Авторы
Литературный редактор:
Анастасия Кравченко
Научный редактор:
Сергей Федосов
Шеф-редактор:
Маргарита Тихонова
Вступление
В мае 2024 года в 4-е нейрохирургическое отделение РНХИ имени профессора А. Л. Поленова поступил пациент 56 лет с опухолью мозга в анамнезе.
Жалобы
У мужчины были нарушены сознание и речь.
Факторов, облегчающих или усиливающих симптомов, не было.
Анамнез
В июне 2016 года пациенту удалили менингиому 1-й степени (доброкачественную) смешанного строения, расположенную в латеральных (боковых) отделах крыльев основной кости черепа.
В послеоперационном периоде у мужчины возникла грубая моторная афазия (тяжёлая форма нарушения речи). После 2020 года контрольные магнитно-резонансные томографии (МРТ) не проводились.
В марте 2024 года состояние пациента ухудшилось. У него развился правосторонний гемипарез (слабость мышц правой половины тела) и выраженный астенический синдром (быстрая утомляемость).
Результаты проведённой диагностики:
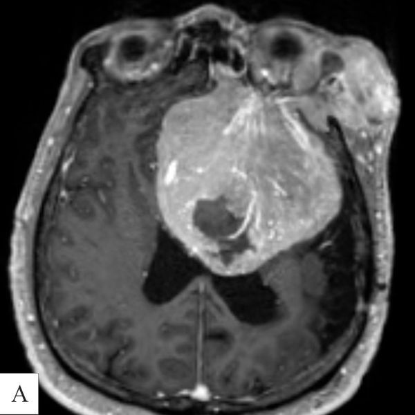
- Контрольной МРТ головного мозга с контрастированием (в апреле 2024 года): объёмное образование размером 80 × 79 × 90 мм в области латеральных отделов большого крыла клиновидной кости.
- Электроэнцефалографии (ЭЭГ): выраженные диффузные изменения головного мозга (т. е. во всех отделах), особенно в левой лобно-височной области. Под сильным давлением находились срединно-стволовые структуры (жизненно важные отделы мозга). Эпилептиформная активность (электрические разряды), идущая из центрального ствола, регистрировалась по всему головному мозгу.
- Офтальмологический осмотр: диски зрительных нервов в норме.
Данных об истории жизни и других заболеваниях нет.
Обследование
При осмотре и сборе анамнеза пациента:
- состояние стабильное, по шкале Карновского — 60 %, т. е. периодически требуется помощь окружающих;
- в левой лобно-височной области под кожей прощупывалось опухолевидное объёмное образование размерами примерно 20 х 30 х 60 мм, безболезненное при пальпации (прощупывании);
- умеренные нарушения интеллекта и памяти, выраженная моторная афазия с элементами сенсорной афазии (непонимания смысла слов), неопрятность;
- умеренное нарушение ходьбы;
- нарушение контроля за мочеиспусканием;
- правосторонний гемипарез (4 балла, т. е. лёгкая слабость) с нарастающим мышечным напряжением в основном в руке.
Результаты инструментального обследования:
- МРТ головного мозга с контрастным усилением: менингиома, которая широким основанием прилегает ко дну передней черепной ямки слева и распространяется в левую среднюю черепную ямку. Опухоль прорастает в лобную кость и выходит из черепа в мягкие ткани головы, в латеральные отделы левой орбиты (глазницы) и левую лобную пазуху. Размеры опухоли — 85 х 75 х 79 мм (объём — около 250 см3).
- КТ-ангиографии сосудов головного мозга: выраженная сосудистая сеть опухоли.
Диагноз
Гигантская менингиома средней черепной ямки (подозрение на злокачественный характер).
Лечение
7 мая 2024 года мужчине провели комбинированную нейрохирургическую операцию. Она включала в себя два основных этапа:
- Эмболизацию сосудистой сети опухоли (т. е. перекрытие кровоснабжения). Было принято решение ограничиться выключением из кровотока передне-латеральных отделов сосудистой сети, поскольку более радикальная эмболизация могла нарушить кровоснабжение в бассейне глазной артерии.
- Микрохирургическое удаление опухоли с применением метаболической навигации (выявлением опухолевой ткани по особенностям обмена веществ), биоспектроскопии (анализа ткани по световым характеристикам) и фотодинамической терапии (разрушением опухолевых клеток с помощью света).
Во время второго этапа (трепанации черепа) в левой лобно-височной области при отделении ткани выявили часть опухоли снаружи черепной коробки, прорастающую сквозь дефект черепа. Эту часть удалили единым блоком, далее подняли костный лоскут, где увидели часть опухоли внутри черепа, связанную с костями основания черепа и глазницы. Лобная доля мозга в зоне вмешательства отсутствовала, а височная была компримирована (сжата).
Во время удаления опухоли граница менингиомы и здорового мозга практически не определялась. Опухоль удалили полностью. Однако по световым показателям были признаки остаточной опухолевой ткани, поэтому хирурги провели фотодинамическую терапию до исчезновения характерного свечения.
Гистологическое заключение после исследования ткани опухоли: анапластическая менингиома 3-й степени (злокачественная).
Послеоперационный период протекал без осложнений.
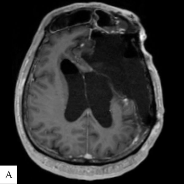
Результаты контрольной МРТ головного мозга с контрастированием: на стыке оснований левой лобной и височной долей ложе удалённой менингиомы размером 6,5 × 4,8 × 6,2 см, заполненное ликвором (спинномозговой жидкостью). По медиальной (внутренней) поверхности ложа виден тонкий ободок изменённой ткани толщиной до 0,9 см. При контрастном усилении нет участков, где бы патологически скапливалось контрастное вещество.
После операции ухудшения состояния и появления новых неврологических симптомов не было.
Пациента выписали в удовлетворительном состоянии для дальнейшего лечения по месту жительства. Ему рекомендовали пройти лучевую терапию.
Заключение
Клинический случай показывает важность применения метаболической навигации и фотодинамической терапии во время операции. Метаболическая навигация позволяет чётко отличать опухоль от рубцовой ткани и неповреждённых структур и удалить образование целиком, а проведение фотодинамической терапии — предотвратить рецидив опухоли.








