Авторы
Вступление
В медицинский центр "Никойл" г. Тюмени обратилась пациентка Ф.О. 35 лет.
Жалобы
Девушка жаловалась на низкое зрение обоих глаз и повышение внутриглазного давления: оно не ощущалось и выявилось только при обследовании, которое пациентка прошла ранее у врача по месту жительства.
В связи с этим местный доктор назначил капли "Тимолол" 0,5 %. Во время их применения наступало кратковременное облегчение, однако капли использовались нерегулярно.
Анамнез
Из анамнеза стало известно, что низким зрением она страдает давно. Впервые с вышеуказанными жалобами обратилась к специалисту по месту жительства несколько месяцев назад.
Наследственность по данному заболеванию не отягощена.
Обследование
Комплексное обследование глаз показало следующие результаты:
⠀•⠀Острота зрения:
⠀⠀⠀Левый глаз (OD): 0,1 sph -1,75 cyl -1,0 ax 85 = 0,9;
⠀⠀⠀Правый глаз (OS): 0,1 sph -2,25 cyl -0,75 ax 95 = 0,9.
⠀•⠀Переднезадняя ось (ПЗО): OD — 23 мм, OS — 23,1 мм (в пределах нормы).
⠀•⠀Толщина роговицы в центральной зоне: OD — 533 мкрн, OS — 541 мкрн (в пределах нормы).
⠀•⠀Глубина передней камеры: OD — 3,91 мм, OS — 3,88 мм (в пределах нормы).
⠀•⠀Размер хрусталика: OD — 4,07 мм, OS — 4,15 мм (в пределах нормы).
⠀•⠀Поля зрений: без изменений.
⠀•⠀Тонометрия обоих глаз (измерение внутриглазного давления) по Маклакову — 26 мм рт. ст. (повышенное).
Гониоскопия выявила, что угол передней камеры глаза открыт, профиль радужки плоский, в углу передней камеры по всей окружности визуализируется резидуальная ткань, похожая на пигментированные отростки корня радужки. Она доходит до трабекулярной зоны.
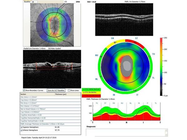
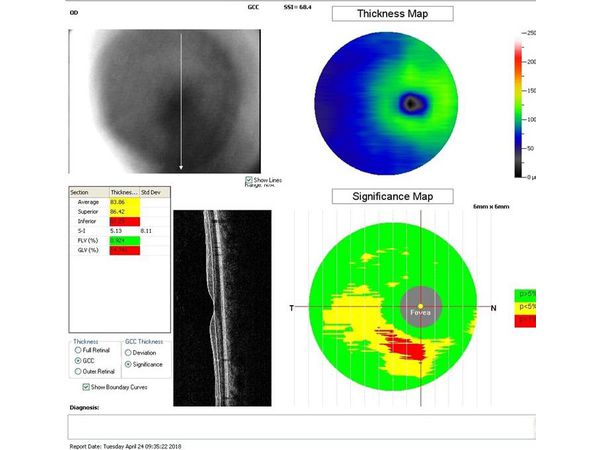
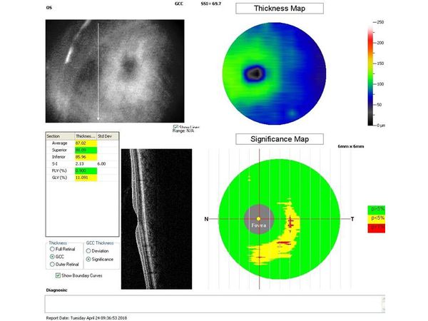
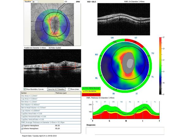
Также при первичном осмотре была проведена оптическая когерентная томография (ОКТ)(рис. 1-4).
Диагноз
Миопия слабой степени обоих глаз. Первичная открытоугольная глаукома I стадии А степени (претрабекулярная ретенция).
Лечение
В течение месяца проводилось консервативное лечение обоих глаз:
⠀•⠀капли "Азарга" — два раза в день;
⠀•⠀капли "Траватан" — на ночь.
Однако такой вид лечения не стабилизировал внутриглазное давление из-за особенностей строения угла передней камеры. В связи с этим было принято решение о выполнении ИАГ-лазерной гониопунктуры на оба глаза.
Лазерное вмешательство распространялось на всю окружность угла передней камеры и проводилось под местной анестезией на офтальмологической ИАГ-лазерной установке фирмы "Alcon" (модель 3000LE) с использованием четырёхзеркальной гониолинзы Ocular. Параметры воздействия: мощность — 2,0 мДж, количество импульсов — 87 (на оба глаза).
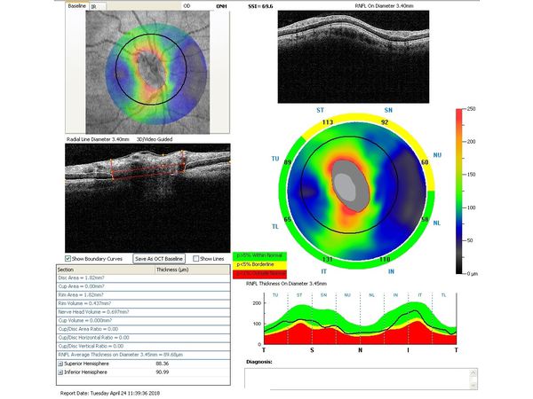
Через неделю и через месяц после операции пациентка приходила на осмотры для проверки внутриглазного давления, остроты зрения и проведения ОКТ (рис. 5-8).
Результаты обследований через месяц после лазерного лечения:
⠀•⠀Острота зрения:
⠀⠀⠀OD: 0,1 sph -2,0 cyl -0,75 ax 85 = 1,0;
⠀⠀⠀OS: 0,1 sph -2,5 cyl -0,75 ax 95 = 1,0.
⠀•⠀Поля зрений – без изменений.
⠀•⠀Тонометрия обоих глаз по Маклакову – 21 мм рт. ст. (без капель).
⠀•⠀Гониоскопическая картина без изменений.
В дальнейшем пациентке рекомендовано посещать врача один раз в 3-4 месяца для динамического наблюдения и контроля внутриглазного давления.
Заключение
Данная первичная открытоугольная глаукома, как и другие виды этого заболевания, является одним из тяжелейших хронических психосоматических состояний, которое может привести к слепоте. Поэтому лечением и послеоперационными профилактическими осмотрами пренебрегать не следует.
Применение ИАГ-лазерной гониопунктуры в данном клиническом случае оказалось успешным и привело к стабилизации офтальмотонуса и сохранению зрительных функций, что и было целью лечения.









