Авторы
Литературный редактор:
Елизавета Отмахова
Научный редактор:
Сергей Федосов
Шеф-редактор:
Маргарита Тихонова
Вступление
В стоматологическую клинику в Казани обратился 27-летний мужчина, которому не нравилось, как выглядели его зубы.
Жалобы
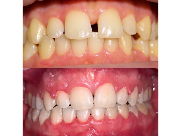
Пациент указал на большие щели между верхними и нижними зубами.
У мужчины не было двух премоляров, но он не хотел устанавливать импланты.
Анамнез
Пациент заметил щели между зубами ещё в 15 лет, но к ортодонту не обращался.
У родителей неправильный прикус.
Обследование
Чтобы установить точный диагноз и исключить различные проблемы височно-нижнечелюстного сустава (ВНЧС) или опорно двигательного аппарата на приёме:
- осмотрели зубные ряды;
- изучили направление движений ВНЧС;
- прощупали жевательные мышцы;
- осмотрели постуры — положение тела и его ориентирование относительно поверхности, на которой расположены стопы;
- исследовали слизистую оболочку полости рта;
- проверили, есть ли рецессии — уменьшение объёма десны.
Мужчине провели комплексную диагностику:
- компьютерную томографию 15×15 с захватом ВНЧС;
- телерентгенограмму в боковой проекции;
- фотометрию;
- сделали клинико-диагностические модели.
Диагноз
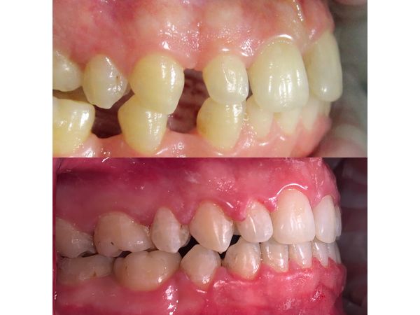
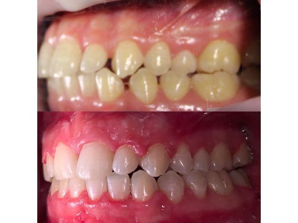
Трансверзальная резцовая окклюзия (смещение средней линии зубов вправо). Аномалия положения зубов. Вторичная адентия (потеря 25 и 35-го зубов).
Лечение
Пациенту провели санацию полости рта. Чтобы выравнять положение зубов, ему установили самолигирующую брекет-систему Damon Q, в которой ортодонтическая дуга фиксируется с помощью специальных замков. Полнопазная дуга 19×25 из высококачественной нержавеющей стали закрыла щель в области отсутствующих зубов.
Пациент приходил на приёмы раз в 5 недель. На этапе лечения ему также делали КТ.
Спустя 19 месяцев мужчине сняли брекеты и установили несъёмные ретейнеры, а также изготовили ночные ретенционные (закрепляющие) каппы — этап пассивного лечения, в ходе которого наблюдают за стабилизацией положения зубов и прикуса и следят за тем, как окружающие ткани, в том числе губы, щёки и язык, адаптируются к новым физиологическим условиям.
Пациенту рекомендовали проходить профилактические осмотры раз в полгода.
В итоге мужчине выравняли зубы, создали правильную форму зубных дуг, закрыли все щели и добились того, чтобы верхние и нижние зубы находились в нормальном положении относительно друг друга.
Заключение
Этот клинический случай показывает эффективность альтернативного метода ортодонтического лечения: вместо того, чтобы создать место для отсутствующих зубов и вставить импланты, пациенту выравняли оставшиеся с помощью брекет-системы.
В этом случае также важно следить за состоянием зубов во время ретенционного периода, так как в силу анатомических особенностей, зубы могут вернуться в своё прежнее положение.
Благодаря хорошему взаимодействию с пациентом, результат коррекции был прогнозируемым. Чёткое соблюдение рекомендаций (правила питания и гигиены полости рта при ношении брекет-системы) и ношение тяг помогли ускорить процесс лечения и избежать побочных эффектов.




