Авторы
Вступление
Пациентка преклонного возраста обратилась в Российский научный центр хирургии имени академика Б.В. Петровского (РНЦХ).
Жалобы
Женщина говорила, что иногда её беспокоит кашель с выделением слизистой мокроты, жаловалась на болезненные ощущения в области сердца и появление одышки во время физических нагрузок.
После приёма нитроглицерина сердечная боль проходила.
Анамнез
Согласно анамнезу, во время одного из плановых профилактических обследований, где делалась рентгенография, у женщины в нижней доле правого лёгкого впервые обнаружилась тень новообразования. В связи с этим она обследовалась в противотуберкулёзном диспансере, где стало ясно, что это не инфекционное заболевание. Пациентке не предложили хирургическое лечение, только наблюдение.
Через год и три месяца женщина проходила обследование в кардиологическом стационаре по поводу ишемической болезни сердца, постинфарктного кардиосклероза, стенокардии, а также нарушения углеводного обмена — сахарного диабета. Здесь вновь был сделан рентген органов грудной клетки и обнаружилось, что тень новообразования лёгкого увеличилась. Врачи приняли решение не проводить запланированную коронарографию, а сразу отправить пациентку в онкологический стационар, где снова был поднят вопрос о хирургическом лечении. Однако в операции было отказано из-за имеющихся у женщины сердечных заболеваний.
Через полтора года после того, как впервые было обнаружено новообразование, пациентка самостоятельно обратилась в РНЦХ, чтобы выяснить, возможно ли проведение операции в её случае.
Семейный анамнез отягощён заболеваниями сердца и сосудов у родителей.
Обследование
У женщины чрезмерно развитая подкожная жировая клетчатка, то есть имеется ожирение. Периферические лимфатические узлы не пальпировались.
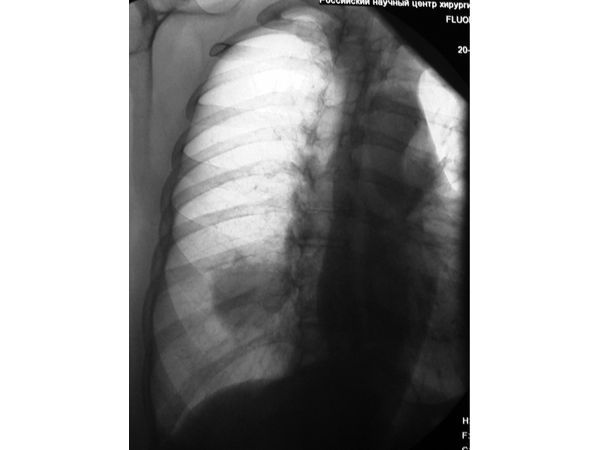
По результатам компьютерной томографии органов грудной клетки, на границе сегментов S9-S10 имелось мягкотканное образование с чёткими неровными контурами, прилегающее к костальной плевре. На фоне этого образования дистальные бронхи просматривались не фрагментарно. Увеличения внутригрудных лимфатических узлов не наблюдалось.
Результаты коронарографии: ⠀
- ствол левой коронарной артерии не изменён;
- правая нисходящая артерия: в проксимальном сегменте бифуркационный стеноз (сужение) 80 %, в среднем сегменте осложнённый стеноз 90 %; ⠀
- в диагональных артериях субтотальные стенозы; ⠀
- в правой коронарной артерии стеноз в среднем сегменте 80 %.
При допплеровском исследовании ветвей дуги аорты выявились симптомы гемодинамически значимых извитостей обеих внутренних сонных артерий. Когда пациентка поворачивала голову, изменения гемодинамики по правой среднемозговой артерии были незначительными. Левая среднемозговая артерия не определялась. Бедренные артерии были проходимы, кровоток магистральный. Диаметр справа 7,8 мм, слева 9,8 мм. Вены на всех уровнях также проходимы, имелись ультразвуковые признаки варикозного расширения вен.
Диагноз
Рак нижней доли правого лёгкого. Ишемическая болезнь сердца. Стенозы коронарных артерий. Стенокардия.
Лечение
Лечение было проведено следующим образом: ⠀
- Предварительно через бедренную артерию по стандартной методике установлена внутриаортальная баллонная контрпульсация (ВАКБ) — механическое приспособление, которое применяется для временного поддержания насосной функции сердца. ⠀
- ВАБК начали за час до операции в режиме 1:1. Был использован баллон с фиброоптическим датчиком давления фирмы Abbot (США) и контрпульсатор AutoCAT2WAVE. ⠀
- Выполнено вскрытие грудной клетки. ⠀
- Проведена биопсия опухоли и срочное исследование биологического материала. Выявлена картина рака. В лимфатических узлах корня лёгкого и средостения метастазов не обнаружено. ⠀
- Удалена доля правого лёгкого снизу. ⠀
- Через 12 суток после оперативного вмешательства на лёгком в связи с хорошим состоянием пациентки выполнена коронарная ангиопластика со стентированием передней нисходящей артерии и диагональной ветви с хорошими клиническими и функциональными результатами. ⠀
- После стентирования проведена антикоагулянтная терапия по стандартной схеме.
Проведённое лечение оказалось успешным, у пациентки не возникло никаких осложнений. Через три недели она выписана для амбулаторного наблюдения.
Через 10 лет после хирургического лечения пациентка прошла всестороннее обследование, рецидива болезни не наблюдалось. Проходимость стентов хорошая.
Заключение
Заболеваемость раком лёгких с каждым годом растёт. Вместе с тем увеличивается число людей пенсионного возраста с серьёзными хроническими болезнями. Наличие сопутствующих заболеваний, например, сердечно-сосудистых патологий, часто становится причиной отказа от жизненно необходимого оперативного вмешательства. В связи в этим становится всё более актуальной потребность совершенствования хирургической помощи этой тяжёлой группе пациентов.
Данный клинический случай доказывает, что у пациентов с раком лёгких и сопутствующими сердечными заболеваниями возможен гибридный подход в лечении. Он основан на использовании на первом этапе современных кардиохирургических приспособлений (например, ВАБК), которые при резекции лёгкого обеспечивают защиту миокарда и головного мозга. Такое лечение возможно провести только в тех многопрофильных медицинских учреждениях, где владеют не только торакальной онкохирургией, но и кардихирургическими технологиями. К сожалению, монопрофильные онкологические стационары не обладают подобными возможностями.


