Определение болезни. Причины заболевания
Центральная серозная хориоретинопатия (ЦСХРП; Central serous chorioretinopathy) — это приобретённое заболевание сетчатки, при котором в сетчатке, под её нейросенсорным слоем в макулярной области, накапливается серозная жидкость, в результате чего формируется локальная серозная отслойка нейроэпителия и нарушается центральное зрение. Чаще всего это состояние сопровождается внезапным снижением остроты зрения, искажением прямых линий (метаморфопсией) и появлением центрального серого или тёмного пятна в поле зрения (скотомы) [1][2][3].
Другие названия болезни: центральная серозная ретинопатия, серозная макулопатия, идиопатическая серозная отслойка макулы [1][4].
Центральная серозная хориоретинопатия
Распространённость центральной серозной хориоретинопатии
ЦСХРП занимает четвёртое место среди ретинопатий (заболеваний сетчатки) после возрастной макулярной дегенерации (ВМД), диабетической ретинопатии и окклюзий (закупорок) сосудов сетчатки, причём значительная часть случаев остаётся недооценённой из-за спонтанного регресса или субклинического течения, что приводит к поздней диагностике и осложнениям [7].

Макулярная дегенерация
Заболевание преимущественно поражает мужчин в возрасте 30–55 лет. Соотношение частоты ЦСХРП среди мужчин и женщин в различных исследованиях варьируется от 2:1 до 6:1 [1][2]. Показатели различаются в зависимости от региона и особенностей изучаемой группы людей [5][18].
В России точных общенациональных эпидемиологических данных по ЦСХРП до сих пор недостаточно, так как фокус направлен на более тяжёлые ретинопатии (возрастную макулярную дегенерацию и диабетическую ретинопатию), а субклинические формы не регистрируют в обязательном порядке. При последних исследования фиксируют изменения, но пациент не предъявляет жалоб, так как зрение остаётся близким к норме. Часто при таких состояниях люди не обращаются к офтальмологу, поэтому эти случаи не попадают в официальную статистику.
Однако в крупных городах ситуация изучена лучше. Например, в Казани за период с 2009 по 2018 год зарегистрировали 831 новый случай ЦСХРП с явной тенденцией роста заболеваемости, особенно у мужчин трудоспособного возраста, что коррелирует с общим увеличением стрессовых нагрузок в урбанизированных регионах [6].
Глобально ежегодно ЦСХРП регистрируют примерно в 9,9 случаев на 100 тыс. мужчин и в 1,7 случаев на 100 тыс. женщин [18].
По прогнозам, ожидается рост заболеваемости ЦСХРП до 2,03 млн случаев в 2030 году, до 2,30 млн — в 2040 году и до 2,43 млн — в 2050 году. При этом максимальный пик, вероятно, будет наблюдаться среди людей 40–49 лет, где риск, возможно, повышен из-за профессионального стресса и гормональных изменений [5].
Причины центральной серозной хориоретинопатии
Причины болезни до конца не изучены, однако учёные отмечают, что ключевую роль играет сочетание гиперпроницаемости сосудов хориоидеи (сосудистой оболочки глаза) и локальной дисфункции ретинального пигментного эпителия (РПЭ), который перестаёт эффективно «откачивать» жидкость из субретинального пространства (под сетчаткой), в результате чего она накапливается и формируется отслойка [2][3].
К наиболее значимым факторам риска относятся:
- мужской пол;
- местное или системное (риск выше) применение глюкокортикостероидов (в том числе ингаляционных, интраназальных и топических форм, даже глазных капель) [8][9];
- эндогенный гиперкортицизм (тяжёлое эндокринное заболевание, которое возникает из-за того, что надпочечники вырабатывают избыток кортизола), например синдром Кушинга (болезнь Иценко — Кушинга) [8];
- хронический психоэмоциональный стресс и тревожно-депрессивные расстройства;
- тип личности А (амбициозность, повышенная ответственность и гиперконтроль), для которого характерна хроническая гиперсекреция кортизола и повышенная активация минералокортикоидных рецепторов в хориоидее, что способствует гиперпермеабильности (повышенной проницаемости) сосудов и развитию ЦСХРП [1][2];
- обструктивное апноэ сна средней и тяжёлой степени [1];
- артериальная гипертензия [1];
- беременность (особенно третий триместр из-за гормональных сдвигов) [1];
- генетическая предрасположенность (полиморфизмы генов, связанных с сосудистой проницаемостью и минералокортикоидными рецепторами) [2];
- инфекция Helicobacter pylori (учёные отмечают спорную связь и противоречивость данных) [1].

Женщина с симптомами болезни Иценко — Кушинга
Симптомы центральной серозной хориоретинопатии (ЦСХРП)
Клиническая картина обычно развивается остро или подостро, чаще монокулярно (на одном глазу), однако со временем может возникнуть и билатеральное поражение (затрагивающее оба глаза), особенно при хроническом течении [1].
При ЦСХРП пациенты жалуются на внезапное или прогрессирующее снижение центральной остроты зрения. Оно может варьироваться от лёгкого (0,8–1,0 по таблице Сивцева — Головина) до значительного (0,1–0,4 и ниже) в зависимости от объёма и высоты субретинальной жидкости — максимального расстояния, на которое сетчатка отошла от подлежащего пигментного эпителия из-за скопившейся между ними жидкости (чем больше высота, тем сильнее снижается зрение). Это состояние значительно затрудняет выполнение повседневных задач, например чтения или вождения [1][3].
Таблица Сивцева — Головина
Также пациенты субъективно могут отмечать метаморфопсию, при которой прямые линии кажутся им волнистыми, изогнутыми, «ступенчатыми» или «кирпичными», что особенно заметно при чтении, работе с мелким текстом или вождении. Это может вызывать ощущение, будто человек смотрит через волнистое стекло [1][3].
Люди с ЦСХРП могут жаловаться на микропсию или реже на макропсию (искажение восприятия размеров объектов), центральное серое, тёмное или слегка окрашенное пятно в поле зрения (относительная или абсолютная центральная скотома), снижение контрастной чувствительности и ухудшение цветового зрения (особенно в жёлто-зелёной гамме) [1][3]. Последний симптом возникает из-за того, что субретинальная жидкость механически отрывает внешние сегменты фоторецепторов от пигментного эпителия (РПЭ). Это нарушает питание и работу L-конусов (красных) и M-конусов (зелёных), которые отвечают за восприятие жёлто-зелёного спектра. S-конусы (синие) страдают меньше, потому что они менее плотные в макуле, а их внешние сегменты короче и более устойчивы к механическому разделению.
![Центральная скотома [19] Центральная скотома [19]](/media/bolezny/cskhrp/centralnaya-skotoma-19_s.jpeg?dummy=1776156838972)
Центральная скотома [19]
Симптомы часто усиливаются при длительной зрительной нагрузке, в стрессовых ситуациях, после недосыпа или при работе за экраном компьютера, что связано с повышенной утомляемостью глаз [1].
Важно отметить, что ЦСХРП не сопровождается типичными воспалительными признаками (болью, покраснением, светобоязнью или слезотечением). Это отличает её от увеитов и других воспалительных заболеваний заднего отрезка глаза [1][3].
Патогенез центральной серозной хориоретинопатии (ЦСХРП)
В физиологических условиях хориоидея (задняя часть сосудистого тракта глаза, расположенная между склерой и сетчаткой) обеспечивает питание наружных слоёв сетчатки (фоторецепторов и РПЭ), а ретинальный пигментный эпителий функционирует как активный «насос», который перекачивает жидкость из субретинального пространства в хориокапилляры и поддерживает плотный контакт нейроэпителия с подлежащими структурами [2][4].
Строение структур глаза
При ЦСХРП развивается пахихориоид — диффузное или очаговое утолщение хориоидеи (обычно больше 300–350 мкм в фовеальной зоне), расширение крупных сосудов слоя Холлера (пахисосудов), истончение хориокапиллярного слоя и значительное повышение проницаемости сосудистой стенки, что влечёт за собой дисбаланс гидростатического давления [3][4]. Это приводит к тому, что жидкость, богатая белком, выходит через локальные дефекты РПЭ (точки утечки) и формируется серозная отслойка нейроэпителия [2][4].
К современным гипотезам механизма развития ЦСХРП относятся:
- гиперактивация минералокортикоидных рецепторов (внутриклеточных рецепторов, регулирующих водно-солевой обмен, артериальное давление и др.) в эндотелии хориоидеи под влиянием кортизола или альдостерона, что усиливает экспрессию генов проницаемости — процесс, при котором наследственная информация из ДНК превращается в работающий белок или РНК, определяя пропускную способность клеточных мембран [11][12];
- эндотелиальная дисфункция с нарушением барьерных свойств сосудов — состояние, при котором сосуды теряют способность нормально расширяться, защищать сосудистую стенку и регулировать кровоток [2];
- нейрогенное воспаление через активацию TRP-каналов (чувствительных белковых каналов, реагирующих на раздражители) и локальный дисбаланс симпатической нервной регуляции [4].
Длительное существование отслойки (более 3–4 месяцев) провоцирует апоптоз (программируемую гибель клеток) фоторецепторов, дегенерацию наружных сегментов, атрофию РПЭ и вторичные изменения в зоне взаимодействия фоторецепторов и пигментного эпителия (в слое эллипсоида и межфоторецепторном матриксе), из-за чего зрение не может восстановиться полностью, а также повышается риск хронизации процесса [2][4].
Классификация и стадии развития центральной серозной хориоретинопатии (ЦСХРП)
В современной офтальмологической практике ЦСХРП классифицируют по длительности течения и морфологическим особенностям на три основные формы:
- острую — симптомы и субретинальная жидкость сохраняются до 3–6 месяцев, чаще наблюдается спонтанный регресс с единичной точкой утечки на флюоресцентной ангиографии (ФАГ), что позволяет избежать медицинского вмешательства [1][7];
- хроническую — жидкость сохраняется более 6 месяцев, наблюдаются диффузные изменения РПЭ, гравитационные тракты атрофии (при исследованиях выглядят как подтёки) и множественные зоны утечки, которые требуют активной терапии [1][7];
- рецидивирующую — после частичного или полного рассасывания жидкости фиксируются повторные эпизоды, причём с накоплением структурных повреждений [1].
Кроме того, ЦСХРП входит в пахихориоидальный спектр заболеваний (особую группу поражений макулы, связанных с сосудами), где выделяют две формы:
- простую — наблюдается единичная утечка, хороший функциональный прогноз без осложнений;
- сложную (атрофическую) — отмечаются множественные утечки и выраженная пахихориоидопатия, есть высокий риск перехода в неоваскулярную стадию и развития необратимой атрофии РПЭ [3].
Отдельных стадий (как при ВМД или глаукоме) не выделяют. ЦСХРП протекает волнообразно с периодами обострений и ремиссий, которые зависят от провоцирующих факторов, например от стресса или приёма стероидов [1][7].
Осложнения центральной серозной хориоретинопатии (ЦСХРП)
Чаще всего хроническая ЦСХРП осложняется необратимой атрофией ретинального пигментного эпителия и фоторецепторов, что проявляется стойким снижением остроты центрального зрения (ниже 0,5–0,6), постоянной центральной скотомой и снижением контрастной чувствительности [1][7].
Субретинальный фиброз приводит к образованию рубцовой ткани под сетчаткой, чем вызывает выраженные метаморфопсии и искажение изображения, что особенно мешает при работе с текстом [1].
![Субретинальный фиброз при центральной серозной хориоретинопатии [2] Субретинальный фиброз при центральной серозной хориоретинопатии [2]](/media/bolezny/cskhrp/subretinalnyy-fibroz-pri-centralnoy-seroznoy-horioretinopatii-2_s.jpeg?dummy=1776166498570)
Субретинальный фиброз при центральной серозной хориоретинопатии [2]
Также может развиваться вторичная хориоидальная неоваскуляризация, для которой характерны рост новых патологических сосудов, рецидивирующие кровоизлияния, отёк и резкое падение зрения, требующее анти-VEGF терапии (инъекций в глаза) [7][14].
При ЦСХРП есть риск развития кистозной дегенерации сетчатки — образование необратимых кист в наружных слоях, которое приводит к потере зрения и инвалидности [1].
Стоит отметить, что при хроническом течении ЦСХРП может развиться билатеральное поражение, затрагивающее оба глаза: такое прогрессирование заболевания отмечают в 42 % случаев. Это осложнение значительно ограничивает профессиональную деятельность и усугубляет состояние пациента [1][7].
Диагностика центральной серозной хориоретинопатии (ЦСХРП)
При появлении симптомов следует обратиться к офтальмологу, предпочтительно ретинологу или специалисту по макулярной патологии [7].
Сбор анамнеза и осмотр
При сборе анамнеза врач может задать следующие вопросы:
- Как долго Вы отмечаете жалобы, как они меняются в динамике?
- Принимаете ли Вы глюкокортикостероиды?
- Испытываете ли Вы хронический стресс?
- Замечали ли Вы у себя симптомы обструктивного апноэ сна или артериальной гипертензии?
- Были ли Вы беременны?
- Кем Вы работаете и какой образ жизни ведёте? [7]
Пациенты или их близкие могут отмечать следующие симптомы:
- Ночные:
- громкий и регулярный храп;
- эпизоды остановки дыхания во сне (часто замечают родственники);
- внезапные «всхрапывания» и удушье во сне;
- частые ночные пробуждения;
- беспокойный и прерывистый сон;
- ночную потливость;
- частые ночные походы в туалет (никтурию).
- Дневные:
- сонливость;
- ощущение невыспанности утром;
- утренние головные боли;
- снижение концентрации внимания;
- раздражительность и утомляемость;
- снижение работоспособности.
Физикальное обследование включает визометрию (оценку остроты зрения), биомикроскопию переднего отрезка глаза и офтальмоскопию глазного дна. При осмотре типично обнаруживают округлую или овальную зону отслойки в макуле с жёлтыми субретинальными отложениями, иногда с серозными отслойками пигментного эпителия [2].

Биомикроскопия переднего отрезка глаза
Инструментальная диагностика
Основные инструментальные методы диагностики ЦСХРП:
- Спектральная оптическая когерентная томография (ОКТ) или ОКТ с перестраиваемым источником. Визуализируют высоту субретинальной жидкости, утолщение хориоидеи, отслойку пигментного эпителия и его дефекты. Сканирование длится несколько минут [2][3].
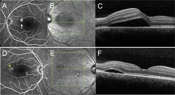
- Флуоресцентная ангиография (ФАГ). В вену вводят контрастное вещество, что позволяет определить точку или зону утечки (выглядит как дым из трубы) [2][3].
- Индицианиновая зелёная ангиография (ICG). Лучше демонстрирует пахисосуды и области гиперпермеабильности (повышенной проницаемости) [3].
![Острая ЦСХРП, видимая при флуоресцентной ангиографии [11] Острая ЦСХРП, видимая при флуоресцентной ангиографии [11]](/media/bolezny/cskhrp/ostraya-cshrp-vidimaya-pri-fluorescentnoy-angiografii-11_s.jpeg?dummy=1776161718381)
Острая ЦСХРП, видимая при флуоресцентной ангиографии [11]
Дополнительно могут проводить ОКТ-ангиографию (чтобы без контраста исключить неоваскуляризацию) и фундус-аутофлюоресценцию (для оценки зон атрофии РПЭ) [2].
Дифференциальная диагностика
ЦСХРП важно отличать от следующих состояний:
- возрастной макулярной дегенерации (особенно от влажной формы с неоваскуляризацией);
- полиповидной хориоидальной васкулопатии (множественных очагов отслойки РПЭ);
- хориоидальных опухолей (например, гемангиомы с экссудацией);
- воспалительных увеитов с отёком и клеточной реакцией;
- диабетического макулярного отёка [2][3].
![Макулярный отёк [20] Макулярный отёк [20]](/media/bolezny/cskhrp/makulyarnyy-otyok-20_s.jpeg?dummy=1776161211415)
Макулярный отёк [20]
Лечение центральной серозной хориоретинопатии (ЦСХРП)
Специфическая первая помощь при ЦСХРП не требуется, так как это заболевание не является экстренным угрожающим состоянием. Однако при внезапном снижении зрения рекомендуется немедленно обратиться к врачу, чтобы исключить другие причины [7].
Лечение направлено на ускорение резорбции (рассасывания) субретинальной жидкости, восстановление барьерной функции РПЭ и предотвращение необратимых изменений. Терапию проводят с учётом формы болезни и риска развития осложнений [1][7].
При острой форме (первые 3–4 месяца) могут применять выжидательную тактику с динамическим наблюдением каждые 4–6 недель и обязательной отменой глюкокортикостероидов (если это возможно). В большинстве случаев такой подход приводит к спонтанному регрессу субретинальной жидкости [1].
При хроническом течении (более 4–6 месяцев) или значительном снижении зрения проводят полупороговую фотодинамическую терапию, которая успешно применяется в России и в 94–95 % случаев приводит к рассасыванию субретинальной жидкости [1][7][10][16]. Это менее интенсивная версия классической фотодинамической терапии, специально адаптированная для хронической ЦСХРП. Врач вводит пациенту Вертепорфин (фотосенсибилизатор) в вену через капельницу или шприц, после чего препарат распространяется по организму через кровь. При этом он накапливается преимущественно в патологически изменённых сосудах глаза (в случае ЦСХРП — в сосудах хориоидеи, через которые просачивается жидкость).
Через 10–15 минут после введения на область макулы направляют низкоинтенсивный лазер. Под действием света Вертепорфин активируется и вызывает локальное закрытие гиперпроницаемых сосудов. Препарат запускает реакцию: образуются активные формы кислорода, которые нарушают целостность сосудистой стенки и вызывают окислительный стресс .
В результате возникает локальное повреждение эндотелия, из-за чего активируется свёртывание крови (тромбоз) и происходит временное закрытие (окклюзия) сосуда. Это происходит только в зоне лазерного воздействия. Такой метод относят к терапии первой линии при хронической форме [1].
Новые исследования подчёркивают приоритетность выбора полупороговой фотодинамической терапии как метода снижения хориоидальной гиперпермеабильности. В клинических рекомендациях и обзорах в большинстве случаев отмечается эффективность такого лечения [7][16].
При развитии хориоидальной неоваскуляризации показаны интравитреальные анти-VEGF препараты (например, Ранибизумаб и Афлиберцепт), при необходимости проводят повторные инъекции [15].
В качестве альтернативного метода могут применять субпороговый микроимпульсный лазер (577–810 нм), который используют амбулаторно. Он обеспечивает сопоставимую эффективность с минимальным риском повреждения тканей [7][10][12].
Осложнения лечения
После фотодинамической терапии может развиться редкая локальная атрофия РПЭ: частота появления такого осложнения может достигать 5 % случаев. Также после лазерной терапии могут наблюдаться временная сухость или дискомфорт [1][7].
Реабилитация
Она включает психологическую поддержку, коррекцию стресса, СИПАП-терапию (создание положительного воздушного давления в дыхательных путях) при апноэ сна и ограничение зрительных нагрузок в период восстановления, чтобы предотвратить рецидивы [1][7].
Прогноз. Профилактика
Без лечения острая ЦСХРП в большинстве случаев спонтанно регрессирует в течение 3–6 месяцев, при этом наблюдается почти полное или полное восстановление зрения, однако часто случаются рецидивы [1].
Хроническая и рецидивирующая формы значительно чаще приводят к остаточным изменениям РПЭ, субретинальному фиброзу и стойкому снижению зрения (до 0,4–0,8 и ниже), что влияет на профессиональную пригодность [1][7].
После проведения полупороговой фотодинамической терапии в большинстве случаев субретинальная жидкость рассасывается [1]. Отмечается, что наиболее благоприятный функциональный прогноз с улучшением остроты зрения наблюдается при раннем начале терапии (до 6 месяцев от дебюта) [1][16].
Наименее благоприятный исход наблюдается при длительной хронической форме, множественных рецидивах, развитии атрофии РПЭ или неоваскуляризации, из-за которых зрение может оставаться сниженным [1].
Профилактика центральной серозной хориоретинопатии
Неспецифические меры профилактики ЦСХРП включают:
Список литературы
Feenstra H. M. A., van Dijk E. H. C., Cheung C. M. G., Ohno-Matsui K. et al. Central serous chorioretinopathy: an evidence-based treatment guideline // Prog Retin Eye Res. — 2024. — Vol. 101.ссылка
Fung A. T., Yang Y., Kam A. W. Central serous chorioretinopathy: a review // Clin Exp Ophthalmol. — 2023. — Vol. 51, № 3. — P. 243–270.ссылка
Cheung C. M. G., Lee W. K., Koizumi H., Dansingani K. et al. Pachychoroid disease // Eye (Lond). — 2019. — Vol. 33, № 1. — P. 14–33.ссылка
Zhang X., Lim C. Z. F., Chhablani J., Wong Y. M. Central serous chorioretinopathy: updates in the pathogenesis, diagnosis and therapeutic strategies // Eye Vis (Lond). — 2023. — Vol. 10, № 1.ссылка
Frederiksen I. N., Arnold-Vangsted A., Anguita R., Boberg-Ans L. C. et al. Global incidence of central serous chorioretinopathy: a systematic review, meta-analysis, and forecasting study // Ophthalmol Ther. — 2025. — Vol. 14, № 10. — P. 2443–2467.ссылка
Аглиуллин Д. Р., Хасанова Г. Р., Абдулаева Э. А., Аглиуллина С. Т. и др. Заболеваемость центральной серозной хориоретинопатией населения г. Казани: результаты ретроспективного эпидемиологического анализа за 2009–2018 гг. // Тихоокеанский медицинский журнал. — 2020. — № 3. — С. 30–33.
Ассоциация врачей-офтальмологов России. Центральная серозная хориоретинопатия: клинические рекомендации. — 2023. — 47 с.
Carvalho-Recchia C. A., Yannuzzi L. A., Spaide R. F., Freund K. B. et al. Corticosteroids and central serous chorioretinopathy // Ophthalmology. — 2002. — Vol. 109, № 10. — P. 1834–1837.ссылка
Nicholson B. P., Atchison E., Idris A. A., Bakri S. J. Central serous chorioretinopathy and glucocorticoids: an update on evidence for association // Surv Ophthalmol. — 2018. — Vol. 63, № 1. — P. 1–8.ссылка
Kim Y. J., Sivaprasad S., Aslam T., Jaki Mekjavić P. et al. Treatment of central serous chorioretinopathy: new options for an old disease // Eye (Lond). — 2025. — Vol. 39, № 12. — P. 2375–2388.ссылка
Daruich A., Matet A., Dirani A., Bousquet E. et al. Central serous chorioretinopathy: recent findings and new physiopathology hypothesis // Prog Retin Eye Res. — 2015. — Vol. 48. — P. 82–118.ссылка
van Dijk E. H. C., Fauser S., Breukink M. B., Blanco-Garavito R. et al. Half-dose photodynamic therapy versus high-density subthreshold micropulse laser treatment in patients with chronic central serous chorioretinopathy: the PLACE trial // Ophthalmology. — 2018. — Vol. 125, № 10. — P. 1547–1555.ссылка
Lotery A., Sivaprasad S., O’Connell A., Harris R. A. et al. Eplerenone for chronic central serous chorioretinopathy in patients in the VICI randomised trial // Lancet. — 2020. — Vol. 395, № 10220. — P. 294–303.ссылка
Bousquet E., Beydoun T., Zhao M., Hassan L. et al. Mineralocorticoid receptor antagonism in central serous chorioretinopathy // Retina. — 2013. — Vol. 33, № 10. — P. 2096–2102.ссылка
Kim L. A., Maguire M. G., Weng C. Y., Smith J. R. et al. Therapies for central serous chorioretinopathy: a report by the American Academy of Ophthalmology // Ophthalmology. — 2025. — Vol. 132, № 3. — P. 343–353.ссылка
Gupta A., Tripathy K. Central serous chorioretinopathy // StatPearls. — 2023.ссылка
van Dijk E. H. C., Feenstra H. M. A., Bjerager J., Grauslund J. et al. Comparative efficacy of treatments for chronic central serous chorioretinopathy: a systematic review with network meta-analyses // Acta Ophthalmol. — 2023. — Vol. 101, № 2. — P. 140–159.ссылка
Kitzmann A. S., Pulido J. S., Diehl N. N., Hodge D. O. et al. The incidence of central serous chorioretinopathy in Olmsted County, Minnesota, 1980–2002 // Ophthalmology. — 2008. — Vol. 115, № 1. — P. 169–173.ссылка
Why do i have a blind spot in my vision? What to know about a scotoma // Affinity Eye Care. — 2021.
Diabetic macular edema // Mayo Clinic. [Электронный ресурс]. Дата обращения: 14.04.2026.

