При этом не всегда такие жалобы сопровождаются респираторными симптомами (т. е. со стороны дыхательной системы).
У 85 % пациентов респираторные или желудочно-кишечные симптомы сопровождались системными, такими как лихорадка, озноб и потеря веса [12].
У людей с хроническими заболеваниями лёгких, например с бронхиальной астмой, симптомы могут имитировать обострение основного заболевания. При этом возможно:
- падение сатурации (насыщения крови кислородом);
- возникновение или увеличение частоты ночных симптомов, таких как пробуждение от кашля, удушье, одышка, сердцебиение;
- изменения пиковой скорости выдоха (ПСВ) при выполнении пикфлоуметрии (измерении скорости выдоха специальным прибором, в который нужно резко выдохнуть) [5].
Патогенез болезни вейперов (EVALI)
При курении вейпов вещества, содержащиеся в аэрозоле ЭСДН, попадают в альвеолы, где запускаются различные патологические, в том числе воспалительные, процессы.
Особенно опасен ацетат витамина Е — маслянистое вещество, которое при нагревании становится вязким. Оно может нарушать функцию сурфактанта — вещества, которое поддерживает поверхностное натяжение в альвеолах и не даёт им спадаться. Истощение сурфактанта приводит к коллапсу альвеол и ателектазам — лёгочная ткань спадается и перестаёт участвовать в газообмене, что ведёт к одышке.
Спавшиеся альвеолы
Этот процесс сопровождается окислительным стрессом: свободные радикалы повреждают ДНК эпителия (клеток, которые выстилают альвеолы).
В ответ на агрессивное воздействие на клетки и возникший клеточный стресс возникает воспаление, при этом активируются нейтрофилы с макрофагами, которые должны убирать повреждения и лишние жиры. Так как многие вещества в вейпах маслянистые, макрофаги перегружаются жиром и не справляются с нагрузкой. В результате формируются липидонагруженные макрофаги, которые потом обнаруживают в промывных водах бронхов. Это указывает на нарушение липидного обмена [1]. Отсюда и альтернативное название болезни — глицериновая пневмония (или липоидная).
Из-за постоянного воздействия агрессивных веществ клетки лёгких находятся в стрессе. Это ослабляет иммунный ответ: снижается фагоцитоз (способность иммунных клеток захватывать и уничтожать бактерии), а также устойчивость к вирусам. В результате сильно повышается риск вторичных инфекций — вирусной и бактериальной пневмонии, стрептококковой или стафилококковой инфекции и других осложнений [4].
По результатам гистологического исследования (изучения образца лёгочной ткани под микроскопом), при болезни вейперов может выявляться:
- диффузное (рассеянное) повреждение альвеол с фибриноидным экссудатом (воспалительной жидкостью);
- пневмония, в том числе эозинофильная (с накоплением эозинофилов) и фиброзирующая (с образованием фиброза);
- бронхиолит (воспаление мелких бронхов);
- альвеолярное кровотечение.
Классификация и стадии развития болезни вейперов (EVALI)
EVALI можно разделить по морфологическому типу (характеру повреждения):
- с преобладанием организующей пневмонии, при которой внутри альвеол и мелких бронхов разрастается молодая соединительная ткань [10];
- диффузного альвеолярного повреждения;
- интерстициального фиброза (замещения нормальной ткани органа на соединительную) [2].
Также некоторые авторы делят EVALI по течению, выделяя:
- острую форму — развивается быстро и активно в течение первых 48 часов;
- подострую — симптомы нарастают постепенно за 1–4 недели [2][11].
Стадии развития не выделяются чётко и формально не установлены, но условно можно выделить:
- начальную стадию — интоксикация с лихорадкой до 3 дней;
- проявленную — дыхательная недостаточность до 7 дней, ярко выраженные симптомы;
- терминальную.
Осложнения болезни вейперов (EVALI)
Болезнь вейперов периодически приводит к острому респираторному дистресс-синдрому (ОРДС). Это один из вариантов дыхательной недостаточности, при котором в лёгких накапливается жидкость и сильно снижается уровень кислорода в крови. Это очень тяжёлое и серьёзное состояние, которое требует немедленной искусственной вентиляции лёгких (ИВЛ) у большей части госпитализированных [2].
Ещё одним последствием может быть фиброзирование тканей лёгких — замена здоровой лёгочной ткани на соединительную, которая не участвует в газообмене, а просто заполняет пространство. Так как нормальной лёгочной ткани становится меньше, нарушается газообмен, снижается способность лёгких пропускать кислород в кровь, возникает одышка. Если человек возобновляет вейпинг после перерыва, симптомы могут возвращаться, а в дальнейшем растёт риск развития хронической обструктивной болезни лёгких (ХОБЛ).
Фиброз лёгких
Если у пациента есть астма, то она может усугублять состояние и усложнять выздоровление.
Редкими осложнениями EVALI могут быть:
- воздушная эмболия (закупорка кровеносного русла пузырьками воздуха);
- пневмоторакс и/или гидроторакс (скопление воздуха и/или жидкости в плевральной полости) [1][12].
Эти состояния возникают из-за разрыва альвеол под влиянием воспалительного процесса. Разрыв альвеол связан с ухудшением их эластичности из-за истощения сурфактанта.
Пневмоторакс
Диагностика болезни вейперов (EVALI)
При появлении одышки, тяжести, боли в груди или кашля стоит обратиться к врачу-пульмонологу или к терапевту.
Диагностика болезни вейперов строится на трёх основных столпах:
- Анамнез или факт ингалирования вейп-продуктов (в том числе за 90 дней или за 2–3 месяца до начала симптомов).
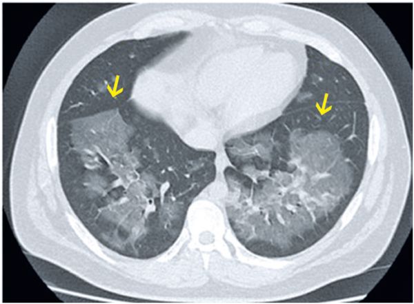
- Характерные изменения на рентгенограмме или КТ (симптом двустороннего матового стекла на компьютерной томографии).
- Полное исключение альтернативных заболеваний (инфекций, бронхиальной астмы, ХОБЛ, а также обострений или дебюта любых других лёгочных заболеваний). Их исключают, исходя из анамнеза (истории жизни и болезни), данных инструментальных методов и анализов крови.
![Симптом двустороннего матового стекла на КТ [18] Симптом двустороннего матового стекла на КТ [18]](/media/bolezny/evali/simptom-dvustoronnego-matovogo-stekla-na-kt-18_s.jpeg?dummy=1776172267173)
Симптом двустороннего матового стекла на КТ [18]
Анализы крови (общий и биохимический) показывают признаки воспаления: лейкоцитоз и эозинофилию (рост уровня лейкоцитов и эозинофилов), высокий уровень С-реактивного белка (СРБ). Иногда проверяют кислотно-щелочное равновесие.
Анализ мочи может подтвердить наличие ТГК (психоактивного вещества, которое незаконно добавляют в некоторые жидкости для вейпов) [3][6].
Иногда проводится лечебная и диагностическая бронхоскопия с БАЛ (промыванием лёгких). Полученную жидкость после промывания отправляют на анализ, в ходе которого лаборатория может обнаружить липидные макрофаги и ацетат витамина E.
Бронхоскопия
Также проводится УЗИ лёгких и плевральной области, чтобы исключить другие заболевания и осложнения.
Если состояние пациента нетяжёлое и нет противопоказаний, выполняют спирометрию (исследование функции внешнего дыхания). Это помогает более точно оценить работу лёгких. Особенно важно это у детей, у которых подозревают астму. Диагноз астмы обычно ставят на основании опроса и результатов спирометрии с бронхолитиком [6].
Лечение болезни вейперов (EVALI)
Лечение начинается с немедленного полного прекращения использования всех электронных сигарет и вейп-продуктов. Из-за редкости заболевания врачи предпочитают не отпускать пациентов на амбулаторное лечение, поэтому лечение обычно проводится в стационаре.
Неотложная госпитализация возможна при сатурации ниже 95 %. Терапия этого состояния включает:
- оксигенотерапию (кислородотерапию), например через назальный катетер;
- антибактериальную терапию, чтобы исключить развитие инфекции, например сепсиса.
Если заболевание протекает в тяжёлой форме (падение сатурации, тяжёлая степень одышки), то применяют неинвазивную вентиляцию лёгких (НИВЛ) или ИВЛ. Также используются глюкокортикоиды или гормоны (Метилпреднизолон или Преднизолон внутривенно). Их назначают, чтобы снять воспаление и облегчить симптомы. У детей дозирование препаратов корректируют по весу с акцентом на гидратацию (поддержание водного баланса) [7].
Искусственная вентиляция лёгких (ИВЛ)
Прогноз. Профилактика
Прогноз заболевания чаще всего благоприятный: большинство пациентов выписываются из пульмонологического или торакального отделения с выздоровлением в среднем за 7 дней [14]. Однако некоторые пациенты даже спустя месяцы после выписки из больницы отмечают остаточные симптомы (например, одышку при движении, затруднение дыхания, кашель и т. д.).
К факторам риска неблагоприятного исхода относятся:
- возраст старше 35 лет;
- наличие хронических и сопутствующих заболеваний, например системных болезней, патологий лёгких и сосудов;
- частый вейпинг (более 5 раз в день) [2].
О смертности от болезни вейперов нет точной информации из-за небольшой выборки. По разным источникам, она составляет не более 2–2,5 %, среди госпитализированных [8]. В России официальной статистики нет из-за редкости случаев и отсутствия EVALI в МКБ-10.
В основном пациенты погибают из-за ОРДС, сепсиса, полиорганной недостаточности и эмболий [2][3].
Профилактика болезни вейперов
Для профилактики EVALI и её рецидивов важно полностью отказаться от курения вейпов (желательно даже от пассивного).
Со стороны общества и государства большую роль играют:
- Образовательные просветительские кампании для молодёжи и подростков, ведь большое количество вейперов — это молодые люди. Важно не просто говорить о вреде вейпов, но и объяснять, почему они вредны и чем грозит их использование.
- Безоговорочный запрет продаж несовершеннолетним.
Список литературы
O’Callaghan M., Boyle N., Fabre A., Keane M. P., McCarthy C. Vaping-Associated Lung Injury: A Review // Medicina (Kaunas). — 2022. — Vol. 58, № 3. ссылка
Zulfiqar H., Sankari A., Rahman O. Vaping-associated pulmonary injury // StatPearls Publishing. — 2023. ссылка
EVALI // Cleveland Clinic. — 2023.
Rebuli M. E., Rose J. J., Noël A. et al. The E-cigarette or Vaping Product Use–Associated Lung Injury Epidemic: Pathogenesis, Management, and Future Directions: An Official American Thoracic Society Workshop Report // Ann Am Thorac Soc. — 2023. — Vol. 20, № 1. — P. 1–17.ссылка
Barker C. K., Ghera P., Hsu B. The Evolution of a Pediatric Public Health Crisis: E-cigarette or Vaping-Associated Lung Injury // Pediatrics. — 2024. — Vol. 153, № 5.ссылка
Cherian S. V., Kumar A., Estrada-Y-Martin R. M. E-Cigarette or Vaping Product-Associated Lung Injury: A Review // Am J Med. 2020. — Vol. 133, № 6. — Р. 657–663. ссылка
Rice S. J., Hyland V., Behera M. et al. Guidance on the Clinical Management of Electronic Cigarette or Vaping-Associated Lung Injury // J Thorac Oncol. — 2020. — Vol. 15, № 11. — P. 1727–1737. ссылка
Outbreak of Lung Injury Associated with the Use of E-Cigarette, or Vaping, Products // Centers for Disease Control and Prevention (CDC). — 2020.
Forest V., Mercier C., Pourchez J. Considerations on dosimetry for in vitro assessment of e-cigarette toxicity // Respir Res. — 2022. — Vol. 23.ссылка
Kligerman S. J., Kay F. U., Raptis C. A. et al. CT Findings and Patterns of e-Cigarette or Vaping Product Use-Associated Lung Injury: A Multicenter Cohort of 160 Cases // CHEST. — 2021. — Vol. 160, № 4. — P. 1492–1511.ссылка
Crotty Alexander L. E., Ware L. B., Calfee C. S. et al. E-Cigarette or Vaping Product Use-associated Lung Injury: Developing a Research Agenda. An NIH Workshop Report // Am J Respir Crit Care Med. — 2020. — Vol. 202, № 6. — Р. 795–802.ссылка
Siegel D. A., Jatlaoui T. C., Koumans E. H. et al. Update: Interim Guidance for Health Care Providers Evaluating and Caring for Patients with Suspected E-cigarette, or Vaping, Product Use Associated Lung Injury — United States, October 2019 // MMWR Morb Mortal Wkly Rep. — 2019. — Vol. 68, № 41. — Р. 919–927.ссылка
Баймаканова Г. Е., Тараканов И. Ю., Самсонова М. В. и др. Повреждение лёгких, ассоциированное с курением электронных сигарет (EVALI) // Медицинский совет. — 2024. — Т. 18, № 20. — С. 30–39.
Kalininskiy A., Bach C. T., Nacca N. E. et al. E-cigarette, or vaping, product use associated lung injury (EVALI): case series and diagnostic approach // Lancet Respir Med. — 2019. — Vol. 7, № 12. — Р. 1017–1026.ссылка
Электронные системы доставки никотина и электронные системы доставки продуктов, не являющихся никотином: информационная записка // Всемирная организация здравоохранения. — 2020.
Гатауллин Р. В., Галиуллина А. А., Денисова В. А. и др. EVALI — болезнь вейперов: трудности в дифференциальной диагностике // Вестник современной клинической медицины. — 2025. — Т. 18 (прил. 1). — С. 66–71.
Shelton C. M., Black H., Proctor J., Hagemann T. M. A Comprehensive Review of Vaping Use in Pediatric Patients and Recent Changes in Regulatory Laws // J Pediatr Pharmacol Ther. — 2022. — Vol. 27, № 2. — Р. 109–119. ссылка
Matos M. J., Rosa M. E., Brito V. M. et al. Differential diagnoses of acute ground-glass opacity in chest computed tomography: pictorial essay. Einstein (São Paulo). — 2021. — Vol. 19.

