Авторы
Литературный редактор:
Диана Медведева
Научный редактор:
Сергей Федосов
Шеф-редактор:
Маргарита Тихонова
Вступление
В амбулаторно-консультативное отделение Елизаветинской больницы г. Санкт-Петербурга обратился 33-летний пациент с умеренной болью в верхних отделах живота и за грудиной.
Жалобы
Мужчина описывал боль вверху живота как ноющую и тупую. Она возникала после еды, сопровождалось тошнотой, изжогой и иногда однократной рвотой. Также у пациента наблюдались трудности при глотании жидкой и особенно твёрдой пищи (дисфагия). За последние полгода он похудел на 8 кг.
Симптомы усиливались после приёма пищи, особенно когда мужчина лежал или наклонялся вперёд.
Эти проявления незначительно уменьшались, если после еды он в течение двух часов стоял, сидел или лежал на левом боку. Также облегчение вызывали рвота и приём антисекреторных препаратов, в частности Омепразола.
Анамнез
Впервые дискомфорт в животе и тошноту после еды пациент заметил осенью 2024 года. Тогда он связал начало болезни с перенесённым психоэмоциональным стрессом. С течением времени симптомы стали беспокоить чаще, к ним присоединилась рвота.
Мужчина не занимался самолечением и обратился за медицинской помощью к гастроэнтерологу. Врач назначил ему консервативную терапию, которая помогала незначительно. Из-за нарастания проявлений и ухудшения качества жизни пациент пришёл на приём в Елизаветинскую больницу.
Мужчина рос и развивался в соответствии с возрастом.
В семье ни у кого нет наследственных и хронических заболеваний.
Обследование
На осмотре состояние пациента было удовлетворительным, индекс массы тела (ИМТ) в пределах нижней границы нормы — 18 кг/м2, при физикальном осмотре отклонений не выявлено.
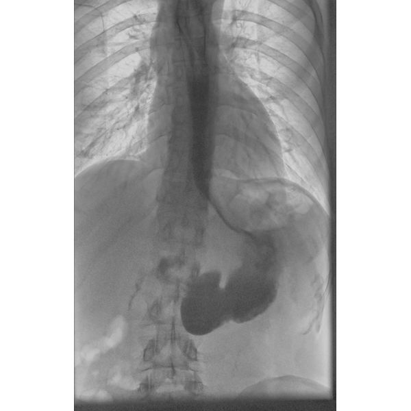
В ходе рентгеноскопии пищевода и желудка с контрастным веществом выявлено, что дистальный отдел пищевода (нижняя часть, примыкающая к желудку) сужен по типу хвоста мыши, что указывает на ахалазию кардии (нарушение работы клапана между пищеводом и желудком). Над этим участком пищевод умеренно расширен без S-образной деформации, т. е. он не удлинился и не искривился.
Результаты лабораторных исследований были в пределах нормы.
Диагноз
Ахалазия кардии 2-й степени.
Лечение
После подготовки к хирургическому вмешательству пациенту провели лапароскопическую эзофагокардиомиотомию по Геллеру с фундопликацией по Дору на 180°. В ходе операции ему через небольшие проколы в брюшной стенке разрезали мышечный слой пищевода в месте сужения, чтобы устранить спазм и трудности с глотанием. Затем для предотвращения заброса содержимого желудка в пищевод (рефлюкса) часть дна желудка (фундус) обернули вокруг разреза — это позволило создать своеобразный «клапан» и нормализовать функцию пищевода.
Послеоперационный период протекал без осложнений. На второй день пациент начал есть жидкую пищу. Постепенно его рацион расширялся. Через неделю после хирургического вмешательства мужчине сняли швы, а на восьмой день его выписали на амбулаторный этап лечения.
Спустя полгода после операции при контрольном осмотре рецидива болезни и признаков дисфагии нет. Пациент ест пищу любой консистенции, за этот период он набрал 5 кг. Мужчина отмечает значительное улучшение качества жизни.
Также он продолжает курс антисекреторной, спазмолитической и прокинетической терапии у гастроэнтеролога по месту жительства.
С помощью операции пациенту удалось избавиться от симптомов болезни и вернуться к привычной жизни.
Заключение
Этот случай показывает, что благодаря лапароскопической эзофагокардиомиотомии с фундопликацией можно устранить ахалазию кардии. Особенно такая операция предпочтительна в молодом возрасте, так как восстановление протекает быстрее. Подобная малотравматичная хирургия имеет преимущество перед другими видами вмешательств, так как при ней отсутствуют большие и долгозаживающие раны на передней брюшной стенке. Успех таких операций возможен при хорошем оснащении клиники, а также высокой квалификации хирурга и операционной бригады.



