Авторы
Вступление
В марте 2018 года пациент М. 67 лет, житель Ленинградской области, госпитализирован по экстренной помощи с тяжёлой сочетанной травмой в областную больницу № 3 г. Тобольска.
Жалобы
Из-за тяжести состояния жалоб не предъявлял.
Негативно сказывалось сочетание черепно-мозговой травмы со скелетной, а также пожилой возраст пациента.
Анамнез
Травма получена в ДТП на трассе Тюмень — Ханты-Мансийск.
Краткий анамнез жизни установить не удалось.
Обследование
Исходный уровень сознания — умеренное оглушение. Динамика неврологического статуса на следующие сутки после поступления отрицательная — угнетение сознания до сопора.
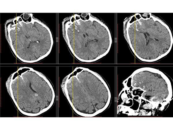
КТ головного мозга в первые сутки: выявлен линейный перелом лобной кости, переходящий на основание передней черепной ямки, и очаги ушиба полюсных отделов правой височной и лобной долей головного мозга (II вид по Корниенко), травматическое субарахноидальное кровоизлияние. Также выявлен двусторонний перелом нижней челюсти.
КТ головного мозга на вторые сутки: выявлена трансформация очага ушиба правой лобной доли во внутримозговую гематому (агрессивный очаг ушиба головного мозга).
Диагноз
Сочетанная травма. Тяжёлая открытая черепно-мозговая травма. Ушиб головного мозга тяжёлой степени с преимущественным поражением правой височной и лобных долей и отсроченным формированием травматической внутримозговой гематомы в левой лобной доле. Линейный перелом лобной кости, переходящий на основание черепа. Двусторонний перелом нижней челюсти.
Лечение
В связи с отрицательной динамикой неврологического статуса и рентгенологической картины принято решение об оперативном вмешательстве:
1. Удаление внутримозговой гематомы через фрезевое отверстие;
2. Нижняя трахеостомия (для проведения длительной искусственной вентиляции лёшких).
Техническая сложность заключалась в широких лобных пазухах пациента, т. к. фрезевое отверстие весьма желательно было наложить, не вскрывая лобную пазуху, но в то же время непосредственно в проекции внутримозговой гематомы. Для этого выполнена предоперационная разметка проекции внутримозговой гематомы на свод черепа.
Операция №1 (длительность — 25 минут):
⠀• выполнен 4 см линейный разрез мягких тканей в лобной области справа параллельно естественным морщинам;
⠀• скелетирована кость, произведён гемостаз электрокоагуляцией по ходу доступа, визуализирован линейный перелом лобной кости;
⠀• с помощью краниотома наложено фрезевое отверстие и гемостаз воском;
⠀• твёрдая мозговая оболочка вскрыта крестообразо, визуализирован выход внутримозговой гематомы на кору головного мозга;
⠀• путём аспирации и отмывания физиологическим раствором удалена внутримозговая гематома общим объёмом около 30 мл;
⠀• произведён гемостаз перекисью водорода, дефект твёрдой мозговой оболочки укрыт материалом Surgicell, костная стружка уложена во фрезевое отверстие;
Операция №2 (длительность — 15 минут):
⠀• выполнен 3 см линейный вертикальный разрез мягких тканей в проекции трахеи;
⠀• тупым и острым путём обнажена передняя поверхность трахеи и взята на крючок;
⠀• П-образно рассечены два полукольца и заведена трахеостомическая трубка №8.5;
⠀• наложены швы на мягкие ткани, трахеостомическая трубка подшита к коже, наложена асептическая повязка.
Всё оперативное вмешательство вместе с анестезиологическим пособием уложилось в 1 час, выполнено с минимальной кровопотерей.
После операции состояние пациента постепенного восстановилось до ясного. На третьи сутки после операции проведена контрольная КТ головного мозга.
Также пациент был оперирован по поводу скелетной травмы, деканулирован на восьмые сутки после операции. Операционная рана и трахеостома зажили.
После четырёх недель лечения в стационаре переведён на долечивание в стационар Ленинградской области.
Заключение
Представленный пример может быть рассмотрен как вариант хирургической тактики при агрессивных очагах ушиба головного мозга.
Так, при минимальной хирургической агрессии решены основные проблемы: за один наркоз удалена внутримозговая гематома и выполнена трахеостомия, позволившая освободить полость рта для дальнейшей работы челюстно-лицевого хирурга и проведения продлённой искусственной вентиляции лёгких.
Предоперационная 3D-разметка позволила рассчитать доступ — непосредственно в проекции внутримозговой гематомы, но без вскрытия лобной пазухи.
Стоит отметить, что удаление травматической внутримозговой гематомы через фрезевое отверстие технически вполне выполнимо, хотя, конечно, обзор весьма ограничен.








