Авторы
Вступление
В январе 2019 года в ГБУЗ ТО "Областная больница №3" г. Тобольска по скорой помощи госпитализирован пациент Л. 40 лет с инсультом по геморрагическому типу.
Жалобы
Из-за тяжести состояния жалоб не предъявлял.
Артериальное давление на момент поступления — 220/160 мм рт. ст.
Анамнез
Из истории болезни известно, что пациент страдает артериальной гипертензией, но регулярно гипотензивные препараты не принимал.
Родственников пациента при поступлении не было, поэтому узнать о бытовых условиях, вредных привычках, перенесённых заболеваниях и иных важных факторах, предшествующих заболеванию, было невозможно.
Обследование
Состояние больного: тяжёлое.
Неврологический статус: угнетение сознания до глубокого оглушения (11 баллов по шкале комы Глазго), полная моторная афазия (отсутствие речи), глубокий правосторонний гемипарез (паралич правой части тела).
Состояние черепно-мозговых нервов:
⠀• I, V, VIII пары — невозможно проверить из-за тяжести состояния;
⠀• II, III, IV, VI пары — зрение сохранено, поля зрения (ориентировочно) проверить невозможно из-за тяжести состояния, зрачки равные S = D, фотореакция зрачков живая, парез взора вверх, конвергенция нарушена;
⠀• VII пара (лицевой нерв) — парез справа по центральному типу.
⠀• IX, X, XII пары — глоточный рефлекс и язык проверить невозможно.
Сухожильные рефлексы высокие, D > S. Брюшные рефлексы полностью отсутствуют. Отмечается симптом Бабинского справа (пальцы стопы раздвигаются в форме веера в ответ на раздражитель).
Чуствительные нарушения: правосторонняя гемигипостезия (снижение чувствительности в связи с инсультом).
Двигательные нарушения: глубокий правосторонний гемипарез.
Менингиальные симптомы: ригидность (повышенный тонус) затылочных мышц, голова отклонена от центра на 5 см, симптом Кернига положительный (пациент не может выпрямить ногу, согнутую в тазобедренном и коленном суставе).
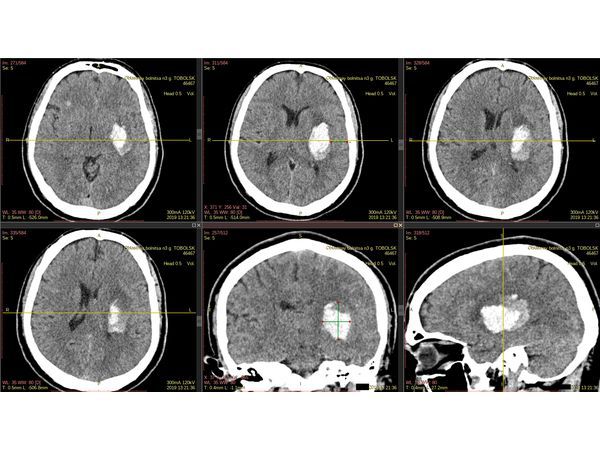
На КТ головного мозга в левой путаменально-капсулярной области выявлена инсульт-гематома.
Диагноз
Острое нарушение мозгового кровообращения (инсульт) по геморрагическому типу с формированием внутримозговой гематомы в левой путаменально-капсулярной области
Лечение
С помощью бесплатной версии программы RadiAnt DICOM Viewer выполнена предоперационная разметка, т.е. намечен план операции.
На следующий день пациенту выполнена краниотомия (трепанация черепа) и удаление инсульт-гематомы:
⠀• выполнен линейный разрез мягких тканей в левой височной области 5,0 см, скелетирована кость;
⠀• наложены три фрезевых отверстия, из которых резекционно сформировано трепанационное окно диаметром 3,5 см;
⠀• по ходу доступа остановлено кровотечение при помощи электрокоагуляции и воска;
⠀• твёрдая мозговая оболочка вскрыта крестообразно: мозг отёчен, пролабирует, не пульсирует;
⠀• после предварительной электрокоагуляции коры головного мозга выполнена энцефалотомия (иссечение мозга) шириной 1,0 см, на глубине около 3,0 см выполнен вход в полость гематомы;
⠀• путём аспирации удалена внутримозговая гематома, представленная рыхлыми сгустками, общим объёмом около 30,0 мл, мозг запал, появилась хорошая пульсация головного мозга;
⠀• остановлено кровотечение при помощи перекиси водорода, твёрдая мозговая оболочка ушита;
⠀• эпидурально установлена гемостатическая губка, в трепанационное окно засыпана костная стружка;
⠀• на рану наложен послойный шов и внутрикожный шов нитью Викрил, а также асептическая повязка.
На следующий день после операции выполнен КТ-контроль: в области трепанации черепа видны костные фрагменты — костная стружка, уложенная в трепанационное окно при закрытии раны.
В дальнейшем проводилось лечение гипотензивными, вазотропными и ноотропными препаратами, массаж, а также реабилитационные мероприятия: занятия с инструктором лечебной физкультуры и логопедом.
Операционная рана зажила первичным натяжением. Динамика в неврологическом статусе положительная: сознание восстановлено до ясного, наблюдается частичный регресс афатических нарушений и правостороннего гемипареза.
Заключение
Данный случай демонстрирует возможности бесплатной версии программы RadiAnt DICOM Viewer. Она позволяет планировать оперативный доступ на головном мозге. С её помощью был установлен размер гематомы и визуализирован доступ к ней.









